Vergleich

Anti-Progranulin Antibody, Rabbit Polyclonal Europäischer Partner

ArtNr 50396-RP02-100
Hersteller Sino Biological
Menge 100 uL
Quantity options 100 uL 200 uL 50 uL
Kategorie
Typ Antibody Polyclonal
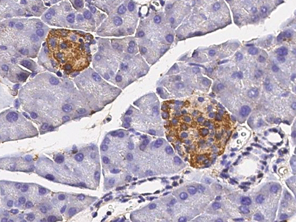
Applikationen IHC, ELISA
Specific against Human (Homo sapiens)
Host Rabbit
Isotype IgG
ECLASS 10.1 32160702
ECLASS 11.0 32160702
UNSPSC 12352203
Alias 50396-RP02
Similar products GRN
Lieferbar
Manufacturer - Type
Antibody
Storage Conditions
This antibody can be stored at 2C-8C for one month without detectable loss of activity. Antibody products are stable for twelve months from date of receipt when stored at -20C to -80C. Preservative-Free. Sodium azide is recommended to avoid contamination (final concentration 0.05%-0.1%). It is toxic to cells and should be disposed of properly. Avoid repeated freeze-thaw cycles.
Antigen molecule name
GRN
Immunogen
Recombinant Mouse GRN protein (Catalog#50396-M08H)
Purification
Protein A and Antigen Affinity
Preparation
Produced in rabbits immunized with purified, recombinant Mouse Granulin (rM Granulin; Catalog#50396-M08H; NP_032201.2; Met 1-Leu 589). Granulin specific IgG was purified by mouse Granulin affinity chromatography.
Specificity
Mouse GRN / Granulin
Buffer
0.2 um filtered solution in PBS with 5% trehalose
ELISA
This antibody can be used at 0.5-1 ug/mL with the appropriate secondary reagents to detect Mouse GRN. The detection limit for Mouse GRN is approximately 0.00245 ng/well.
Recommended ELISA Concentration
ELISA: 0.5-1 ug/mL
Recommended IHC-P Concentration
IHC-P: 0.1-2 ug/mL

Hinweis: Die dargestellten Informationen und Dokumente (Bedienungsanleitung, Produktdatenblatt, Sicherheitsdatenblatt und Analysezertifikat) entsprechen unserem letzten Update und sollten lediglich der Orientierung dienen. Wir übernehmen keine Garantie für die Aktualität. Für spezifische Anforderungen bitten wir Sie, uns eine Anfrage zu stellen.

Alle Produkte sind nur für Forschungszwecke bestimmt. Nicht für den menschlichen, tierärztlichen oder therapeutischen Gebrauch.

Menge: 100 uL
Lieferbar: In stock
lieferbar

Vergleichen

Auf den Wunschzettel

Angebot anfordern

Lieferzeit anfragen

Technische Frage stellen

Bulk-Anfrage stellen

Fragen zum Produkt?
 
Schließen