Vergleich

Anti-ACE2 Antibody Europäischer Partner

ArtNr BOS-A00756
Hersteller Boster
Menge 0.1 mg
Quantity options 0.1 mg 100 ul
Kategorie
Format Liquid
Applikationen WB, IF, ELISA, IHC-P
Specific against Human (Homo sapiens), Mouse (Murine, Mus musculus), Rat (Rattus norvegicus)
Host Rabbit
Isotype IgG
Alias ACEH,Angiotensin-converting enzyme 2,ACE-related carboxypeptidase,ACEH,SARS-CoV receptor,SARS-CoV-2 receptor
Lieferbar
Manufacturer - Category
Primary Antibodies
Storage Conditions
ACE2 antibody can be stored at 4°C for three months and -20°C, stable for up to one year. Avoid repeated freeze-thaw cycles. Antibodies should not be exposed to prolonged high temperatures.
Molecular Weight
92463 MW
Clonality
Polyclonal
Application Details
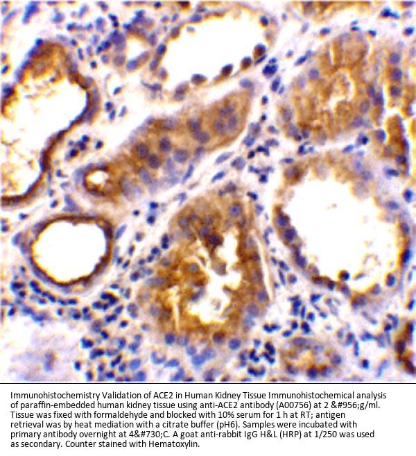
WB: 1-2 μg/mL; IHC: 2 μg/mL; IF: 20 μg/mL.
Antibody validated: Western Blot in human, mouse and rat samples; Immunohistochemistry in human samples; Immunofluorescence in human and rat samples. All other applications and species not yet tested. Optimal dilutions for each application should be determined by the researcher.
Gene Name
ACE2
Gene Full Name
Angiotensin I converting enzyme (peptidyl-dipeptidase A) 2
Manufacturer - Specificity
Anti-ACE2 has no cross response to ACE1.
Background
Angiotensin-converting enzyme 2 (ACE2) plays a central role in vascular, renal, and myocardial physiology. In contrast to its homolog ACE, ACE2 expression is restricted to heart, kidney, and testis. Recently. ACE2 has also been shown to be a functional receptor of the SARS coronavirus. Homology modeling shows 2019-nCoV has a similar receptor-binding domain structure as SARS-CoV, which suggests COVID-19 (2019-nCoV) may use ACE2 as a receptor in humans for infection. The normal function of ACE2 is to convert the inactive vasoconstrictor angiotensin I (AngI) to Ang1-9 and the active form AngII to Ang1-7, unlike ACE, which converts AngI to AngII. While the role of these vasoactive peptides is not well understood, lack of ACE2 expression in ace2-/ace2- mice leads to severely reduced cardiac contractility, indicating its importance in regulating heart function.
Immunogen
Anti-ACE2 antibody was raised against a peptide corresponding to 17 amino acids near the center of human ACE2. The immunogen is located within amino acids 180 - 230 of ACE2.
Contents
ACE2 Antibody is supplied in PBS containing 0.02% sodium azide.
Purification
ACE2 Antibody is affinity chromatography purified via peptide column.
Concentration
1 mg/mL
Manufacturer - Research Category
Infectious Diseases
Protein Name
Angiotensin I converting enzyme (peptidyl-dipeptidase A) 2
Protein Function
Carboxypeptidase which converts angiotensin I to
angiotensin 1-9, a peptide of unknown function, and angiotensin II
to angiotensin 1-7, a vasodilator. Also able to hydrolyze apelin-
13 and dynorphin-13 with high efficiency. May be an important
regulator of heart function.
Subcellular Localization
Processed angiotensin-converting enzyme 2:
Secreted.
Description
Boster Bio Anti-ACE2 Antibody (Catalog # A00756). Tested in ELISA, WB, IHC-P, IF applications. This antibody reacts with Human, Mouse, Rat.
Tissue Specificity
Expressed in endothelial cells from small and
large arteries, and in arterial smooth muscle cells. Expressed in
lung alveolar epithelial cells, enterocytes of the small
intestine, Leydig cells and Sertoli cells (at protein level).
Expressed in heart, kidney, testis, and gastrointestinal system.
Predicted Reactivity
Bovine
Manufacturer - Cross Reactivity
Anti-ACE2 has no cross response to ACE1.

Hinweis: Die dargestellten Informationen und Dokumente (Bedienungsanleitung, Produktdatenblatt, Sicherheitsdatenblatt und Analysezertifikat) entsprechen unserem letzten Update und sollten lediglich der Orientierung dienen. Wir übernehmen keine Garantie für die Aktualität. Für spezifische Anforderungen bitten wir Sie, uns eine Anfrage zu stellen.

Alle Produkte sind nur für Forschungszwecke bestimmt. Nicht für den menschlichen, tierärztlichen oder therapeutischen Gebrauch.

Menge: 0.1 mg
Lieferbar: In stock
lieferbar

Vergleichen

Auf den Wunschzettel

Angebot anfordern

Lieferzeit anfragen

Technische Frage stellen

Bulk-Anfrage stellen

Fragen zum Produkt?