Comparison

MyoD1(5.8A), CF740 conjugate, 0.1mg/mL

Item no. B-BNC740191-500
Manufacturer Biotium
Amount 500 uL
Category
Type Antibody Monoclonal
Clone 5.8A
Specific against Human (Homo sapiens), Mouse (Murine, Mus musculus), Rat (Rattus norvegicus), Chicken (Gallus gallus domesticus)
Host Mouse
Isotype IgG1 Kappa
Citations Thulasi R et. al. Cell Growth and Differentiation, 1996, 7(4):531-41.
Wesche WA et. al. American Journal of Surgical Pathology, 1995, 19(3):261-9.
Parham DM et. al. Acta Neuropathologica, 1994, 87:605-11.
ECLASS 10.1 42030590
ECLASS 11.0 42030590
UNSPSC 12352203
Alias bHLHc1,Class C basic helix-loop-helix protein 1,Myoblast determination protein 1,Myogenic differentiation 1,Myogenic factor 3 (Myf-3),Myogenin D1,PUM
Shipping Condition Room temperature
Available
Manufacturer - Type
Primary
Manufacturer - Category
Primary Antibodies Only
Manufacturer - Targets
MyoD1
Manufacturer - Conjugate / Tag
CF740
Manufacturer - Host
Mus musculus (mouse), Bos taurus (bovine)
Shipping Temperature
Room temperature
Storage Conditions
Store at 2 to 8°C|Protect fluorescent conjugates from light
2°C to 8°C
Molecular Weight
45 kDa
Manufacturer - Research Area
Cancer|Developmental biology
Description
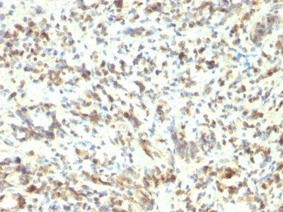
Recognizes a phosphor-protein of 45 kDa, identified as MyoD1. The epitope of this MAb maps between amino acid 180-189 in the C-terminal of mouse MyoD1 protein. It does not cross react with myogenin, Myf5, or Myf6. Antibody to MyoD1 labels the nuclei of myoblasts in developing muscle tissues. MyoD1 is not detected in normal adult tissue, but is highly expressed in the tumor cell nuclei of rhabdomyosarcomas. Occasionally nuclear expression of MyoD1 is seen in ectomesenchymoma and a subset of Wilm s tumors. Weak cytoplasmic staining is observed in several non-muscle tissues, including glandular epithelium and also in rhabdomyosarcomas, neuroblastomas, Ewing s sarcomas and alveolar soft part sarcomas.Primary antibodies are available purified, or with a selection of fluorescent CF® Dyes and other labels. CF® Dyes offer exceptional brightness and photostability. Note: Conjugates of blue fluorescent dyes like CF®405S and CF®405M are not recommended for detecting low abundance targets, because blue dyes have lower fluorescence and can give higher non-specific background than other dye colors.
Product origin
Animal
Ingredient of biological origin
Mus musculus (mouse), Bos taurus (bovine)
Special handling for PI and label
Protect from light
Undated stability guarantee in PI
2 years
Stability at RT during shipping (protected from light)
Stable at room temperature or 37°C (98°F) for 7 days.
UNSPSC Commodity
41116161
UNSPSC Commodity Title
Primary and secondary antibodies for multiple methodology
immunostaining detection application
Classified or regulated chemicals
0.05% sodium azide (CAS 26628-22-8)
Concentration
0.1 mg/mL
Storage buffer
PBS, 0.1% rBSA, 0.05% azide
Dated shelf life printed on label
Guaranteed for at least 24 months from date of receipt when stored as recommended
Immunogen (Secondaries, for anti tag only)
Recombinant mouse MyoD1 protein
Clonality
Monoclonal
Regulatory Status
For research use only (RUO)
Human Gene Symbol
MYOD1
Unigene
181768
Positive Control
Rhabdomyosarcoma
Antibody target cellular localization
Nucleus
Cell tissue expression
Muscle
Tumor expression
Sarcoma
Antibody application notes
For coating for ELISA, order Ab without BSA|Higher concentration may be required for direct detection using primary antibody conjugates than for indirect detection with secondary antibody|Recommended starting concentrations for titration are 1-2 ug/mL for most applications, or 1 ug/million cells/100 uL for flow cytometry|Only nuclear staining should be considered as evidence of skeletal muscle differentiation|Optimal dilution for a specific application should be determined by user
Manufacturer - Antibody Reactivity
MyoD1
Antibody number
#0191

Note: The presented information and documents (Manual, Product Datasheet, Safety Datasheet and Certificate of Analysis) correspond to our latest update and should serve for orientational purpose only. We do not guarantee the topicality. We would kindly ask you to make a request for specific requirements, if necessary.

All products are intended for research use only (RUO). Not for human, veterinary or therapeutic use.

Amount: 500 uL
Available: In stock
available

Compare

Add to wishlist

Get an offer

Request delivery time

Ask a technical question

Submit a bulk request

Questions about this Product?