Vergleich

Anti-C1D Antibody, Rabbit Polyclonal Europäischer Partner

ArtNr 12432-RP02-200
Hersteller Sino Biological
Menge 200 uL
Quantity options 100 uL 200 uL 50 uL
Kategorie
Typ Antibody Polyclonal
Applikationen WB, IP, IHC, ELISA
Specific against Human (Homo sapiens)
Host Rabbit
Isotype IgG
ECLASS 10.1 32160702
ECLASS 11.0 32160702
UNSPSC 12352203
Alias sino
Lieferbar
Storage Conditions
This antibody can be stored at 2C-8C for one month without detectable loss of activity. Antibody products are stable for twelve months from date of receipt when stored at -20C to -80C. Preservative-Free. Sodium azide is recommended to avoid contamination (final concentration 0.05%-0.1%). It is toxic to cells and should be disposed of properly. Avoid repeated freeze-thaw cycles.
Antigen molecule name
C1D
Immunogen
Recombinant Human C1D protein (Catalog#12432-H09E)
Purification
Protein A and Antigen Affinity
Preparation
Produced in rabbits immunized with purified, recombinant Human C1D (rh C1D; Catalog#12432-H09E; Q13901; Met 1-Ser 141). C1D specific IgG was purified by Human C1D affinity chromatography.
Specificity
Human C1D
Buffer
0.2 um filtered solution in PBS with 5% trehalose
ELISA
This antibody can be used at 0.1-0.2 ug/mL with the appropriate secondary reagents to detect Human C1D. The detection limit for Human C1D is approximately 0.00245 ng/well.
Recommended ELISA Concentration
ELISA: 0.1-0.2 ug/mL
Recommended WB Concentration
WB: 2-5 ug/mL
Recommended IP Concentration
IP: 4-6 ug/mg of lysate
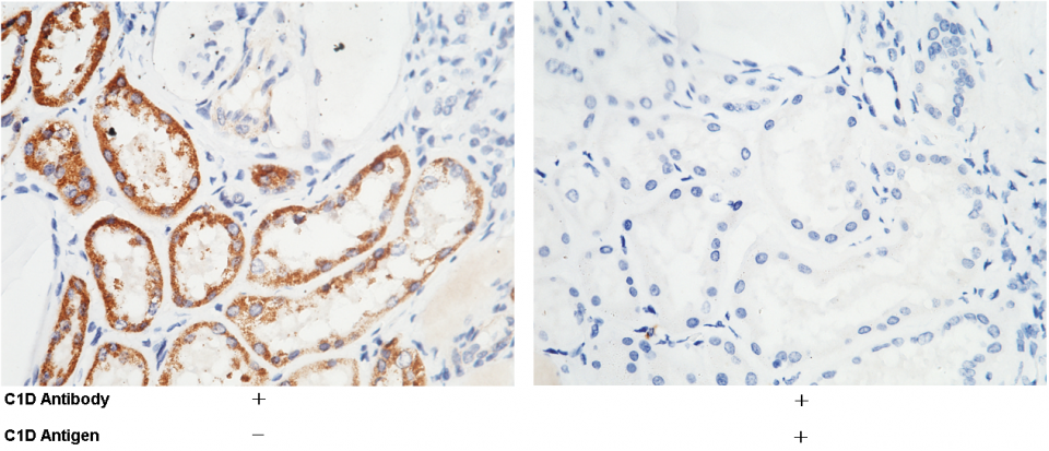
Recommended IHC-P Concentration
IHC-P: 0.1-2 ug/mL

Hinweis: Die dargestellten Informationen und Dokumente (Bedienungsanleitung, Produktdatenblatt, Sicherheitsdatenblatt und Analysezertifikat) entsprechen unserem letzten Update und sollten lediglich der Orientierung dienen. Wir übernehmen keine Garantie für die Aktualität. Für spezifische Anforderungen bitten wir Sie, uns eine Anfrage zu stellen.

Alle Produkte sind nur für Forschungszwecke bestimmt. Nicht für den menschlichen, tierärztlichen oder therapeutischen Gebrauch.

Menge: 200 uL
Lieferbar: In stock
lieferbar

Vergleichen

Auf den Wunschzettel

Angebot anfordern

Lieferzeit anfragen

Technische Frage stellen

Bulk-Anfrage stellen

Fragen zum Produkt?
 
Schließen