Vergleich

Anti-BID Antibody Picoband® Europäischer Partner

ArtNr BOS-PB9027
Hersteller Boster
Menge 100 ug/vial
Quantity options 100 ug/vial 10 ug 100 ug 100 ug 100 ug 100 ug 100 ug 100 ug 100 ug 100 ug 100 ug 100 ug 100 ug
Kategorie
Typ Antibody Polyclonal
Format Lyophilized
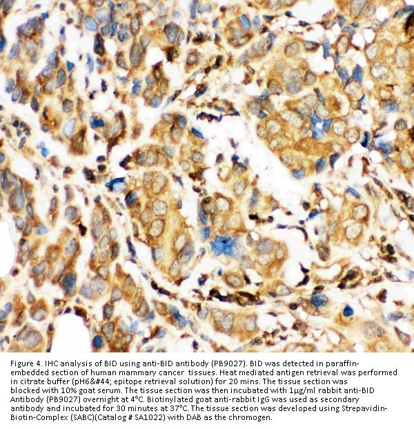
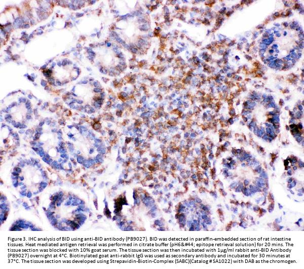
Applikationen WB, FC, IF, IHC, ICC
Specific against Human (Homo sapiens), Mouse (Murine, Mus musculus), Rat (Rattus norvegicus)
Host Rabbit
Isotype IgG
Sensitivity >5000 cells
Sequence Contains 1 FHA domain.
Citations 1. Chou, J. J., Li, H., Salvesen, G. S., Yuan, J., Wagner, G. Solution structure of BID, an intracellular amplifier of apoptotic signaling. Cell 95: 615-624, 1999.
2. Luo, X., Budihardjo, I., Zou, H., Slaughter, C., Wang, X. Bid, a Bcl2 interacting protein, mediates cytochrome c release from mitochondria in response to activation of cell surface death receptors. Cell 94: 481-490, 1998.
3. Wang, K., Yin, X.-M., Copeland, N. G., Gilbert, D. J., Jenkins, N. A., Keck, C. L., Zimonjic, D. B., Popescu, N. C., Korsmeyer, S. J. BID, a proapoptotic BCL-2 family member, is localized to mouse chromosome 6 and human chromosome 22q11. Genomics 53: 235-238, 1998.
ECLASS 10.1 32160702
ECLASS 11.0 32160702
UNSPSC 12352203
Alias Antigen KI-67,MKI67
Similar products Apoptic death agonist antibody, Apoptotic death agonist antibody, Apoptotic death agonist BID antibody, BH3 interacting domain death agonist antibody, BH3 interacting domain death agonist p11 antibody, BH3 interacting domain death agonist p13 antibody, BH3 interacting domain death agonist p15 antibody, BH3-interacting domain death agonist p11 antibody, BID antibody, BID isoform ES(1b) antibody, BID isoform L(2) antibody, BID isoform Si6 antibody, BID_HUMAN antibody, Desmocollin type 4 antibody, FP497 antibody, Human BID coding sequence antibody, MGC15319 antibody, MGC42355 antibody, p11 BID antibody, p13 BID antibody, p15 BID antibody, p22 BID antibody
Lieferbar
Manufacturer - Category
Primary Antibodies
Storage Conditions
Store at -20°C for one year from date of receipt. After reconstitution, at 4°C for one month. It can also be aliquotted and stored frozen at -20°C for six months. Avoid repeated freeze-thaw cycles.
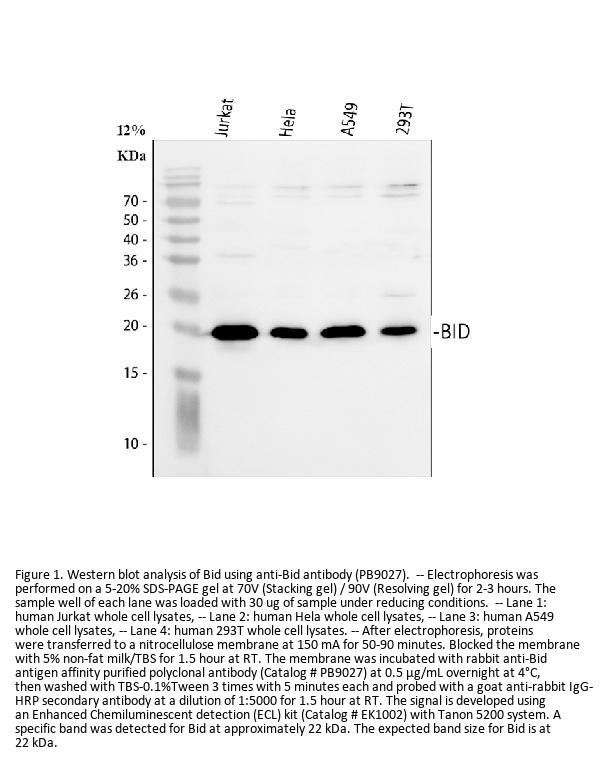
Observed Molecular weight
22 kDa
Calculated Molecular weight
30644 MW
Clonality
Polyclonal
Application Details
Western blot, 0.1-0.5μg/ml, Human
Immunohistochemistry (Paraffin-embedded Section), 0.5-1μg/ml, Human, Mouse, Rat
Immunocytochemistry/Immunofluorescence, 2μg/ml, Human
Flow Cytometry (Fixed), 1-3μg/1x106 cells, Human
Gene Name
BID
Gene Full Name
BH3 interacting domain death agonist
Manufacturer - Specificity
No cross reactivity with other proteins.
Background
