Comparison

Anti-GCDFP-15 Rabbit mAb

Item no. PTM-5133
Manufacturer PTM Biolabs
Amount 100 ul
Category
Type Antibody Monoclonal
Format Lyophilized powder
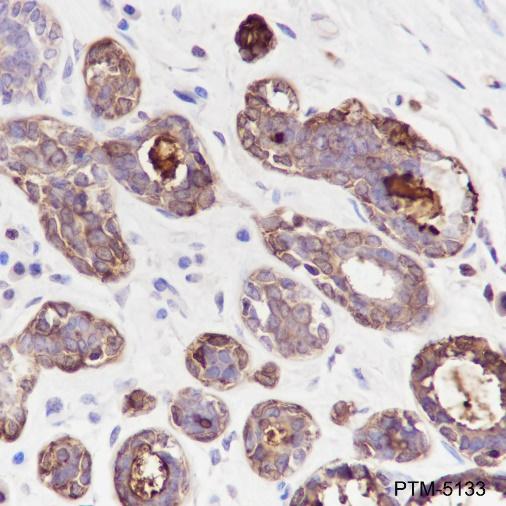
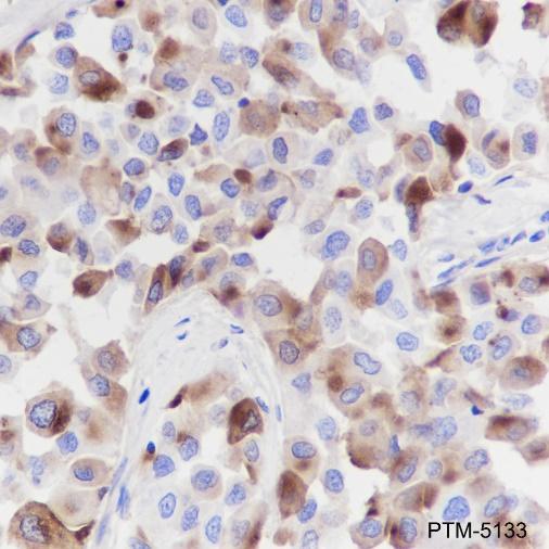
Applications IHC-P
Clone JRMR-169
Specific against Human (Homo sapiens)
Host Rabbit
Isotype IgG
Conjugate/Tag Unconjugated
ECLASS 10.1 42030590
ECLASS 11.0 42030590
UNSPSC 12352203
Alias BRST-2, PIP
Shipping Condition Room temperature
Available
Manufacturer - Type
Primary Antibodies
Manufacturer - Category
Uncategorized
Manufacturer - Targets
GCDFP-15
Shipping Temperature
Ambient temperature
Storage Conditions
Store at -20°C. Avoid freeze/thaw cycles.
Stability
Stable for 12 months from date of receipt/reconstitution.
Manufacturer - Research Area
Cancer, Cell Biology
Product description
Gross cystic disease fluid is a pathologic secretion from breast composed of several glycoproteins, including a unique 15, 000-dalton monomer protein, GCDFP-15. Numerous histopathologic studies have shown GCDFP-15 (BRST-2) to be a specific marker for breast cancer in surgical specimens.
Purification Method
Protein A purified
Formula
PBS, Glycerol, BSA
PTM
Unmodified
Clonality
Recombinant Monoclonal
Background
Gross cystic disease fluid is a pathologic secretion from breast composed of several glycoproteins, including a unique 15, 000-dalton monomer protein, GCDFP-15. Numerous histopathologic studies have shown GCDFP-15 (BRST-2) to be a specific marker for breast cancer in surgical specimens.
Cellular Localization
Cytoplasm

Note: The presented information and documents (Manual, Product Datasheet, Safety Datasheet and Certificate of Analysis) correspond to our latest update and should serve for orientational purpose only. We do not guarantee the topicality. We would kindly ask you to make a request for specific requirements, if necessary.

All products are intended for research use only (RUO). Not for human, veterinary or therapeutic use.

Amount: 100 ul
Available: In stock
available

Compare

Add to wishlist

Get an offer

Request delivery time

Ask a technical question

Submit a bulk request

Questions about this Product?
 
Close