Vergleich

Anti-TRAF1 Antibody Picoband® Europäischer Partner

ArtNr BOS-A01365
Hersteller Boster
Menge 100 ug/vial
Quantity options 100 ug/vial 10 ug 100 ug/vial 100 ug/vial 100 ug/vial 100 ug 100 ug 100 ug 100 ug/vial 100 ug/vial 100 ug/vial 100 ug/vial 100 ug
Kategorie
Typ Antibody
Format Lyophilized
Applikationen WB, FC, ELISA
Specific against Human (Homo sapiens)
Host Rabbit
Isotype IgG
Citations 1. Mosialos, G., Birkenbach, M., Yalamanchili, R., VanArsdale, T., Ware, C., Kieff, E. The Epstein-Barr virus transforming protein LMP1 engages signaling proteins for the tumor necrosis factor receptor family. Cell 80: 389-399, 1995.
2. Siemienski, K., Peters, N., Scheurich, P., Wajant, H. Organization of the human tumour necrosis factor receptor-associated factor 1 (TRAF1) gene and mapping to chromosome 9q33-34. Gene 195: 35-39, 1997.
3. Tsitsikov, E. N., Laouini, D., Dunn, I. F., Sannikova, T. Y., Davidson, L., Alt, F. W., Geha, R. S. TRAF1 is a negative regulator of TNF signaling: enhanced TNF signaling in TRAF1-deficient mice. Immunity 15: 647-657, 2001.
ECLASS 10.1 32160702
ECLASS 11.0 32160702
UNSPSC 12352203
Alias KiSS-1 receptor,KiSS-1R,G-protein coupled receptor 54,G-protein coupled receptor OT7T175,hOT7T175,Hypogonadotropin-1,Kisspeptins receptor,Metastin receptor,KISS1R,AXOR12,GPR54
Lieferbar
Manufacturer - Category
Primary Antibodies
Storage Conditions
Store at -20°C for one year from date of receipt. After reconstitution, at 4°C for one month. It can also be aliquotted and stored frozen at -20°C for six months. Avoid repeated freeze-thaw cycles.
Observed Molecular weight
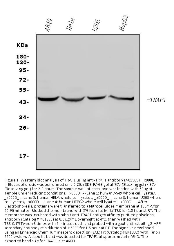
46 kDa
Clonality
Polyclonal
Application Details
Western blot, 0.25-0.5μg/ml, Human
Flow Cytometry (Fixed), 1-3μg/1x106 cells, Human
ELISA, 0.1-0.5μg/ml
Gene Name
TRAF1
Gene Full Name
KISS1 receptor
Manufacturer - Specificity
No cross-reactivity with other proteins.
Background
TRAF1 (TNF Receptor-Associated Factor 1), also called EBI6, is a protein that in humans is encoded by the TRAF1 gene. The protein encoded by this gene is a member of the TNF receptor (TNFR) associated factor (TRAF) protein family. Siemienski et al. (1997) used fluorescence in situ hybridization to map the TRAF1 gene to 9q33-q34. Mosialos et al. (1995) found that LMP1, the EBV-transforming protein, specifically associates with LAP1 (TRAF3) or EBI6 in B lymphoblasts. LMP1 expression res LAP1 and EBI6 from scattered cytoplasmic structures to LMP1 plasma membrane patches. Both LAP1 and EBI6 associated with the cytoplasmic domain of p80/TNFR2 in vivo.
Immunogen
E.coli-derived human TRAF1 recombinant protein (Position: D14-D404).
Contents
Each vial contains 4mg Trehalose, 0.9mg NaCl, 0.2mg Na2HPO4, 0.01mg NaN3.
Purification
Immunogen affinity purified.
Reconstitution
Add 0.2ml of distilled water will yield a concentration of 500ug/ml.
Concentration
Adding 0.2 ml of distilled water will yield a concentration of 500 μg/ml.
Manufacturer - Research Category
G Protein Signaling, Neurology Process, Neuroscience, Signal Transduction, Signaling Pathway
Protein Function
Receptor for metastin (kisspeptin-54 or kp-54), a C- terminally amidated peptide of KiSS1. KiSS1 is a metastasis suppressor protein that suppresses metastases in malignant melanomas and in some breast carcinomas without affecting tumorigenicity. The metastasis suppressor properties may be mediated in part by cell cycle arrest and induction of apoptosis in malignant cells. The receptor is essential for normal gonadotropin-released hormone physiology and for puberty. The hypothalamic KiSS1/KISS1R system is a pivotal factor in central regulation of the gonadotropic axis at puberty and in adulthood. The receptor is also probably involved in the regulation and fine- tuning of trophoblast invasion generated by the trophoblast itself. Analysis of the transduction pathways activated by the receptor identifies coupling to phospholipase C and intracellular calcium release through pertussis toxin-insensitive G (q) proteins.
Subcellular Localization
Cell membrane; Multi-pass membrane protein.
Description
Boster Bio Anti-TRAF1 Antibody Picoband® catalog # A01365. Tested in ELISA, Flow Cytometry, WB applications. This antibody reacts with Human. The brand Picoband indicates this is a premium antibody that guarantees superior quality, high affinity, and strong signals with minimal background in Western blot applications. Only our best-performing antibodies are designated as Picoband, ensuring unmatched performance.
Tissue Specificity
Most highly expressed in the pancreas, placenta and spinal cord, with lower-level of expression in peripheral blood leukocytes, kidney, lung, fetal liver, stomach, small intestine, testes, spleen, thymus, adrenal glands and lymph nodes. In the adult brain, expressed in the superior frontal gyrus, putamen, caudate nucleus, cingulate gyrus, nucleus accumbens, hippocampus, pons and amygdala, as well as the hypothalamus and pituitary. Expression levels are higher in early (7-9 weeks) than term placentas. Expression levels were increased in both early placentas and molar pregnancies and were reduced in choriocarcinoma cells. Expressed at higher levels in first trimester trophoblasts than at term of gestation. Also found in the extravillous trophoblast suggesting endocrine/paracrine activation mechanism.
Manufacturer - Cross Reactivity
No cross-reactivity with other proteins.

Hinweis: Die dargestellten Informationen und Dokumente (Bedienungsanleitung, Produktdatenblatt, Sicherheitsdatenblatt und Analysezertifikat) entsprechen unserem letzten Update und sollten lediglich der Orientierung dienen. Wir übernehmen keine Garantie für die Aktualität. Für spezifische Anforderungen bitten wir Sie, uns eine Anfrage zu stellen.

Alle Produkte sind nur für Forschungszwecke bestimmt. Nicht für den menschlichen, tierärztlichen oder therapeutischen Gebrauch.

Menge: 100 ug/vial
Lieferbar: In stock
lieferbar

Vergleichen

Auf den Wunschzettel

Angebot anfordern

Lieferzeit anfragen

Technische Frage stellen

Bulk-Anfrage stellen

Fragen zum Produkt?