Comparison

Anti-PCCB Mouse mAb

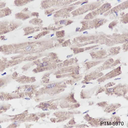
Item no. PTM-5970
Manufacturer PTM Biolabs
Amount 100 ul
Category
Type Antibody Monoclonal
Format Lyophilized powder
Applications WB, IHC-P
Clone 10091
Specific against Human (Homo sapiens), Mouse (Murine, Mus musculus), Rat (Rattus norvegicus)
Host Mouse
Isotype IgG2a
Conjugate/Tag Unconjugated
ECLASS 10.1 42030590
ECLASS 11.0 42030590
UNSPSC 12352203
Alias PCCase subunit beta,Propanoyl-CoA:carbon dioxide ligase subunit beta
Shipping Condition Room temperature
Available
Manufacturer - Type
Primary Antibodies
Manufacturer - Category
Uncategorized
Manufacturer - Targets
PCCB
Shipping Temperature
Ambient temperature
Storage Conditions
Store at -20°C. Avoid freeze/thaw cycles.
Stability
Stable for 12 months from date of receipt/reconstitution.
Manufacturer - Research Area
Metabolism
Product description
This is one of the 2 subunits of the biotin-dependent propionyl-CoA carboxylase (PCC), a mitochondrial enzyme involved in the catabolism of odd chain fatty acids, branched-chain amino acids isoleucine, threonine, methionine, and valine and other metabolites. Propionyl-CoA carboxylase catalyzes the carboxylation of propionyl-CoA/propanoyl-CoA to D-methylmalonyl-CoA/(S)-methylmalonyl-CoA. Within the holoenzyme, the alpha subunit catalyzes the ATP-dependent carboxylation of the biotin carried by the biotin carboxyl carrier (BCC) domain, while the beta subunit then transfers the carboxyl group from carboxylated biotin to propionyl-CoA. Propionyl-CoA carboxylase also significantly acts on butyryl-CoA/butanoyl-CoA, which is converted to ethylmalonyl-CoA/(2S)-ethylmalonyl-CoA at a much lower rate. Other alternative minor substrates include (2E)-butenoyl-CoA/crotonoyl-CoA.
Purification Method
Protein G purified
Formula
PBS, Glycerol, BSA
PTM
Unmodified
Clonality
Recombinant Monoclonal
Background
This is one of the 2 subunits of the biotin-dependent propionyl-CoA carboxylase (PCC), a mitochondrial enzyme involved in the catabolism of odd chain fatty acids, branched-chain amino acids isoleucine, threonine, methionine, and valine and other metabolites. Propionyl-CoA carboxylase catalyzes the carboxylation of propionyl-CoA/propanoyl-CoA to D-methylmalonyl-CoA/(S)-methylmalonyl-CoA. Within the holoenzyme, the alpha subunit catalyzes the ATP-dependent carboxylation of the biotin carried by the biotin carboxyl carrier (BCC) domain, while the beta subunit then transfers the carboxyl group from carboxylated biotin to propionyl-CoA. Propionyl-CoA carboxylase also significantly acts on butyryl-CoA/butanoyl-CoA, which is converted to ethylmalonyl-CoA/(2S)-ethylmalonyl-CoA at a much lower rate. Other alternative minor substrates include (2E)-butenoyl-CoA/crotonoyl-CoA.
Cellular Localization
Mitochondrion

Note: The presented information and documents (Manual, Product Datasheet, Safety Datasheet and Certificate of Analysis) correspond to our latest update and should serve for orientational purpose only. We do not guarantee the topicality. We would kindly ask you to make a request for specific requirements, if necessary.

All products are intended for research use only (RUO). Not for human, veterinary or therapeutic use.

Amount: 100 ul
Available: In stock
available

Compare

Add to wishlist

Get an offer

Request delivery time

Ask a technical question

Submit a bulk request

Questions about this Product?
 
Close