Vergleich

Anti-15 Lipoxygenase 1/ALOX15 Antibody Picoband® Europäischer Partner

ArtNr BOS-PB9073
Hersteller Boster
Menge 100 ug/vial
Quantity options 100 ug/vial 10 ug 100 ug 100 ug 100 ug 100 ug 100 ug 100 ug 100 ug 100 ug 100 ug 100 ug 100 ug
Kategorie
Typ Antibody Polyclonal
Format Lyophilized
Applikationen WB, IHC
Specific against Human (Homo sapiens), Mouse (Murine, Mus musculus), Rat (Rattus norvegicus)
Host Rabbit
Isotype IgG
Sensitivity <5 pg/ml
Sequence Belongs to the lipoxygenase family.
Citations 1. Funk CD, Funk LB, FitzGerald GA, Samuelsson B (May 1992).Characterization of human 12-lipoxygenase genes.Proceedings of the National Academy of Sciences of the United States of America 89 (9): 3962–6.
2. Kelavkar, U. P., Badr, K. F. Effects of mutant p53 expression on human 15-lipoxygenase-promoter activity and murine 12/15-lipoxygenase gene expression: evidence that 15-lipoxygenase is a mutator gene. Proc. Nat. Acad. Sci. 96: 4378-4383, 1999.
ECLASS 10.1 32160702
ECLASS 11.0 32160702
UNSPSC 12352203
Alias Arachidonate 15-lipoxygenase,15-LOX,15-LOX-1,1.13.11.33,12/15-lipoxygenase,Arachidonate 12-lipoxygenase,leukocyte-type,12-LOX,1.13.11.31,Arachidonate omega-6 lipoxygenase,ALOX15,LOG15
Similar products 15 lipoxygenase 1 antibody, 15 LIPOXYGENASE RETICULOCYTE ARACHIDONATE antibody, 15 LOX antibody, 15 LOX 1 antibody, 15-LOX antibody, 15LOX 1 antibody, ALOX15 antibody, Arachidonate 15 lipoxygenase antibody, Arachidonate 15-lipoxygenase antibody, Arachidonate omega 6 lipoxygenase antibody, Arachidonate omega-6 lipoxygenase antibody, LOG15 antibody, LOX15_HUMAN antibody
Lieferbar
Manufacturer - Category
Primary Antibodies
Storage Conditions
Store at -20°C for one year from date of receipt. After reconstitution, at 4°C for one month. It can also be aliquotted and stored frozen at -20°C for six months. Avoid repeated freeze-thaw cycles.
Observed Molecular weight
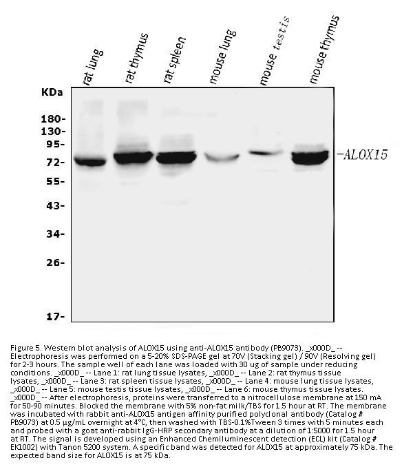
75 kDa
Calculated Molecular weight
74804 MW
Clonality
Polyclonal
Application Details
Western blot, 0.1-0.5μg/ml, Mouse, Rat
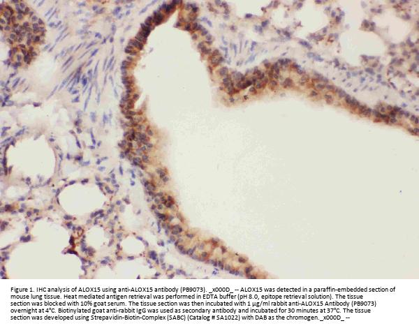
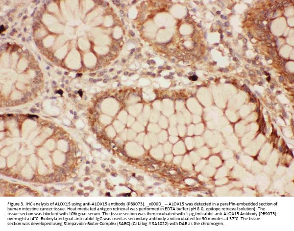
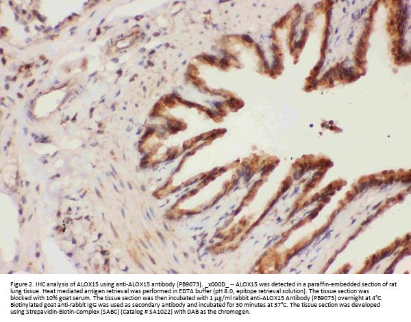
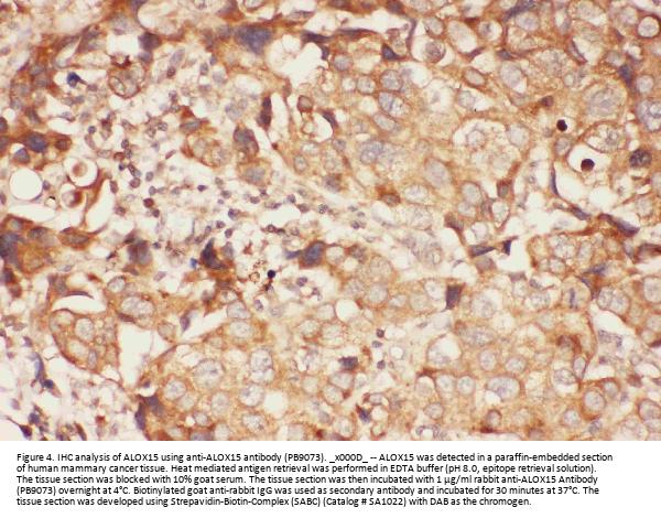
Immunohistochemistry (Paraffin-embedded Section), 0.5-1μg/ml, Human, Mouse, Rat
Gene Name
ALOX15
Gene Full Name
Arachidonate 15-lipoxygenase
Manufacturer - Specificity
No cross reactivity with other proteins.
Background
Arachidonate 15-lipoxygenase, also known as 15 LOX or LOG15, is an enzyme that in humans is encoded by the ALOX15 gene. This gene is mapped to 17p13.2. It is found that ALOX15 is a mutator gene. ALOX15 gene product is implicated in antiinflammation, membrane remodeling, and cancer development/metastasis. Loss of the TP53 gene, or gain-of-function activities resulting from the expression of its mutant forms regulates ALOX15 promoter activity in human and in mouse, albeit in ionally opposite manners.
Immunogen
E.coli-derived human ALOX15 recombinant protein (Position: G2-P337). Human ALOX15 shares 72% and 73% amino acid (aa) sequences identity with mouse and rat ALOX15, respectively.
Contents
Each vial contains 5mg BSA, 0.9mg NaCl, 0.2mg Na2HPO4, 0.05mg NaN3.
Purification
Immunogen affinity purified.
Reconstitution
Add 0.2ml of distilled water will yield a concentration of 500ug/ml.
Concentration
Adding 0.2 ml of distilled water will yield a concentration of 500 μg/ml.
Manufacturer - Research Category