BID (BH3-Interacting Domain Death Agonist), is a pro-apoptotic member of the Bcl-2 protein family. The BCL2 family of proteins consists of both antagonists and agonists that regulate apoptosis and compete through dimerization. By fluorescence in situ hybridization, Wang et al. (1998) mapped the human BID gene to 22q11. Luo et al. (1998) reported the purification of a cytosolic protein that induces cytochrome c release from mitochondria in response to caspase-8, the apical caspase activated by cell surface death receptors such as FAS and TNF.
Immunogen
E.coli-derived human Bid recombinant protein (Position: M1-D195). Human Bid shares 64% and 61% amino acid (aa) sequences identity with mouse and rat Bid, respectively.
Contents
Each vial contains 5mg BSA, 0.9mg NaCl, 0.2mg Na2HPO4, 0.05mg NaN3.
Purification
Immunogen affinity purified.
Reconstitution
Add 0.2ml of distilled water will yield a concentration of 500ug/ml.
Concentration
Adding 0.2 ml of distilled water will yield a concentration of 500 μg/ml.
Manufacturer - Research Category
Atherosclerosis, Cardiovascular, Cytokines, Immunology, Innate Immunity, Interleukins, Metabolism, Obesity, Vascular Inflammation
Protein Name
BH3-interacting domain death agonist
Protein Function
Thought to be required for maintaining cell proliferation.
Subcellular Localization
Nucleus. Nucleus, nucleolus. Chromosome. Predominantly localized in the G1 phase in the perinucleolar region, in the later phases it is also detected throughout the nuclear interior, being predominantly localized in the nuclear matrix. In mitosis, it is present on all chromosomes.
Description
Boster Bio Anti-BID Antibody Picoband® catalog # PB9027. Tested in Flow Cytometry, IF, IHC, ICC, WB applications. This antibody reacts with Human, Mouse, Rat. The brand Picoband indicates this is a premium antibody that guarantees superior quality, high affinity, and strong signals with minimal background in Western blot applications. Only our best-performing antibodies are designated as Picoband, ensuring unmatched performance.
Tissue Specificity
Released primarily from activated T lymphocytes.
Sequence Similarities
Contains 1 FHA domain.
Manufacturer - Cross Reactivity
No cross-reactivity with other proteins

Hinweis: Die dargestellten Informationen und Dokumente (Bedienungsanleitung, Produktdatenblatt, Sicherheitsdatenblatt und Analysezertifikat) entsprechen unserem letzten Update und sollten lediglich der Orientierung dienen. Wir übernehmen keine Garantie für die Aktualität. Für spezifische Anforderungen bitten wir Sie, uns eine Anfrage zu stellen.

Alle Produkte sind nur für Forschungszwecke bestimmt. Nicht für den menschlichen, tierärztlichen oder therapeutischen Gebrauch.

Menge: 100 ug/vial
Lieferbar: In stock
lieferbar

Vergleichen

Auf den Wunschzettel

Angebot anfordern

Lieferzeit anfragen

Technische Frage stellen

Bulk-Anfrage stellen

Fragen zum Produkt?