Comparison

Selectin, Platelet Antibody European Partner

Item no. abx101809-10
Manufacturer Abbexa
Amount 10 ug
Type Antibody Primary
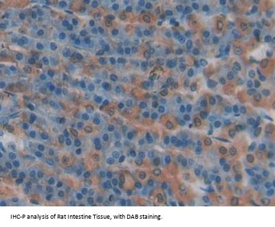
Applications WB, IF, IHC, ICC, ELISA
Specific against Rat (Rattus norvegicus)
Host Rabbit
ECLASS 10.1 32160702
ECLASS 11.0 32160702
UNSPSC 12352203
Available
Description
Polyclonal Antibody to Selectin, Platelet (SELP).
Antigen
Selectin, Platelet
Conjugation
Unconjugated
Immunogen
SELP (Ala58-Cys158).
Storage
Aliquot and store at -20 C. Avoid repeated freeze/thaw cycles.
Lead Time
Shipped within 5-12 working days.
Note
This product is for research use only.

Note: The presented information and documents (Manual, Product Datasheet, Safety Datasheet and Certificate of Analysis) correspond to our latest update and should serve for orientational purpose only. We do not guarantee the topicality. We would kindly ask you to make a request for specific requirements, if necessary.

All products are intended for research use only (RUO). Not for human, veterinary or therapeutic use.

 
Close