Comparison

Anti-KIF7 Antibody Picoband® European Partner

Item no. BOS-A04321-3-iFluor647
Manufacturer Boster
Amount 100 ug
Quantity options 100 ug/vial 10 ug 100 ug 100 ug 100 ug 100 ug 100 ug 100 ug 100 ug 100 ug 100 ug 100 ug
Category
Type Antibody
Format Lyophilized
Applications WB
Specific against Human (Homo sapiens)
Host Rabbit
Isotype IgG
Citations 1. Al-Gazali, L. I., Bakalinova, D. Autosomal recessive syndrome of macrocephaly, multiple epiphyseal dysplasia and distinctive facial appearance. Clin. Dysmorph. 7: 177-184, 1998.
2. Ali, B. R., Silhavy, J. L., Akawi, N. A., Gleeson, J. G., Al-Gazali, L. A mutation in KIF7 is responsible for the autosomal recessive syndrome of macrocephaly, multiple epiphyseal dysplasia and distinctive facial appearance. Orphanet J. Rare Dis. 7: 27, 2012. Note: Electronic Article.
3. Dafinger, C., Liebau, M. C., Elsayed, S. M., Hellenbroich, Y., Boltshauser, E., Korenke, G. C., Fabretti, F., Janecke, A. R., Ebermann, I., Nurnberg, G., Nurnberg, P., Zentgraf, H., Koerber, F., Addicks, K., Elsobky, E., Benzing, T., Schermer, B., Bolz, H. J. Mutations in KIF7 link Joubert syndrome with Sonic Hedgehog signaling and microtubule dynamics. J. Clin. Invest. 121: 2662-2667, 2011.
ECLASS 10.1 32160702
ECLASS 11.0 32160702
UNSPSC 12352203
Alias Interleukin-3 receptor subunit alpha,IL-3 receptor subunit alpha,IL-3R subunit alpha,IL-3R-alpha,IL-3RA,CD123,IL3RA,IL3R
Available
Manufacturer - Category
Primary Antibodies
Manufacturer - Conjugate / Tag
iFluor647
Storage Conditions
At -20°C for one year from date of receipt. After reconstitution, at 4°C for one month. It can also be aliquotted and stored frozen at -20°C for six months. Avoid repeated freezing and thawing.
Observed Molecular weight
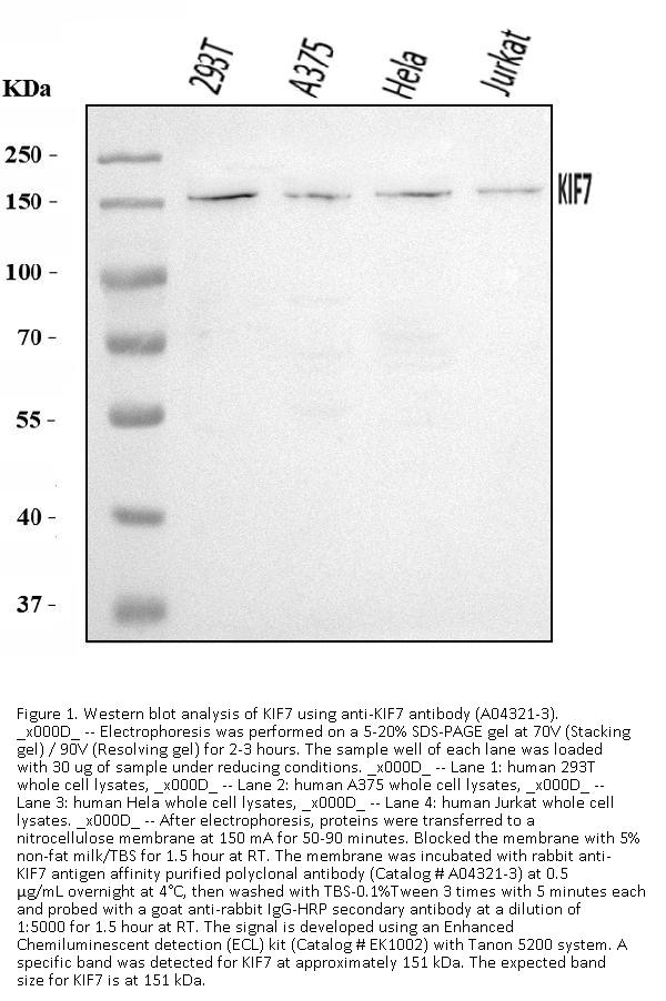
151 kDa
Clonality
Polyclonal
Application Details
Western blot, 0.25-0.5 μg/ml, Human
Gene Name
KIF7
Gene Full Name
interleukin 3 receptor subunit alpha
Background
This gene encodes a cilia-associated protein belonging to the kinesin family. This protein plays a role in the sonic hedgehog (SHH) signaling pathway through the regulation of GLI transcription factors. It functions as a negative regulator of the SHH pathway by preventing inappropriate activation of GLI2 in the absence of ligand, and as a positive regulator by preventing the processing of GLI3 into its repressor form. Mutations in this gene have been associated with various ciliopathies.
Immunogen
A synthetic peptide corresponding to a sequence in the middle region of human KIF7, identical to the related mouse sequences.
Contents
Each vial contains 4 mg Trehalose, 0.9 mg NaCl, 0.2 mg Na2HPO4.
Purification
Immunogen affinity purified.
Reconstitution
Adding 0.2 ml of distilled water will yield a concentration of 500 μg/ml.
Concentration
Adding 0.2 ml of distilled water will yield a concentration of 500 μg/ml.
Manufacturer - Research Category
Adaptive Immunity, B Cells, Hematopoietic Progenitors, Immunoglobulins, Immunology, Lymphoid, Receptors, Stem Cells
Protein Function
This is a receptor for interleukin-3.
Subcellular Localization
Membrane. Single-pass type I membrane protein.
Description
Boster Bio Anti-KIF7 Antibody Picoband® catalog # A04321-3. Tested in WB applications. This antibody reacts with Human. The brand Picoband indicates this is a premium antibody that guarantees superior quality, high affinity, and strong signals with minimal background in Western blot applications. Only our best-performing antibodies are designated as Picoband, ensuring unmatched performance.
Tissue Specificity
Brain.
Manufacturer - Cross Reactivity
No cross-reactivity with other proteins.

Note: The presented information and documents (Manual, Product Datasheet, Safety Datasheet and Certificate of Analysis) correspond to our latest update and should serve for orientational purpose only. We do not guarantee the topicality. We would kindly ask you to make a request for specific requirements, if necessary.

All products are intended for research use only (RUO). Not for human, veterinary or therapeutic use.

Amount: 100 ug
Available: In stock
available

Compare

Add to wishlist

Get an offer

Request delivery time

Ask a technical question

Submit a bulk request

Questions about this Product?