Comparison

CD4 Antibody (C-term)

Item no. ABC-AP1496b-ev
Manufacturer Abcepta
Amount 80 ul
Category
Type Antibody Polyclonal
Applications WB, FC, IHC-P
Specific against Human (Homo sapiens), Mouse (Murine, Mus musculus)
Host Rabbit
Isotype IgG
Citations Garron,M.L., J. Mol. Biol. 375 (5), 1320-1328 (2008) Rychert,J., J. Acquir. Immune Defic. Syndr. 46 (3), 261-267 (2007)
NCBI NP_000607.1
ECLASS 10.1 32160702
ECLASS 11.0 32160702
UNSPSC 12352203
Alias T-cell surface glycoprotein CD4,T-cell surface antigen T4/Leu-3,CD4,CD4
Available
Manufacturer - Category
Primary Antibodies; Immunology; Signal Transduction; Host cell receptor for virus entry; Host-virus interaction; Immunity; Immune system process; T cell receptor signaling
Manufacturer - Targets
This CD4 antibody is generated from rabbits immunized with a KLH conjugated synthetic peptide between 408-436 amino acids from the C-terminal region of human CD4.
Bio Background
CD4 is a single chain transmembraneous glycoprotein (59 kDa) which belongs to the immunoglobulin superfamily. CD4 is present on a subset of T lymphocytes (helper/inducer T cells) and is also expressed at a lower level on monocytes, tissue macrophages and granulocytes. The antigen is involved in binding to MHC class II molecules. The intracellular domain of the antigen is associated with p56lck protein tyrosine kinase.
Clonality
Polyclonal
Polyclonal Antibody Additonal Information
RB13640
Gene Name
CD4
Subtitle
Affinity Purified Rabbit Polyclonal Antibody (Pab)
Reactivity
H, M
Predicted Reactivity
Pr
Calculated Molecular Weight
51111
Antigen Source
HUMAN
Antigen Region
408-436
Formulation
Purified polyclonal antibody supplied in PBS with 0.09% (W/V) sodium azide. This antibody is purified through a protein A column, followed by peptide affinity purification.
Dilution
WB: 1:2000
WB: 1:1000
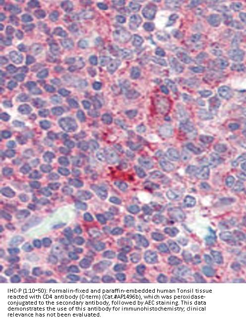
IHC-P: 1:10~50
IHC-P: 1:10~50
FC: 1:10~50
Antigen Type
Synthetic Peptide

Note: The presented information and documents (Manual, Product Datasheet, Safety Datasheet and Certificate of Analysis) correspond to our latest update and should serve for orientational purpose only. We do not guarantee the topicality. We would kindly ask you to make a request for specific requirements, if necessary.

All products are intended for research use only (RUO). Not for human, veterinary or therapeutic use.

Amount: 80 ul
Available: In stock
available

Compare

Add to wishlist

Get an offer

Request delivery time

Ask a technical question

Submit a bulk request

Questions about this Product?
 
Close