Comparison

Anti-Dimethyl-Histone H3 (Lys4) Mouse mAb

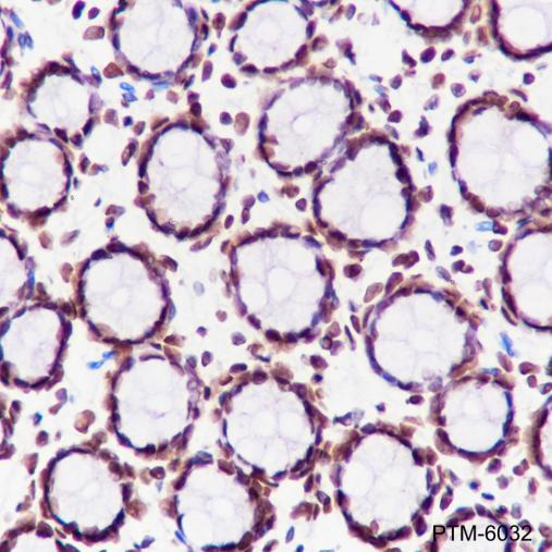
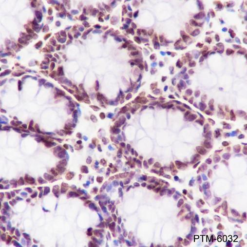
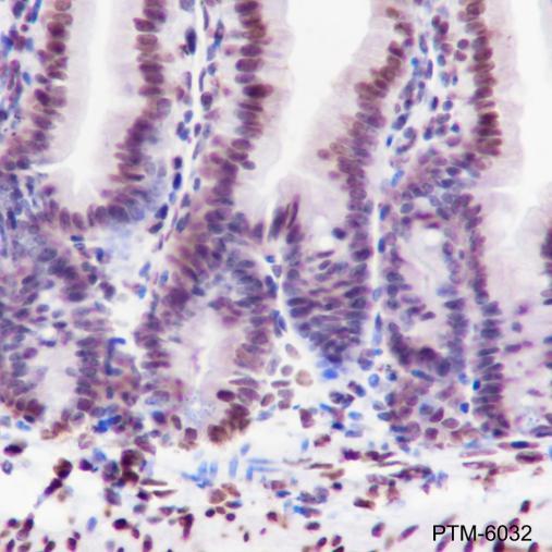
Item no. PTM-6032
Manufacturer PTM Biolabs
Amount 100 ul
Category
Type Antibody Monoclonal
Format Lyophilized powder
Applications WB, ICC, IHC-P, CHIP
Clone 11130
Specific against Human (Homo sapiens), Mouse (Murine, Mus musculus), Rat (Rattus norvegicus)
Host Mouse
Isotype IgG1
Conjugate/Tag Unconjugated
Citations Xiao Cheng, et al. Loss of ZNF408 attenuates STING-mediated immune surveillance in breast carcinogenesis. iScience, 2024. https://www.cell.com/iscience/fulltext/S2589-0042(24)01501-3.
ECLASS 10.1 42030590
ECLASS 11.0 42030590
UNSPSC 12352203
Alias H3K4me2
Shipping Condition Room temperature
Available
Manufacturer - Type
Primary Antibodies
Manufacturer - Applications
WB, IHC-P, ICC/IF, ChIP
Manufacturer - Category
Histone & Histone Modification Antibodies
Manufacturer - Targets
Histone H3
Shipping Temperature
Ambient temperature
Storage Conditions
Store at -20°C. Avoid freeze/thaw cycles.
Molecular Weight
15
Stability
Stable for 12 months from date of receipt/reconstitution.
Manufacturer - Research Area
Epigenetics
Product description
Histones undergo various enzyme-catalyzed modifications, including acetylation, methylation, phosphorylation, ubiquitination, etc. H3K4me2 is a methylation modification on histone proteins that are tightly linked to DNA. The researchers found that H3K4me2 gradually accumulated after DNA damage occurred and peaked after 24 hours, then gradually declined. The transient elevation of H3K4me2 after DNA damage suggests that it may be involved in the process of DNA damage repair.
Purification Method
Protein G purified
Formula
PBS, Glycerol, BSA
PTM
Dimethyl
Modification Site
Lys4
Clonality
Recombinant Monoclonal
Background
Histones undergo various enzyme-catalyzed modifications, including acetylation, methylation, phosphorylation, ubiquitination, etc. H3K4me2 is a methylation modification on histone proteins that are tightly linked to DNA. The researchers found that H3K4me2 gradually accumulated after DNA damage occurred and peaked after 24 hours, then gradually declined. The transient elevation of H3K4me2 after DNA damage suggests that it may be involved in the process of DNA damage repair.
Cellular Localization
Nucleus

Note: The presented information and documents (Manual, Product Datasheet, Safety Datasheet and Certificate of Analysis) correspond to our latest update and should serve for orientational purpose only. We do not guarantee the topicality. We would kindly ask you to make a request for specific requirements, if necessary.

All products are intended for research use only (RUO). Not for human, veterinary or therapeutic use.

Amount: 100 ul
Available: In stock
available

Compare

Add to wishlist

Get an offer

Request delivery time

Ask a technical question

Submit a bulk request

Questions about this Product?
 
Close