Comparison

Anti-CD8 alpha/Cd8a Antibody Picoband® European Partner

Item no. BOS-A02236-2-iFluor647
Manufacturer Boster
Amount 100 ug
Quantity options 100 ug/vial 10 ug 100 ug 100 ug 100 ug 100 ug 100 ug 100 ug 100 ug 100 ug 100 ug 100 ug
Category
Type Antibody Polyclonal
Format Lyophilized
Applications WB, IHC, ELISA
Specific against Rat (Rattus norvegicus)
Host Rabbit
Isotype IgG
Citations 1. Bowcock, A. M., Kavathas, P., Margolskee, R. F., Herzenberg, L., Cavalli-Sforza, L. L. An RFLP associated with pcDLeu2-14, a human T-cell differentiation antigen CD8 (Leu2) cDNA mapped to 2p12. Nucleic Acids Res. 14: 7817 only, 1986.
2. Entrez Gene: CD8A CD8a molecule.
ECLASS 10.1 32160702
ECLASS 11.0 32160702
UNSPSC 12352203
Alias T-cell surface glycoprotein CD8 alpha chain,CD8 antigen 32 kDa chain,OX-8 membrane antigen,CD8a
Available
Manufacturer - Category
Primary Antibodies
Manufacturer - Conjugate / Tag
iFluor647
Storage Conditions
Store at -20°C for one year from date of receipt. After reconstitution, at 4°C for one month. It can also be aliquotted and stored frozen at -20°C for six months. Avoid repeated freeze-thaw cycles.
Observed Molecular weight
26-35 kDa
Clonality
Polyclonal
Application Details
Western blot, 0.1-0.5μg/ml
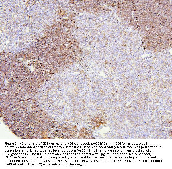
Immunohistochemistry (Paraffin-embedded Section), 0.5-1μg/ml
ELISA, 0.1-0.5μg/ml
Gene Name
Cd8a
Gene Full Name
CD8a molecule
Manufacturer - Specificity
No cross reactivity with other proteins.
Background
The CD8 antigen is a cell surface glycoprotein found on most cytotoxic T lymphocytes that mediates efficient cell-cell interactions within the immune system. It is mapped to 2p11.2. The CD8 antigen, acting as a coreceptor, and the T-cell receptor on the T lymphocyte recognize antigen displayed by an antigen presenting cell (APC) in the context of class I MHC molecules. The functional coreceptor is either a homodimer composed of two alpha chains, or a heterodimer composed of one alpha and one beta chain. Both alpha and beta chains share significant homology to immunoglobulin variable light chains. This gene also encodes the CD8 alpha chain isoforms.
Immunogen
E.coli-derived rat CD8 alpha/Cd8a recombinant protein (Position: Q27-Q114).
Contents
Each vial contains 4mg Trehalose, 0.9mg NaCl, 0.2mg Na2HPO4, 0.05mg NaN3.
Purification
Immunogen affinity purified.
Reconstitution
Add 0.2ml of distilled water will yield a concentration of 500ug/ml.
Concentration
Adding 0.2 ml of distilled water will yield a concentration of 500 μg/ml.
Manufacturer - Research Category
Immunology, T Cells
Protein Function
Integral membrane glycoprotein that plays an essential role in the immune response and serves multiple functions in responses against both external and internal offenses. In T-cells, functions primarily as a coreceptor for MHC class I molecule:peptide complex. The antigens presented by class I peptides are derived from cytosolic proteins while class II derived from extracellular proteins. Interacts simultaneously with the T-cell receptor (TCR) and the MHC class I proteins presented by antigen presenting cells (APCs). In turn, recruits the Src kinase LCK to the vicinity of the TCR-CD3 complex. LCK then initiates different intracellular signaling pathways by phosphorylating various substrates ultimately leading to lymphokine production, motility, adhesion and activation of cytotoxic T-lymphocytes (CTLs). This mechanism enables CTLs to recognize and eliminate infected cells and tumor cells. In NK-cells, the presence of CD8A homodimers at the cell surface provides a survival mechanism allowing conjugation and lysis of multiple target cells. CD8A homodimer molecules also promote the survival and differentiation of activated lymphocytes into memory CD8 T-cells.
Subcellular Localization
Cell membrane. Single-pass type I membrane protein.
Description
Boster Bio Anti-CD8 alpha/Cd8a Antibody Picoband® catalog # A02236-2. Tested in ELISA, IHC, WB applications. This antibody reacts with Rat. The brand Picoband indicates this is a premium antibody that guarantees superior quality, high affinity, and strong signals with minimal background in Western blot applications. Only our best-performing antibodies are designated as Picoband, ensuring unmatched performance.
Manufacturer - Cross Reactivity
No cross-reactivity with other proteins.

Note: The presented information and documents (Manual, Product Datasheet, Safety Datasheet and Certificate of Analysis) correspond to our latest update and should serve for orientational purpose only. We do not guarantee the topicality. We would kindly ask you to make a request for specific requirements, if necessary.

All products are intended for research use only (RUO). Not for human, veterinary or therapeutic use.

Amount: 100 ug
Available: In stock
available

Compare

Add to wishlist

Get an offer

Request delivery time

Ask a technical question

Submit a bulk request

Questions about this Product?