Atherosclerosis, Cancer, Cardiovascular, Fatty Acid Oxidation, Fatty Acids, Growth Factors/Hormones, Heart Disease, Lipid and Lipoprotein Metabolism, Lipids/Lipoproteins, Metabolic Signaling Pathways, Metabolism, Pathways and Processes, Redox Metabolism, Signal Transduction, Tumor Biomarkers
Protein Name
Arachidonate 15-lipoxygenase
Protein Function
Non-heme iron-containing dioxygenase that catalyzes the stereo-specific peroxidation of free and esterified polyunsaturated fatty acids generating a spectrum of bioactive lipid mediators. Converts arachidonic acid into 12- hydroperoxyeicosatetraenoic acid/12-HPETE and 15- hydroperoxyeicosatetraenoic acid/15-HPETE. Also converts linoleic acid to 13-hydroperoxyoctadecadienoic acid. May also act on (12S)- hydroperoxyeicosatetraenoic acid/ (12S)-HPETE to produce hepoxilin A3. Probably plays an important role in the immune and inflammatory responses. Through the oxygenation of membrane-bound phosphatidylethanolamine in macrophages may favor clearance of apoptotic cells during inflammation by resident macrophages and prevent an autoimmune response associated with the clearance of apoptotic cells by inflammatory monocytes. In parallel, may regulate actin polymerization which is crucial for several biological processes, including macrophage function. May also regulate macrophage function through regulation of the peroxisome proliferator activated receptor signaling pathway. Finally, it is also involved in the cellular response to IL13/interleukin-13. In addition to its role in the immune and inflammatory responses, may play a role in epithelial wound healing in the cornea maybe through production of lipoxin A4. May also play a role in endoplasmic reticulum stress response and the regulation of bone mass.
Subcellular Localization
Cytoplasm, cytosol. Cell membrane; Peripheral membrane protein. Lipid droplet. Predominantly cytosolic; becomes enriched at membranes upon calcium binding. Translocates from the cytosol to the plasma membrane when stimulated by IL13/interleukin-13 and in macrophages binding apoptotic cells.
Description
Boster Bio Anti-15 Lipoxygenase 1/ALOX15 Antibody Picoband® catalog # PB9073. Tested in IHC, WB applications. This antibody reacts with Human, Mouse, Rat. The brand Picoband indicates this is a premium antibody that guarantees superior quality, high affinity, and strong signals with minimal background in Western blot applications. Only our best-performing antibodies are designated as Picoband, ensuring unmatched performance.
Tissue Specificity
Detected in monocytes and eosinophils (at protein level). Expressed in airway epithelial cells.
Sequence Similarities
Belongs to the lipoxygenase family.
Manufacturer - Cross Reactivity
No cross-reactivity with other proteins

Hinweis: Die dargestellten Informationen und Dokumente (Bedienungsanleitung, Produktdatenblatt, Sicherheitsdatenblatt und Analysezertifikat) entsprechen unserem letzten Update und sollten lediglich der Orientierung dienen. Wir übernehmen keine Garantie für die Aktualität. Für spezifische Anforderungen bitten wir Sie, uns eine Anfrage zu stellen.

Alle Produkte sind nur für Forschungszwecke bestimmt. Nicht für den menschlichen, tierärztlichen oder therapeutischen Gebrauch.

Menge: 100 ug/vial
Lieferbar: In stock
lieferbar

Vergleichen

Auf den Wunschzettel

Angebot anfordern

Lieferzeit anfragen

Technische Frage stellen

Bulk-Anfrage stellen

Fragen zum Produkt?