Vergleich

Anti-SMURF1 Antibody Picoband® Europäischer Partner

ArtNr BOS-PB9892
Hersteller Boster
Menge 100 ug/vial
Quantity options 100 ug/vial 10 ug 100 ug/vial 100 ug/vial 100 ug/vial 100 ug 100 ug 100 ug 100 ug/vial 100 ug/vial 100 ug/vial 100 ug/vial 100 ug
Kategorie
Typ Antibody Polyclonal
Format Lyophilized
Applikationen WB, FC, IF, IHC, ICC
Specific against Human (Homo sapiens), Rat (Rattus norvegicus)
Host Rabbit
Isotype IgG
Sensitivity <20 pg/ml
Citations 1. Entrez Gene: SMURF1 SMAD specific E3 ubiquitin protein ligase 1.
2. Yamaguchi K, Ohara O, Ando A, Nagase T (Apr 2008). Smurf1 ly targets hPEM-2, a GEF for Cdc42, via a novel combination of protein interaction modules in the ubiquitin-proteasome pathway. Biol. Chem. 389 (4): 405–13.
3. Zhu H, Kavsak P, Abdollah S, Wrana JL, Thomsen GH (Sep 1999). A SMAD ubiquitin ligase targets the BMP pathway and affects embryonic pattern formation. Nature 400 (6745): 687–93.
ECLASS 10.1 32160702
ECLASS 11.0 32160702
UNSPSC 12352203
Alias E3 ubiquitin-protein ligase SMURF1,hSMURF1,6.3.2.-,SMAD ubiquitination regulatory factor 1,SMAD-specific E3 ubiquitin-protein ligase 1,SMURF1,KIAA1625
Lieferbar
Manufacturer - Category
Primary Antibodies
Storage Conditions
Store at -20°C for one year from date of receipt. After reconstitution, at 4°C for one month. It can also be aliquotted and stored frozen at -20°C for six months. Avoid repeated freeze-thaw cycles.
Observed Molecular weight
86 kDa
Calculated Molecular weight
86114 MW
Clonality
Polyclonal
Application Details
Western blot, 0.1-0.5μg/ml, Human, Rat
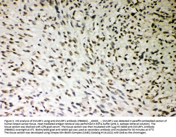
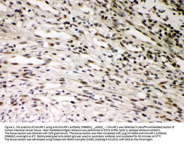
Immunohistochemistry (Paraffin-embedded Section), 0.5-1μg/ml, Human
Immunocytochemistry/Immunofluorescence, 2μg/ml, Human
Flow Cytometry (Fixed), 1-3μg/1x106 cells, Human
Gene Name
SMURF1
Gene Full Name
E3 ubiquitin-protein ligase SMURF1
Manufacturer - Specificity
No cross reactivity with other proteins.
Background
E3 ubiquitin-protein ligase SMURF1 is an enzyme that in humans is encoded by the SMURF1 gene. It is mapped to 7q22.1. This gene encodes a ubiquitin ligase that is specific for receptor-regulated SMAD proteins in the bone morphogenetic protein (BMP) pathway. This protein plays a key roll in the regulation of cell motility, cell signalling, and cell polarity. Alternative splicing results in multiple transcript variants encoding different isoforms.
Immunogen
A synthetic peptide corresponding to a sequence in the middle region of human SMURF1, identical to the related mouse sequence.
Contents
Each vial contains 4 mg Trehalose, 0.9 mg NaCl, 0.2mg Na2HPO4, 0.05 mg NaN3.
Purification
Immunogen affinity purified.
Reconstitution
Add 0.2ml of distilled water will yield a concentration of 500ug/ml.
Concentration
Adding 0.2 ml of distilled water will yield a concentration of 500 μg/ml.
Manufacturer - Research Category
Cell Biology, Proteasome / Ubiquitin, Proteolysis/Ubiquitin, Ubiquitin E3 Enzymes
Protein Name
E3 ubiquitin-protein ligase SMURF1
Protein Function
E3 ubiquitin-protein ligase that acts as a negative regulator of BMP signaling pathway. Mediates ubiquitination and degradation of SMAD1 and SMAD5, 2 receptor-regulated SMADs specific for the BMP pathway. Promotes ubiquitination and subsequent proteasomal degradation of TRAF family members and RHOA. Plays a role in dendrite formation by melanocytes (PubMed:23999003).
Subcellular Localization
Cytoplasm. Cell membrane; Peripheral membrane protein; Cytoplasmic side.
Description
Boster Bio Anti-SMURF1 Antibody Picoband® catalog # PB9892. Tested in Flow Cytometry, IF, IHC, ICC, WB applications. This antibody reacts with Human, Rat. The brand Picoband indicates this is a premium antibody that guarantees superior quality, high affinity, and strong signals with minimal background in Western blot applications. Only our best-performing antibodies are designated as Picoband, ensuring unmatched performance.
Tissue Specificity
Expressed in melanocytes (PubMed:23999003).
Manufacturer - Cross Reactivity
No cross-reactivity with other proteins.

Hinweis: Die dargestellten Informationen und Dokumente (Bedienungsanleitung, Produktdatenblatt, Sicherheitsdatenblatt und Analysezertifikat) entsprechen unserem letzten Update und sollten lediglich der Orientierung dienen. Wir übernehmen keine Garantie für die Aktualität. Für spezifische Anforderungen bitten wir Sie, uns eine Anfrage zu stellen.

Alle Produkte sind nur für Forschungszwecke bestimmt. Nicht für den menschlichen, tierärztlichen oder therapeutischen Gebrauch.

Menge: 100 ug/vial
Lieferbar: In stock
lieferbar

Lieferung vsl. bis 20.01.2026 

Vergleichen

Auf den Wunschzettel

Angebot anfordern

Lieferzeit anfragen

Technische Frage stellen

Bulk-Anfrage stellen

Fragen zum Produkt?