Comparison

Anti-Calretinin/CALB2 Antibody Picoband® European Partner

Item no. BOS-A04255-PE
Manufacturer Boster
Amount 100 ug/vial
Quantity options 100 ug/vial 10 ug 100 ug/vial 100 ug/vial 100 ug/vial 100 ug 100 ug 100 ug 100 ug/vial 100 ug/vial 100 ug/vial 100 ug/vial 100 ug/vial
Category
Type Antibody Polyclonal
Format Lyophilized
Applications FC
Specific against Human (Homo sapiens), Mouse (Murine, Mus musculus), Rat (Rattus norvegicus)
Host Rabbit
Isotype IgG
Conjugate/Tag PE
Citations 1. Chen, L. Z., Harris, P. C., Apostolou, S., Baker, E., Holman, K., Lane, S. A., Nancarrow, J. K., Whitmore, S. A., Stallings, R. L., Hildebrand, C. E., Richards, R. I., Sutherland, G. R., Callen, D. F. A refined physical map of the long arm of human chromosome 16. Genomics 10: 308-312, 1991.
2. De Marco Garcia, N. V., Karayannis, T., Fishell, G. Neuronal activity is required for the development of specific cortical interneuron subtypes. Nature 472: 351-355, 2011.
3. Parmentier, M., Passage, E., Vassart, G., Mattei, M.-G. The human calbindin D28k (CALB1) and calretinin (CALB2) genes are located at 8q21.3-q22.1 and 16q22-q23, respectively, suggesting a common duplication with the carbonic anhydrase isozyme loci. Cytogenet. Cell Genet. 57: 41-43, 1991.
ECLASS 10.1 32160702
ECLASS 11.0 32160702
UNSPSC 12352203
Alias Calretinin,CR,29 kDa calbindin,CALB2,CAB29
Available
Manufacturer - Category
Primary Antibodies
Storage Conditions
Store at -20°C for one year from date of receipt. After reconstitution, at 4°C for one month. It can also be aliquotted and stored frozen at -20°C for six months. Avoid repeated freeze-thaw cycles.
Molecular Weight
32 kDa
Clonality
Polyclonal
Application Details
Western blot, 0.25-0.5μg/ml, Mouse, Rat
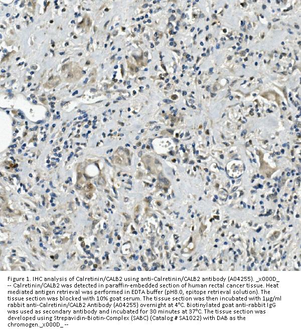
Immunohistochemistry (Paraffin-embedded Section), 0.5-1μg/ml, Human, Mouse, Rat
Immunocytochemistry/Immunofluorescence, 2μg/ml, Human
Flow Cytometry (Fixed), 1-3μg/1x106 cells, Human, Rat
ELISA, 0.1-0.5μg/ml
Gene Name
CALB2
Gene Full Name
calbindin 2
Manufacturer - Specificity
No cross reactivity with other proteins.
Background
Calretinin, also known as calbindin 2 (formerly 29 kDa calbindin), is a calcium-binding protein involved in calcium signaling. In humans, the calretinin protein is encoded by the CALB2 gene. It is mapped to 16q22.2. This gene encodes an intracellular calcium-binding protein belonging to the troponin C superfamily. Members of this protein family have six EF-hand domains which bind calcium. This protein plays a role in diverse cellular functions, including message targeting and intracellular calcium buffering. It also functions as a modulator of neuronal excitability, and is a diagnostic marker for some human diseases, including Hirschsprung disease and some cancers. Alternative splicing results in multiple transcript variants.
Immunogen
E.coli-derived human Calretinin/CALB2 recombinant protein (Position: S59-Q90).
Contents
Each vial contains 50% glycerol,  0.9% NaCl,  0.2% Na2HPO4,  0.02% NaN3.
Purification
Immunogen affinity purified.
Reconstitution
Add 0.2ml of distilled water will yield a concentration of 500ug/ml.
Concentration
Adding 0.2 ml of distilled water will yield a concentration of 500 μg/ml.
Manufacturer - Research Category
Adaptive Immunity, B Cells, Hematopoietic Progenitors, Immunoglobulins, Immunology, Lymphoid, Receptors, Stem Cells
Protein Function
Calretinin is a calcium-binding protein which is abundant in auditory neurons.
Subcellular Localization
Cuticular plate. Cytosol. Nucleus. Synaptic membrane. Dendrite. Gap junction. Neuron projection. Parallel fiber to Purkinje cell synapse. Presynapse. Stereocilium. Synapse.
Description
Boster Bio Anti-Calretinin/CALB2 Antibody Picoband® catalog # A04255. Tested in ELISA, Flow Cytometry, IF, IHC, ICC, WB applications. This antibody reacts with Human, Mouse, Rat. The brand Picoband indicates this is a premium antibody that guarantees superior quality, high affinity, and strong signals with minimal background in Western blot applications. Only our best-performing antibodies are designated as Picoband, ensuring unmatched performance.
Tissue Specificity
Brain.
Manufacturer - Cross Reactivity
No cross-reactivity with other proteins.

Note: The presented information and documents (Manual, Product Datasheet, Safety Datasheet and Certificate of Analysis) correspond to our latest update and should serve for orientational purpose only. We do not guarantee the topicality. We would kindly ask you to make a request for specific requirements, if necessary.

All products are intended for research use only (RUO). Not for human, veterinary or therapeutic use.

Amount: 100 ug/vial
Available: In stock
available

Compare

Add to wishlist

Get an offer

Request delivery time

Ask a technical question

Submit a bulk request

Questions about this Product?