Comparison

Heterogeneous Nuclear Ribonucleoprotein A1 (HNRNPA1) Antibody European Partner

Item no. abx233946-100
Manufacturer Abbexa
Amount 100 ug
Category
Type Antibody Primary
Format Liquid
Applications WB, IF, IHC, ICC, ELISA
Specific against Human (Homo sapiens), Mouse (Murine, Mus musculus), Rat (Rattus norvegicus)
Host Rabbit
Isotype IgG
Conjugate/Tag Unconjugated
Purity ≥ 95% (SDS-PAGE)
ECLASS 10.1 32160702
ECLASS 11.0 32160702
UNSPSC 12352203
Available
Manufacturer - Category
Primary Antibodies
Manufacturer - Targets
Heterogeneous Nuclear Ribonucleoprotein A1 (HNRNPA1)
Storage Conditions
Aliquot and store at -20°C. Avoid repeated freeze/thaw cycles.
Molecular Weight
Observed MW: 39 kDa
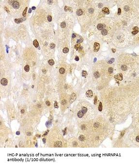
Description
HNRNPA1 Antibody is a Rabbit Polyclonal against HNRNPA1.
Dry Ice
No
Buffer
PBS, pH 7.3, with 0.02% sodium azide and 50% glycerol.
Clonality
Polyclonal
Note
This product is for research use only.
Purification
Purified by immunogen affinity chromatography.
UniProt Entry Name
ROA1_HUMAN

Note: The presented information and documents (Manual, Product Datasheet, Safety Datasheet and Certificate of Analysis) correspond to our latest update and should serve for orientational purpose only. We do not guarantee the topicality. We would kindly ask you to make a request for specific requirements, if necessary.

All products are intended for research use only (RUO). Not for human, veterinary or therapeutic use.

Amount: 100 ug
Available: In stock
available

Compare

Add to wishlist

Get an offer

Request delivery time

Ask a technical question

Submit a bulk request

Questions about this Product?
 
Close