Vergleich

Anti-YY1 Antibody Picoband® (monoclonal, 2C10F9) Europäischer Partner

ArtNr BOS-M00833-2-APC
Hersteller Boster
Menge 100 ug
Quantity options 100 ug/vial 10 ug 100 ug 100 ug 100 ug 100 ug 100 ug 100 ug 100 ug 100 ug 100 ug 100 ug
Kategorie
Typ Antibody Monoclonal
Format Lyophilized
Applikationen WB, FC, IHC
Clon 2C10F9
Specific against Human (Homo sapiens), Mouse (Murine, Mus musculus), Rat (Rattus norvegicus)
Host Mouse
Isotype IgG2a
Konjugat/Tag APC
Sensitivity >5000 cells
Citations 1. Shi Y, Seto E, Chang LS, Shenk T (Oct 1991). Transcriptional repression by YY1, a human GLI-Krüppel-related protein, and relief of repression by adenovirus E1A protein. Cell 67 (2): 377–88.
2. Thiaville MM, Kim J (2011). Oncogenic potential of yin yang 1 mediated through control of imprinted genes. Critical Reviews in Oncogenesis 16 (3-4): 199–209.
3. Zhu W, Lossie AC, Camper SA, Gumucio DL (Apr 1994). Chromosomal localization of the transcription factor YY1 in the mouse and human. Mammalian Genome 5 (4): 234–6.
ECLASS 10.1 42030590
ECLASS 11.0 42030590
UNSPSC 12352203
Alias Dihydrofolate reductase,DHFR
Lieferbar
Manufacturer - Category
Primary Antibodies
Storage Conditions
At -20°C for one year from date of receipt. After reconstitution, at 4°C for one month. It can also be aliquotted and stored frozen at -20°C for six months. Avoid repeated freezing and thawing.
Observed Molecular weight
65 kDa
Clonality
Monoclonal
Application Details
Western blot, 0.25-0.5 μg/ml, Human, Mouse, Rat
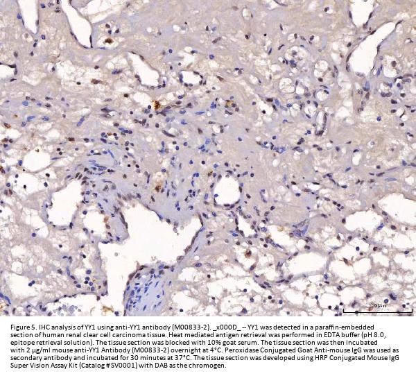
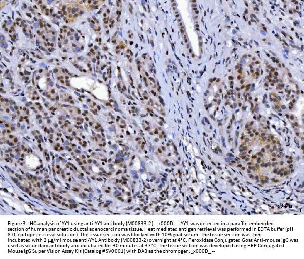
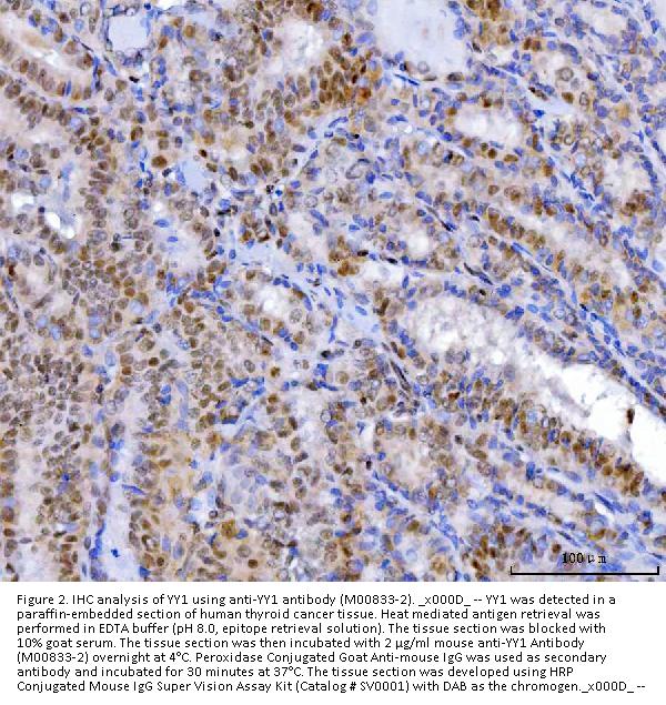
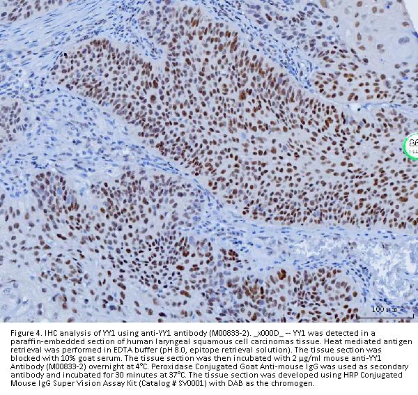
Immunohistochemistry(Paraffin-embedded Section), 2-5 μg/ml, Human
Flow Cytometry (Fixed), 1-3 μg/1x106 cells, Human
Gene Name
YY1
Gene Full Name
dihydrofolate reductase
Background
YY1 (Yin Yang 1) is a transcriptional repressor protein in humans that is encoded by the YY1 gene. YY1 is a ubiquitously distributed transcription factor belonging to the GLI-Kruppel class of zinc finger proteins. The protein is involved in repressing and activating a diverse number of promoters. YY1 may histone deacetylases and histone acetyltransferases to a promoter in order to activate or repress the promoter, thus implicating histone modification in the function of YY1.
Immunogen
