Comparison

Cutaneous T-Cell Lymphoma-Associated Antigen 1 (CTAGE1) Antibody European Partner

Item no. abx232043-100
Manufacturer Abbexa
Amount 100 ug
Category
Type Antibody Primary
Format Liquid
Applications WB, IF, IHC, ICC, ELISA
Specific against Human (Homo sapiens)
Host Mouse
Isotype IgG1
Conjugate/Tag Unconjugated
Purity ≥ 95% (SDS-PAGE)
ECLASS 10.1 32160702
ECLASS 11.0 32160702
UNSPSC 12352203
Available
Manufacturer - Category
Primary Antibodies
Manufacturer - Targets
Cutaneous T-Cell Lymphoma-Associated Antigen 1 (CTAGE1)
Storage Conditions
Aliquot and store at -20°C. Avoid repeated freeze/thaw cycles.
Molecular Weight
Observed MW: 120 kDa
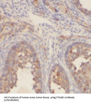
Description
CTAGE1 Antibody is a Mouse Monoclonal against CTAGE1.
Dry Ice
No
Buffer
PBS, pH 7.3, with 0.02% sodium azide and 50% glycerol.
Clonality
Monoclonal
Gene Symbol
CTAGE1
Note
This product is for research use only.
Purification
Purified by Protein A and Protein G affinity chromatography.
UniProt Entry Name
CTGE2_HUMAN

Note: The presented information and documents (Manual, Product Datasheet, Safety Datasheet and Certificate of Analysis) correspond to our latest update and should serve for orientational purpose only. We do not guarantee the topicality. We would kindly ask you to make a request for specific requirements, if necessary.

All products are intended for research use only (RUO). Not for human, veterinary or therapeutic use.

Amount: 100 ug
Available: In stock
available

Compare

Add to wishlist

Get an offer

Request delivery time

Ask a technical question

Submit a bulk request

Questions about this Product?
 
Close