Comparison

c-FOS Antibody

Item no. ABC-AN1261
Manufacturer Abcepta
Amount 100 ul
Category
Type Antibody Monoclonal
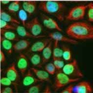
Applications WB, IF, IHC
Clone 2H2
Specific against Human (Homo sapiens), Mouse (Murine, Mus musculus), Cattle (Bovine)
Host Mouse
Isotype IgG1
ECLASS 10.1 42030590
ECLASS 11.0 42030590
UNSPSC 12352203
Available
Manufacturer - Category
Primary Antibodies; Cancer; Neuroscience; Toll-Like Receptor; Toll-Like receptor signaling; B cell receptor signaling; T cell activation; T cell receptor signaling; Interleukin signaling; Apoptosis signaling
Manufacturer - Targets
Recombinant full length human c-FOS expressed in and purified from E. Coli.
Bio Background
c-FOS is a member of the FOS transcription factor family which forms dimers with c-JUN to produce the Activator Protein 1 (AP-1) complex which plays a key role in critical cellular processes such as cell proliferation, differentiation and apoptosis (Chiu et al., 1988).  c-FOS expression has been demonstrated to be a useful marker of neuronal activation as it is rapidly induced following various stimuli (Hoffman et al., 1993).  Additionally, c-FOS has been shown to be overexpressed in a variety of malignant tumor types (Milde-Langosch 2005).
Clonality
Monoclonal
Gene Name
FOS
Subtitle
Mouse Monoclonal Antibody
Reactivity
H, M, B
Calculated Molecular Weight
40695
Formulation
Protein G purified culture supernatant.
Dilution
WB: 1:2000
IF: 1:1000

Note: The presented information and documents (Manual, Product Datasheet, Safety Datasheet and Certificate of Analysis) correspond to our latest update and should serve for orientational purpose only. We do not guarantee the topicality. We would kindly ask you to make a request for specific requirements, if necessary.

All products are intended for research use only (RUO). Not for human, veterinary or therapeutic use.

Amount: 100 ul
Available: In stock
available

Compare

Add to wishlist

Get an offer

Request delivery time

Ask a technical question

Submit a bulk request

Questions about this Product?
 
Close