A synthetic peptide corresponding to a sequence in the middle region of human YY1, identical to the related mouse sequence.
Contents
Each vial contains 4 mg Trehalose, 0.9 mg NaCl and 0.2 mg Na2HPO4.
Purification
Immunogen affinity purified.
Reconstitution
Adding 0.2 ml of distilled water will yield a concentration of 500 μg/ml.
Concentration
Adding 0.2 ml of distilled water will yield a concentration of 500 μg/ml.
Manufacturer - Research Category
Amino Acid Metabolism, Amino Acids, Cancer, Cell Biology, Metabolic Signaling Pathways, Metabolism, Nucleotide Metabolism, Pathways and Processes, Signal Transduction
Protein Name
zeta chain of T cell receptor associated protein kinase 70
Protein Function
Key enzyme in folate metabolism. Contributes to the de novo mitochondrial thymidylate biosynthesis pathway. Catalyzes an essential reaction for de novo glycine and purine synthesis, and for DNA precursor synthesis. Binds its own mRNA and that of DHFR2.
Subcellular Localization
Mitochondrion. Cytoplasm
Description
Boster Bio Anti-YY1 Antibody Picoband® (monoclonal, 2C10F9) catalog # M00833-2. Tested in Flow Cytometry, IHC, WB applications. This antibody reacts with Human, Mouse, Rat. The brand Picoband indicates this is a premium antibody that guarantees superior quality, high affinity, and strong signals with minimal background in Western blot applications. Only our best-performing antibodies are designated as Picoband, ensuring unmatched performance.
Tissue Specificity
Widely expressed in fetal and adult tissues, including throughout the fetal and adult brains and whole blood. Expression is higher in the adult brain than in the fetal brain.

Hinweis: Die dargestellten Informationen und Dokumente (Bedienungsanleitung, Produktdatenblatt, Sicherheitsdatenblatt und Analysezertifikat) entsprechen unserem letzten Update und sollten lediglich der Orientierung dienen. Wir übernehmen keine Garantie für die Aktualität. Für spezifische Anforderungen bitten wir Sie, uns eine Anfrage zu stellen.

Alle Produkte sind nur für Forschungszwecke bestimmt. Nicht für den menschlichen, tierärztlichen oder therapeutischen Gebrauch.

Menge: 100 ug
Lieferbar: In stock
lieferbar

Vergleichen

Auf den Wunschzettel

Angebot anfordern

Lieferzeit anfragen

Technische Frage stellen

Bulk-Anfrage stellen

Fragen zum Produkt?