Vergleich

PSMB8 Antibody

ArtNr CSB-PA018886LA01HU-50ul
Hersteller Cusabio
Menge 50 ul
Quantity options 100 ul 20 ul 50 ul
Kategorie
Typ Antibody Primary
Format Liquid
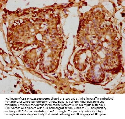
Applikationen IHC, ELISA
Specific against Human (Homo sapiens)
Host Rabbit
Isotype IgG
Konjugat/Tag Unconjugated
ECLASS 10.1 32160702
ECLASS 11.0 32160702
UNSPSC 12352203
Alias ALDD antibody,D6S216 antibody,D6S216E antibody,Large multifunctional peptidase 7 antibody,Large multifunctional protease 7 antibody,LMP 7 antibody,LMP7 antibody,Low molecular mass protein 7 antibody,Low molecular weight protein 7 antibody,Macropain subunit C13 antibody,MGC1491 antibody,Multicatalytic endopeptidase complex subunit C13 antibody,NKJO antibody,OTTHUMP00000062981 antibody,Protease component C13 antibody,Proteasome (prosome macropain) subunit beta type 8 antibody,Proteasome (prosome,macropain) subunit,beta type,8 (large multifunctional peptidase 7) antibody,Proteasome beta 8 subunit antibody,Proteasome catalytic subunit 3i antibody,Proteasome component C13 antibody,Proteasome related gene 7 antibody,Proteasome subunit beta 5i antibody,Proteasome subunit beta 8 antibody,Proteasome subunit beta type 8 antibody,Proteasome subunit beta type antibody,Proteasome subunit beta type-8 antibody,Proteasome subunit beta-5i antibody,Proteasome subunit Y2 antibody,PSB8_HUMAN antibody,PSMB 8 antibody,PSMB5i antibody,PSMB8 antibody,Really interesting new gene 10 protein antibody,RING 10 antibody,RING10 antibody,Y2 antibody
Lieferbar
Manufacturer - Type
Polyclonal Antibody
Manufacturer - Category
List of Stock Antibodies / 2024 List of Stock Antibodies
Manufacturer - Applications
ELISA, IHC; Recommended dilution: IHC:1:20-1:200
Manufacturer - Targets
PSMB8
Manufacturer - Conjugate / Tag
Non-conjugated
Storage Conditions
Upon receipt, store at -20°C or -80°C. Avoid repeated freeze.
Manufacturer - Alias
ALDD antibody, D6S216 antibody, D6S216E antibody, Large multifunctional peptidase 7 antibody, Large multifunctional protease 7 antibody, LMP 7 antibody, LMP7 antibody, Low molecular mass protein 7 antibody, Low molecular weight protein 7 antibody, Macropain subunit C13 antibody, MGC1491 antibody, Multicatalytic endopeptidase complex subunit C13 antibody, NKJO antibody, OTTHUMP00000062981 antibody, Protease component C13 antibody, Proteasome (prosome macropain) subunit beta type 8 antibody, Proteasome (prosome, macropain) subunit, beta type, 8 (large multifunctional peptidase 7) antibody, Proteasome beta 8 subunit antibody, Proteasome catalytic subunit 3i antibody, Proteasome component C13 antibody, Proteasome related gene 7 antibody, Proteasome subunit beta 5i antibody, Proteasome subunit beta 8 antibody, Proteasome subunit beta type 8 antibody, Proteasome subunit beta type antibody, Proteasome subunit beta type-8 antibody, Proteasome subunit beta-5i antibody, Proteasome subunit Y2 antibody, PSB8_HUMAN antibody, PSMB 8 antibody, PSMB5i antibody, PSMB8 antibody, Really interesting new gene 10 protein antibody, RING 10 antibody, RING10 antibody, Y2 antibody
Buffer
Preservative: 0.03% Proclin 300
Constituents: 50% Glycerol, 0.01M PBS, pH 7.4
Purification Method
>95%, Protein G purified
General Research Areas
Cell Biology
Antigen Species
Human
Antigen
Recombinant Human Proteasome subunit beta type-8 protein (176-276AA)
Clonality
Polyclonal

Hinweis: Die dargestellten Informationen und Dokumente (Bedienungsanleitung, Produktdatenblatt, Sicherheitsdatenblatt und Analysezertifikat) entsprechen unserem letzten Update und sollten lediglich der Orientierung dienen. Wir übernehmen keine Garantie für die Aktualität. Für spezifische Anforderungen bitten wir Sie, uns eine Anfrage zu stellen.

Alle Produkte sind nur für Forschungszwecke bestimmt. Nicht für den menschlichen, tierärztlichen oder therapeutischen Gebrauch.

Menge: 50 ul
Lieferbar: In stock
lieferbar

Vergleichen

Auf den Wunschzettel

Angebot anfordern

Lieferzeit anfragen

Technische Frage stellen

Bulk-Anfrage stellen

Fragen zum Produkt?
 
Schließen