Comparison

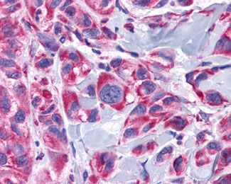
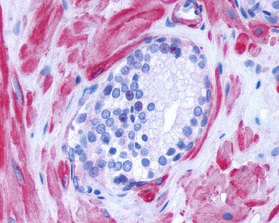
ADRA1D Antibody (Cytoplasmic Domain)

Item no. ABC-ALS10004
Manufacturer Abcepta
Amount 50 ug
Category
Type Antibody Primary
Applications IHC-P
Specific against Human (Homo sapiens), Monkey (Cynomolgus, Simian), Rabbit (Oryctolagus cuniculus), Dog (Canine, Canis lupus familiaris), Pig (Porcine, Sus scrofa domesticus), Cattle (Bovine)
Host Rabbit
Citations Bruno J.F.,et al.Biochem. Biophys. Res. Commun. 179:1485-1490(1991).
Forray C.,et al.Mol. Pharmacol. 45:703-708(1994).
Schwinn D.A.,et al.J. Pharmacol. Exp. Ther. 272:134-142(1995).
Weinberg D.H.,et al.Biochem. Biophys. Res. Commun. 201:1296-1304(1994).
Esbenshade T.A.,et al.Mol. Pharmacol. 47:977-985(1995).
ECLASS 10.1 32160702
ECLASS 11.0 32160702
UNSPSC 12352203
Alias Alpha-1D adrenergic receptor,Alpha-1A adrenergic receptor,Alpha-1D adrenoreceptor,Alpha-1D adrenoceptor,Alpha-adrenergic receptor 1a,ADRA1D,ADRA1A
Similar products ADRA1A, ADRA1D, Alpha-1A adrenergic receptor, Alpha-1D adrenergic receptor, Alpha-1D adrenoreceptor, Alpha-1D adrenoceptor, Alpha-adrenergic receptor 1a
Available
Manufacturer - Targets
Human ADRA1D. BLAST analysis of the peptide immunogen showed no homology with other human proteins.
Storage Conditions
Long term: -70°C; Short term: +4°C
Bio Background
This alpha-adrenergic receptor mediates its effect through the influx of extracellular calcium.
Clonality
Polyclonal
Gene Name
ADRA1D
Subtitle
Rabbit Polyclonal Antibody
Reactivity
H, Rb, Pr, Pig, Hs, B, D
Calculated Molecular Weight
60463
Purification
Immunoaffinity purified
Concentration
1 mg/ml
Dilution
IHC-P (1-3 µg/ml)
Antigen Type
Synthetic peptide

Note: The presented information and documents (Manual, Product Datasheet, Safety Datasheet and Certificate of Analysis) correspond to our latest update and should serve for orientational purpose only. We do not guarantee the topicality. We would kindly ask you to make a request for specific requirements, if necessary.

All products are intended for research use only (RUO). Not for human, veterinary or therapeutic use.

Amount: 50 ug
Available: In stock
available

Compare

Add to wishlist

Get an offer

Request delivery time

Ask a technical question

Submit a bulk request

Questions about this Product?
 
Close