Comparison

Anti-Hsp20/HSPB6 Antibody Picoband® European Partner

Item no. BOS-A07981-1-iFluor647
Manufacturer Boster
Amount 100 ug
Quantity options 100 ug/vial 10 ug 100 ug 100 ug 100 ug 100 ug 100 ug 100 ug 100 ug 100 ug 100 ug 100 ug
Category
Type Antibody Polyclonal
Format Lyophilized
Applications WB, IF, IHC, ICC
Specific against Human (Homo sapiens), Mouse (Murine, Mus musculus), Rat (Rattus norvegicus)
Host Rabbit
Isotype IgG
Citations 1. Entrez Gene: HSPB6 heat shock protein, alpha-crystallin-related, B6.
2. Bukach OV, Seit-Nebi AS, Marston SB, Gusev NB (Jan 2004). Some properties of human small heat shock protein Hsp20 (HspB6). Eur J Biochem. 271 (2): 291–302.
3. Dreiza CM, Komalavilas P, Furnish EJ, Flynn CR, Sheller MR, Smoke CC, Lopes LB, Brophy CM (Jan 2010).The small heat shock protein, HSPB6, in muscle function and disease. Cell Stress Chaperones. 15 (1): 1–11.
ECLASS 10.1 32160702
ECLASS 11.0 32160702
UNSPSC 12352203
Alias Heat shock protein beta-6,HspB6,Heat shock 20 kDa-like protein p20,HSPB6
Available
Manufacturer - Category
Primary Antibodies
Manufacturer - Conjugate / Tag
iFluor647
Storage Conditions
Store at -20°C for one year from date of receipt. After reconstitution, at 4°C for one month. It can also be aliquotted and stored frozen at -20°C for six months. Avoid repeated freeze-thaw cycles.
Observed Molecular weight
17 kDa
Calculated Molecular weight
17136 MW
Clonality
Polyclonal
Application Details
Western blot, 0.1-0.5μg/ml, Human, Mouse, Rat
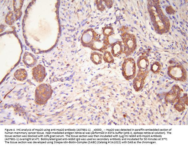
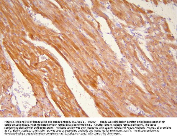
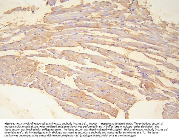
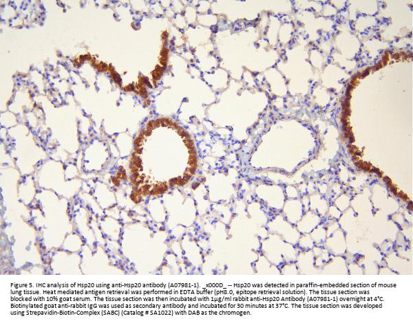
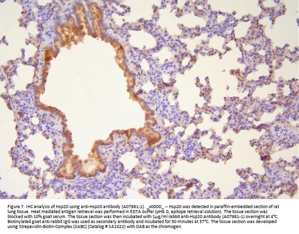
Immunohistochemistry (Paraffin-embedded Section), 0.5-1μg/ml, Human, Mouse, Rat
Immunocytochemistry/Immunofluorescence, 2μg/ml, Human
Gene Name
HSPB6
Gene Full Name
Heat shock protein beta-6
Manufacturer - Specificity
No cross reactivity with other proteins.
Background
Heat shock protein beta-6 is a protein that in humans is encoded by the HSPB6 gene. HSPB6, also known as hsp20, is a 17-kDa member of the small heat shock family of proteins. It is expressed in multiple tissues; however, HSPB6 is most highly and constitutively expressed in different types of muscle including vascular, airway, colonic, bladder, uterine smooth muscle, cardiac muscle and skeletal muscle. HSPB6 has specific functions for vasodilation, platelet function, and insulin resistance and in smooth and cardiac muscle.
Immunogen
E. coli-derived human Hsp20 recombinant protein (Position: H73-L123). Human Hsp20 shares 88.2% and 92.2% amino acid (aa) sequence identity with mouse and rat Hsp20, respectively.
Contents
Each vial contains 4mg Trehalose, 0.9mg NaCl, 0.2mg Na2HPO4, 0.05mg NaN3.
Purification
Immunogen affinity purified.
Reconstitution
Add 0.2ml of distilled water will yield a concentration of 500ug/ml.
Concentration
Adding 0.2 ml of distilled water will yield a concentration of 500 μg/ml.
Manufacturer - Research Category
Atherosclerosis, Cardiovascular, Chaperones, Heat Shock Proteins, Protein Trafficking, Signal Transduction
Protein Name
Chromaffin granule amine transporter
Protein Function
Small heat shock protein which functions as a molecular chaperone probably maintaining denatured proteins in a folding- competent state. Seems to have versatile functions in various biological processes. Plays a role in regulating muscle function such as smooth muscle vasorelaxation and cardiac myocyte contractility. May regulate myocardial angiogenesis implicating KDR. Overexpression mediates cardioprotection and angiogenesis after induced damage. Stabilizes monomeric YWHAZ thereby supporting YWHAZ chaperone-like activity.
Subcellular Localization
Cytoplasm. Nucleus. Translocates to nuclear foci during heat shock.
Description
Boster Bio Anti-Hsp20/HSPB6 Antibody Picoband® catalog # A07981-1. Tested in IF, IHC, ICC, WB applications. This antibody reacts with Human, Mouse, Rat. The brand Picoband indicates this is a premium antibody that guarantees superior quality, high affinity, and strong signals with minimal background in Western blot applications. Only our best-performing antibodies are designated as Picoband, ensuring unmatched performance.
Tissue Specificity
Mainly expressed in testis. Expressed to a lower level in thymus. Weakly or not expressed in heart, liver, brain, placenta, lung, skeletal muscle, kidney and pancreas.
Manufacturer - Cross Reactivity
No cross-reactivity with other proteins.

Note: The presented information and documents (Manual, Product Datasheet, Safety Datasheet and Certificate of Analysis) correspond to our latest update and should serve for orientational purpose only. We do not guarantee the topicality. We would kindly ask you to make a request for specific requirements, if necessary.

All products are intended for research use only (RUO). Not for human, veterinary or therapeutic use.

Amount: 100 ug
Available: In stock
available

Compare

Add to wishlist

Get an offer

Request delivery time

Ask a technical question

Submit a bulk request

Questions about this Product?