Comparison

Anti-AES Antibody Picoband® European Partner

Item no. BOS-A01757-1-iFluor647
Manufacturer Boster
Amount 100 ug
Quantity options 100 ug/vial 10 ug 100 ug 100 ug 100 ug 100 ug 100 ug 100 ug 100 ug 100 ug 100 ug 100 ug
Category
Type Antibody Primary
Format Lyophilized
Applications WB, FC, IF, IHC, ICC, ELISA
Specific against Human (Homo sapiens)
Host Rabbit
Isotype IgG
Citations 1. Hartley, D. A., Preiss, A., Artavanis-Tsakonas, S. A deduced gene product from the Drosophila neurogenic locus, enhancer of split, shows homology to mammalian G-protein beta subunit. Cell 55: 785-795, 1988.
2. Hou, E. W., Li, S.-L. Genomic organization and chromosome localization to band 19p13.3 of the human AES gene: gene product exhibits strong similarity to the N-terminal domain of Drosophila enhancer of split Groucho protein. DNA Cell Biol. 17: 911-913, 1998.
3. Miyasaka, H., Choudhury, B. K., Hou, E. W., Li, S. S.-L.Molecular cloning and expression of mouse and human cDNA encoding AES and ESG proteins with strong similarity to Drosophila enhancer of split groucho protein. Europ. J. Biochem. 216: 343-352, 1993.
ECLASS 10.1 32160702
ECLASS 11.0 32160702
UNSPSC 12352203
Alias Amino-terminal enhancer of split,Amino enhancer of split,Gp130-associated protein GAM,Grg-5,Groucho-related protein 5,Protein ESP1,Protein GRG,AES,GRG,GRG5
Available
Manufacturer - Category
Primary Antibodies
Manufacturer - Conjugate / Tag
iFluor647
Storage Conditions
Store at -20°C for one year from date of receipt. After reconstitution, at 4°C for one month. It can also be aliquotted and stored frozen at -20°C for six months. Avoid repeated freeze-thaw cycles.
Observed Molecular weight
22 kDa
Clonality
Polyclonal
Application Details
Western blot, 0.1-0.5μg/ml, Human
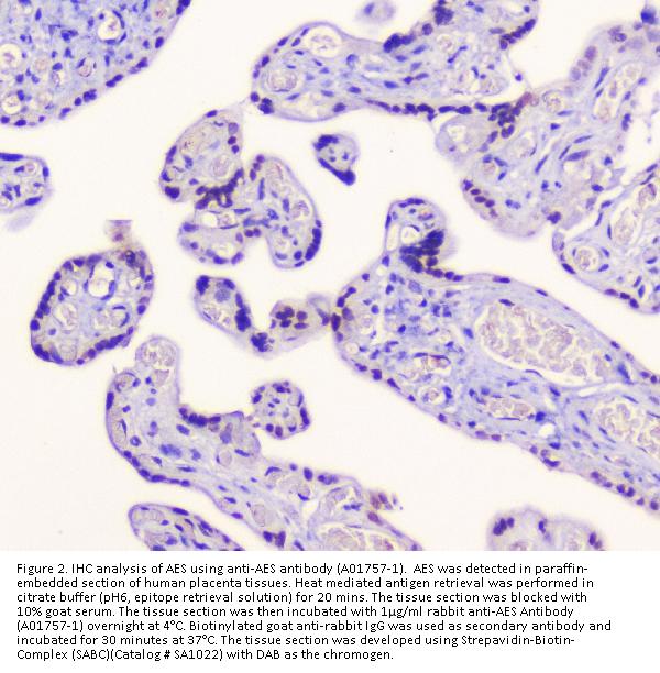
Immunohistochemistry (Paraffin-embedded Section), 0.5-1μg/ml, Human
Immunocytochemistry/Immunofluorescence, 2μg/ml, Human
Flow Cytometry (Fixed), 1-3μg/1x106 cells, Human
ELISA, 0.1-0.5μg/ml
Gene Name
AES
Gene Full Name
amino-terminal enhancer of split
Manufacturer - Specificity
No cross reactivity with other proteins.
Background
The AES gene is mapped to 19p13.3. The protein encoded by this gene is similar in sequence to the amino terminus of Drosophila enhancer of split groucho, a protein involved in neurogenesis during embryonic development. The encoded protein, which belongs to the groucho/TLE family of proteins, can function as a homooligomer or as a heteroologimer with other family members to dominantly repress the expression of other family member genes. Three transcript variants encoding different isoforms have been found for this gene.
Immunogen
E. coli-derived human AES recombinant protein (Position: Y69-L138).
Contents
Each vial contains 4mg Trehalose, 0.9mg NaCl, 0.2mg Na2HPO4, 0.05mg NaN3.
Purification
Immunogen affinity purified.
Reconstitution
Add 0.2ml of distilled water will yield a concentration of 500ug/ml.
Concentration
Adding 0.2 ml of distilled water will yield a concentration of 500 μg/ml.
Manufacturer - Research Category
Actin Binding Proteins, Actin, etc., Cytoskeleton, Cytoskeleton/ECM, Microfilaments, Organelle Proteins, Protein Trafficking, Signal Transduction
Protein Function
Transcriptional corepressor. Acts as dominant repressor towards other family members. Inhibits NF-kappa-B-regulated gene expression. May be required for the initiation and maintenance of the differentiated state. Essential for the transcriptional repressor activity of SIX3 during retina and lens development.
Subcellular Localization
Nucleus.
Description
Boster Bio Anti-AES Antibody Picoband® catalog # A01757-1. Tested in ELISA, Flow Cytometry, IF, IHC, ICC, WB applications. This antibody reacts with Human. The brand Picoband indicates this is a premium antibody that guarantees superior quality, high affinity, and strong signals with minimal background in Western blot applications. Only our best-performing antibodies are designated as Picoband, ensuring unmatched performance.
Tissue Specificity
Found predominantly in muscle, heart and Placenta. In fetal tissues, abundantly expressed in the heart, lung, kidney, brain and liver.
Manufacturer - Cross Reactivity
No cross-reactivity with other proteins.

Note: The presented information and documents (Manual, Product Datasheet, Safety Datasheet and Certificate of Analysis) correspond to our latest update and should serve for orientational purpose only. We do not guarantee the topicality. We would kindly ask you to make a request for specific requirements, if necessary.

All products are intended for research use only (RUO). Not for human, veterinary or therapeutic use.

Amount: 100 ug
Available: In stock
available

Compare

Add to wishlist

Get an offer

Request delivery time

Ask a technical question

Submit a bulk request

Questions about this Product?