Comparison

Hdac6 Antibody - C-terminal region

Item no. ABC-AI11451
Manufacturer Abcepta
Amount 50 ug
Category
Type Antibody Primary
Format Liquid
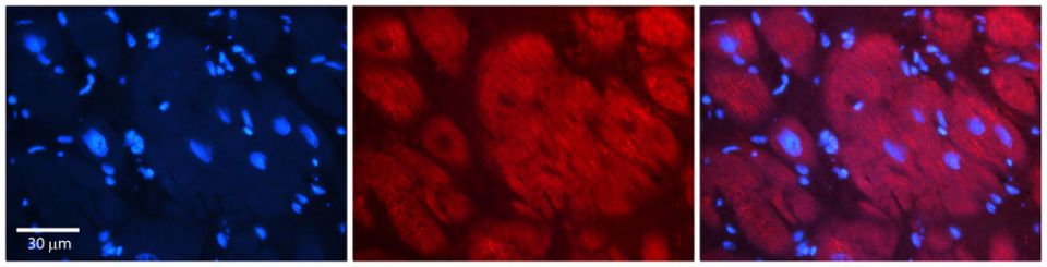
Applications WB, CHIP
Specific against Human (Homo sapiens), Mouse (Murine, Mus musculus), Rat (Rattus norvegicus), Rabbit (Oryctolagus cuniculus), Dog (Canine, Canis lupus familiaris), Pig (Porcine, Sus scrofa domesticus), Cattle (Bovine)
Host Rabbit
ECLASS 10.1 32160702
ECLASS 11.0 32160702
UNSPSC 12352203
Alias Histone deacetylase 6,HD6,3.5.1.98,Histone deacetylase mHDA2,Hdac6
Similar products Hdac6, Histone deacetylase 6, HD6, 3.5.1.98, Histone deacetylase mHDA2
Available
Storage Conditions
Add 50 ul of distilled water. Final anti-Hdac6 antibody concentration is 1 mg/ml in PBS buffer with 2% sucrose. For longer periods of storage, store at 20°C. Avoid repeat freeze-thaw cycles.
Clonality
Polyclonal
Gene Name
Hdac6 {ECO:0000312|MGI:MGI:1333752}
Subtitle
Rabbit Polyclonal Antibody
Reactivity
H, M, Rat, Rb, Pig, Hs, B, D
Predicted Reactivity
H, M, Rat, Pig, B, D
Calculated Molecular Weight
125787
Formulation
Liquid. Purified antibody supplied in 1x PBS buffer with 0.09% (w/v) sodium azide and 2% sucrose.
Immunogen
The immunogen for Anti-Hdac6 antibody is: synthetic peptide directed towards the C-terminal region of Mouse Hdac6
Protein Size
1149
Partner Proteins
GARS, HDAC6, Hsp90ab1, Mapt, Nfkb1, PLAA, Plaa, Rela, Tuba1a, USP47, VCP
Nucleotide Accession Number
NM_010413
Protein Accession Number
NP_034543
Alias Symbol
Hd6, Hdac5, Sfc6, mHDA2

Note: The presented information and documents (Manual, Product Datasheet, Safety Datasheet and Certificate of Analysis) correspond to our latest update and should serve for orientational purpose only. We do not guarantee the topicality. We would kindly ask you to make a request for specific requirements, if necessary.

All products are intended for research use only (RUO). Not for human, veterinary or therapeutic use.

Amount: 50 ug
Available: In stock
available

Compare

Add to wishlist

Get an offer

Request delivery time

Ask a technical question

Submit a bulk request

Questions about this Product?
 
Close