Comparison

Anti-PRMT5 Rabbit mAb

Item no. PTM-5889
Manufacturer PTM Biolabs
Amount 100 ul
Category
Type Antibody Monoclonal
Format Lyophilized powder
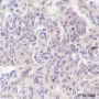
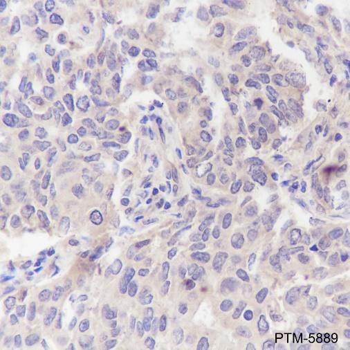
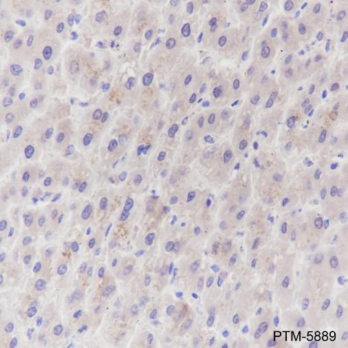
Applications WB, IP, IHC-P
Clone 13598
Specific against Human (Homo sapiens)
Host Rabbit
Isotype IgG
Conjugate/Tag Unconjugated
ECLASS 10.1 42030590
ECLASS 11.0 42030590
UNSPSC 12352203
Alias HRMT1L5,IBP72,JBP1,SKB1
Shipping Condition Room temperature
Available
Manufacturer - Type
Primary Antibodies
Manufacturer - Category
Uncategorized
Manufacturer - Targets
PRMT5
Shipping Temperature
Ambient temperature
Storage Conditions
Store at -20°C. Avoid freeze/thaw cycles.
Stability
Stable for 12 months from date of receipt/reconstitution.
Manufacturer - Research Area
Epigenetics
Product description
Arginine methyltransferase that can both catalyze the formation of omega-N monomethylarginine (MMA) and symmetrical dimethylarginine (sDMA), with a preference for the formation of MMA. Specifically mediates the symmetrical dimethylation of arginine residues in the small nuclear ribonucleoproteins Sm D1 (SNRPD1) and Sm D3 (SNRPD3); such methylation being required for the assembly and biogenesis of snRNP core particles. Methylates SUPT5H and may regulate its transcriptional elongation properties. Mono- and dimethylates arginine residues of myelin basic protein (MBP) in vitro. May play a role in cytokine-activated transduction pathways. Negatively regulates cyclin E1 promoter activity and cellular proliferation. Methylates histone H2A and H4 'Arg-3' during germ cell development. Methylates histone H3 'Arg-8', which may repress transcription. Methylates the Piwi proteins (PIWIL1, PIWIL2 and PIWIL4), methylation of Piwi proteins being required for the interaction with Tudor domain-containing proteins and subsequent localization to the meiotic nuage.
Purification Method
Protein A purified
Formula
PBS, Glycerol, BSA
PTM
Unmodified
Clonality
Recombinant Monoclonal
Background
Arginine methyltransferase that can both catalyze the formation of omega-N monomethylarginine (MMA) and symmetrical dimethylarginine (sDMA), with a preference for the formation of MMA. Specifically mediates the symmetrical dimethylation of arginine residues in the small nuclear ribonucleoproteins Sm D1 (SNRPD1) and Sm D3 (SNRPD3); such methylation being required for the assembly and biogenesis of snRNP core particles. Methylates SUPT5H and may regulate its transcriptional elongation properties. Mono- and dimethylates arginine residues of myelin basic protein (MBP) in vitro. May play a role in cytokine-activated transduction pathways. Negatively regulates cyclin E1 promoter activity and cellular proliferation. Methylates histone H2A and H4 'Arg-3' during germ cell development. Methylates histone H3 'Arg-8', which may repress transcription. Methylates the Piwi proteins (PIWIL1, PIWIL2 and PIWIL4), methylation of Piwi proteins being required for the interaction with Tudor domain-containing proteins and subsequent localization to the meiotic nuage.
Cellular Localization
Chromosome, Cytoplasm, Golgi apparatus, Nucleus

Note: The presented information and documents (Manual, Product Datasheet, Safety Datasheet and Certificate of Analysis) correspond to our latest update and should serve for orientational purpose only. We do not guarantee the topicality. We would kindly ask you to make a request for specific requirements, if necessary.

All products are intended for research use only (RUO). Not for human, veterinary or therapeutic use.

Amount: 100 ul
Available: In stock
available

Compare

Add to wishlist

Get an offer

Request delivery time

Ask a technical question

Submit a bulk request

Questions about this Product?
 
Close