Comparison

Anti-Lambda Light Chain Rabbit mAb

Item no. PTM-5190
Manufacturer PTM Biolabs
Amount 100 ul
Category
Type Antibody Monoclonal
Format Lyophilized powder
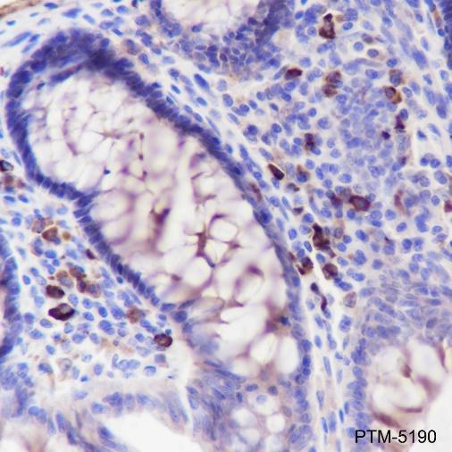
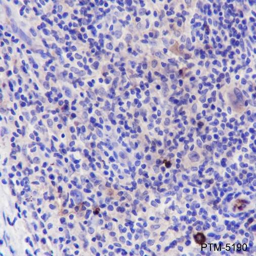
Applications WB, ICC, IHC-P
Clone JRMR-186
Specific against Human (Homo sapiens), Mouse (Murine, Mus musculus)
Host Rabbit
Isotype IgG
Conjugate/Tag Unconjugated
ECLASS 10.1 42030590
ECLASS 11.0 42030590
UNSPSC 12352203
Alias BJP
Shipping Condition Room temperature
Available
Manufacturer - Type
Primary Antibodies
Manufacturer - Applications
WB, IHC-P, ICC/IF
Manufacturer - Category
Uncategorized
Manufacturer - Targets
Lambda Light Chain
Shipping Temperature
Ambient temperature
Storage Conditions
Store at -20°C. Avoid freeze/thaw cycles.
Stability
Stable for 12 months from date of receipt/reconstitution.
Manufacturer - Research Area
Cancer, Immunology
Product description
All five immunoglobulin classes share the same basic four polypeptide chain structure of two heavy-chains and two light chains. There are five heavy chain types, and two light-chain types (Kappa and Lambda) both having a molecular weight of 22.5 kDa. Any heavy-chain type can associate with either light-chain type, but on any immunoglobulin molecule both light-chains are of the same type. Kappa and Lambda consist of a variable region and a constant region and can easily be differentiated by the antigenic properties of the constant region. The ratio of Kappa to Lambda is 70:30, the vast majority of which is bound to heavy-chain in immunoglobulin. In normal individuals low levels of free light-chain arepresent in serum, with the occurrence of multiple myeloma or other B-cell malignancies these levels can be greatly elevated and can be found at high levels in the urine (Bence-Jones proteins).
Purification Method
Protein A purified
Formula
PBS, Glycerol, BSA
PTM
Unmodified
Clonality
Recombinant Monoclonal
Background
All five immunoglobulin classes share the same basic four polypeptide chain structure of two heavy-chains and two light chains. There are five heavy chain types, and two light-chain types (Kappa and Lambda) both having a molecular weight of 22.5 kDa. Any heavy-chain type can associate with either light-chain type, but on any immunoglobulin molecule both light-chains are of the same type. Kappa and Lambda consist of a variable region and a constant region and can easily be differentiated by the antigenic properties of the constant region. The ratio of Kappa to Lambda is 70:30 , the vast majority of which is bound to heavy-chain in immunoglobulin. In normal individuals low levels of free light-chain arepresent in serum, with the occurrence of multiple myeloma or other B-cell malignancies these levels can be greatly elevated and can be found at high levels in the urine (Bence-Jones proteins).
Cellular Localization
Cytoplasmic

Note: The presented information and documents (Manual, Product Datasheet, Safety Datasheet and Certificate of Analysis) correspond to our latest update and should serve for orientational purpose only. We do not guarantee the topicality. We would kindly ask you to make a request for specific requirements, if necessary.

All products are intended for research use only (RUO). Not for human, veterinary or therapeutic use.

Amount: 100 ul
Available: In stock
available

Delivery expected until 2/19/2026 

Compare

Add to wishlist

Get an offer

Request delivery time

Ask a technical question

Submit a bulk request

Questions about this Product?
 
Close