Vergleich

Anti-MRPS18B Antibody Picoband® Europäischer Partner

ArtNr BOS-A12773-1-Biotin
Hersteller Boster
Menge 100 ug
Quantity options 100 ug/vial 10 ug 100 ug 100 ug 100 ug 100 ug 100 ug 100 ug 100 ug 100 ug 100 ug 100 ug
Kategorie
Typ Antibody
Format Lyophilized
Applikationen WB, FC, IF, IHC, ICC, ELISA
Specific against Human (Homo sapiens)
Host Rabbit
Isotype IgG
Konjugat/Tag Biotin
Citations 1. Koc, E. C., Burkhart, W., Blackburn, K., Moseley, A., Spremulli, L. L. The small subunit of the mammalian mitochondrial ribosome: identification of the full complement of ribosomal proteins present. J. Biol. Chem. 276: 19363-19374, 2001.
2. Zhang, Z., Gerstein, M. Identification and characterization of over 100 mitochondrial ribosomal protein pseudogenes in the human genome. Genomics 81: 468-480, 2003.
ECLASS 10.1 32160702
ECLASS 11.0 32160702
UNSPSC 12352203
Alias Histone H3/a,Histone H3/b,Histone H3/c,Histone H3/d,Histone H3/f,Histone H3/h,Histone H3/I,Histone H3/j,Histone H3/k,Histone H3/l,HIST1H3A,HIST1H3B,HIST1H3C,HIST1H3D,HIST1H3E,HIST1H3F,HIST1H3G,HIST1H3H,HIST1H3I,HIST1H3J,H3FJ
Lieferbar
Manufacturer - Category
Primary Antibodies
Storage Conditions
At -20°C for one year from date of receipt. After reconstitution, at 4°C for one month. It can also be aliquotted and stored frozen at -20°C for six months. Avoid repeated freezing and thawing.
Observed Molecular weight
26 kDa
Clonality
Polyclonal
Application Details
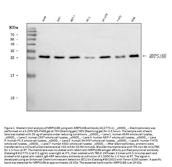
Western blot, 0.25-0.5 μg/ml, Human
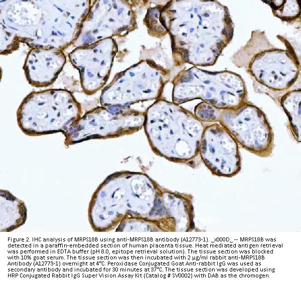
Immunohistochemistry(Paraffin-embedded Section), 2-5 μg/ml, Human
Immunocytochemistry/Immunofluorescence, 5 μg/ml, Human
Flow Cytometry (Fixed), 1-3 μg/1x10^6 cells, Human
ELISA, 0.1-0.5 μg/ml
Gene Name
MRPS18B
Gene Full Name
histone cluster 1 H3 family member a/b/c/d/e/f/g/h/i/j
Background
28S ribosomal protein S18b, mitochondrial is a protein that in humans is encoded by the MRPS18B gene. Mammalian mitochondrial ribosomal proteins are encoded by nuclear genes and help in protein synthesis within the mitochondrion. Mitochondrial ribosomes (mitoribosomes) consist of a small 28S subunit and a large 39S subunit. They have an estimated 75% protein to rRNA composition compared to prokaryotic ribosomes, where this ratio is reversed. Another difference between mammalian mitoribosomes and prokaryotic ribosomes is that the latter contain a 5S rRNA. Among different species, the proteins comprising the mitoribosome differ greatly in sequence, and sometimes in biochemical properties, which prevents easy recognition by sequence homology. This gene encodes a 28S subunit protein that belongs to the ribosomal protein S18P family. The encoded protein is one of three that has significant sequence similarity to bacterial S18 proteins. The primary sequences of the three human mitochondrial S18 proteins are no more closely related to each other than they are to the prokaryotic S18 proteins. Pseudogenes corresponding to this gene are found on chromosomes 1q and 2q.
Immunogen
E.coli-derived human MRPS18B recombinant protein (Position: H23-R211).
Contents
Each vial contains 4 mg Trehalose, 0.9 mg NaCl, 0.2 mg Na2HPO4.
Purification
Immunogen affinity purified.
Reconstitution
Adding 0.2 ml of distilled water will yield a concentration of 500 μg/ml.
Concentration
Adding 0.2 ml of distilled water will yield a concentration of 500 μg/ml.
Manufacturer - Research Category
DNA/RNA, DNA Synthesis, Epigenetics and Nuclear Signaling, RNA Processing
Protein Function
Core component of nucleosome. Nucleosomes wrap and compact DNA into chromatin, limiting DNA accessibility to the cellular machineries which require DNA as a template. Histones thereby play a central role in transcription regulation, DNA repair, DNA replication and chromosomal stability. DNA accessibility is regulated via a complex set of post-translational modifications of histones, also called histone code, and nucleosome remodeling.
Subcellular Localization
Cytoplasm.
Description
Boster Bio Anti-MRPS18B Antibody Picoband® catalog # A12773-1. Tested in ELISA, Flow Cytometry, IF, IHC, ICC, WB applications. This antibody reacts with Human. The brand Picoband indicates this is a premium antibody that guarantees superior quality, high affinity, and strong signals with minimal background in Western blot applications. Only our best-performing antibodies are designated as Picoband, ensuring unmatched performance.
Tissue Specificity
Expressed in fetal brain, fetal lung, fetal liver, heart, brain, placenta, lung, liver, muscle, kidney and pancreas.
Manufacturer - Cross Reactivity
No cross-reactivity with other proteins.

Hinweis: Die dargestellten Informationen und Dokumente (Bedienungsanleitung, Produktdatenblatt, Sicherheitsdatenblatt und Analysezertifikat) entsprechen unserem letzten Update und sollten lediglich der Orientierung dienen. Wir übernehmen keine Garantie für die Aktualität. Für spezifische Anforderungen bitten wir Sie, uns eine Anfrage zu stellen.

Alle Produkte sind nur für Forschungszwecke bestimmt. Nicht für den menschlichen, tierärztlichen oder therapeutischen Gebrauch.

Menge: 100 ug
Lieferbar: In stock
lieferbar

Vergleichen

Auf den Wunschzettel

Angebot anfordern

Lieferzeit anfragen

Technische Frage stellen

Bulk-Anfrage stellen

Fragen zum Produkt?