Comparison

Anti-MTA2 Mouse mAb

Item no. PTM-6038
Manufacturer PTM Biolabs
Amount 100 ul
Category
Type Antibody Monoclonal
Format Lyophilized powder
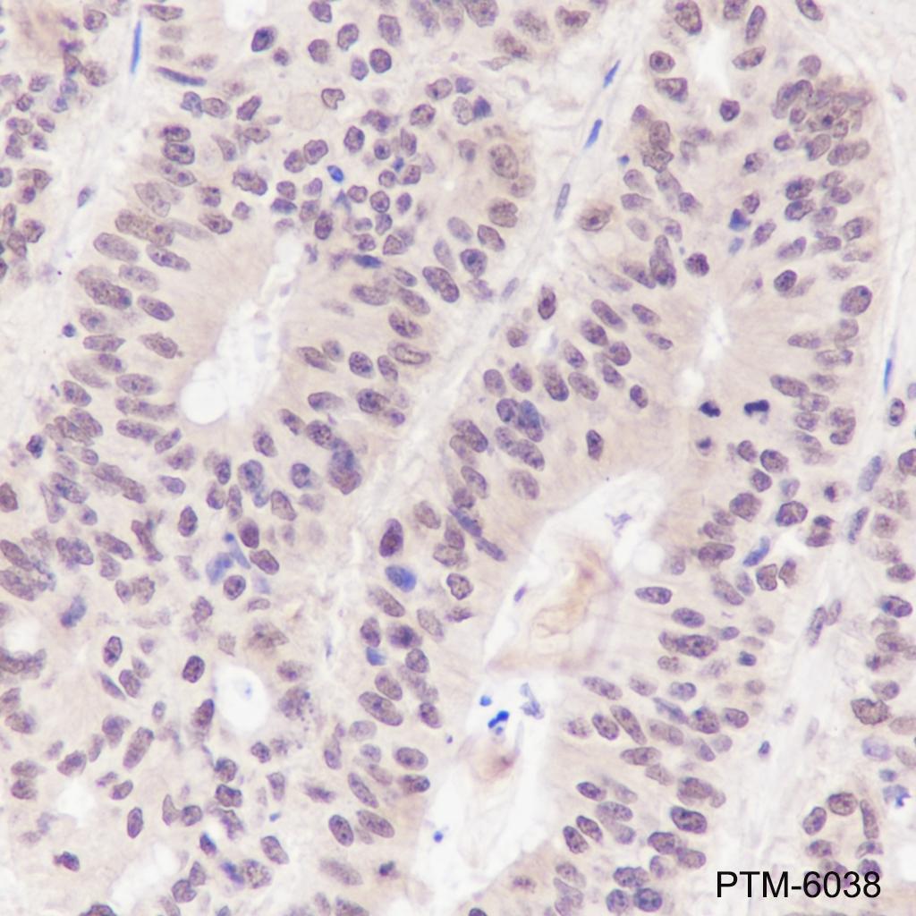
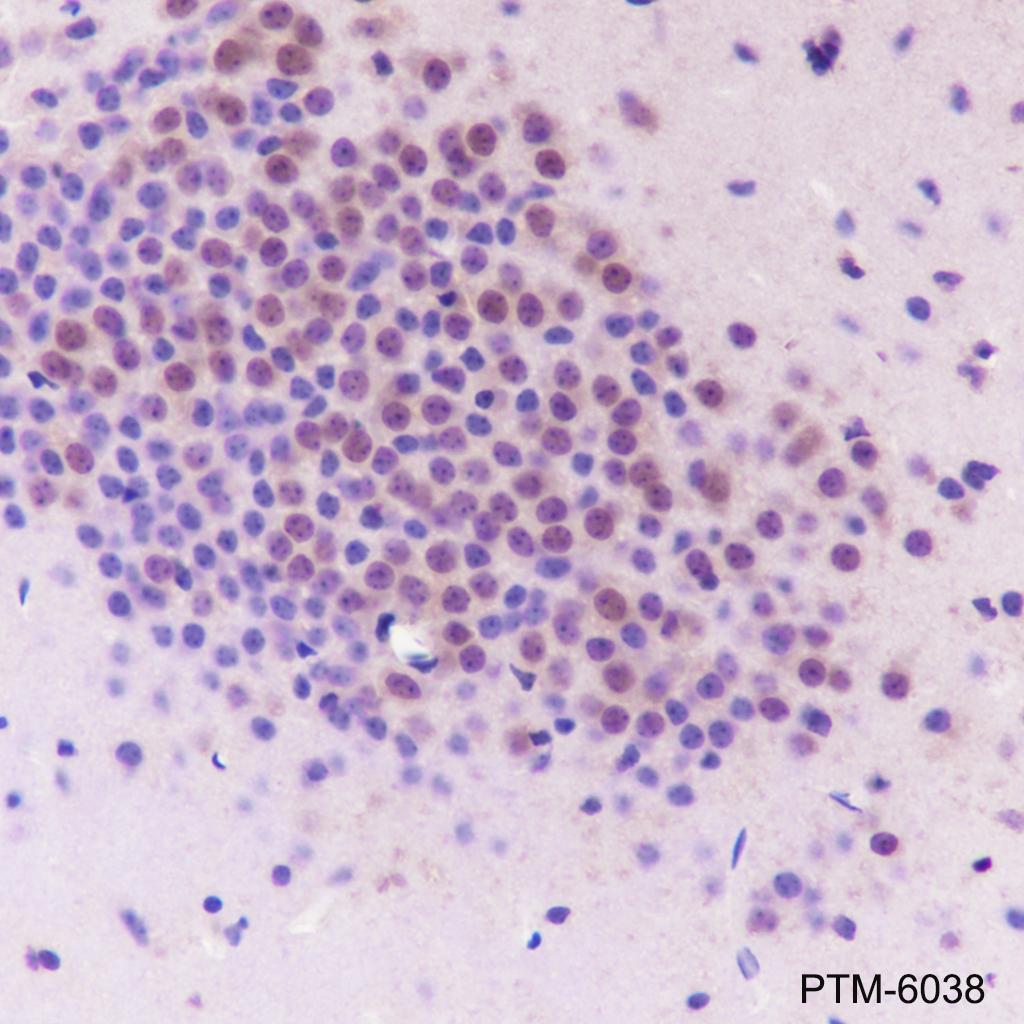
Applications WB, IHC-P
Clone 10858
Specific against Human (Homo sapiens), Mouse (Murine, Mus musculus), Rat (Rattus norvegicus)
Host Mouse
Isotype IgG2b
Conjugate/Tag Unconjugated
ECLASS 10.1 42030590
ECLASS 11.0 42030590
UNSPSC 12352203
Alias MTA1L1,PID
Shipping Condition Room temperature
Available
Manufacturer - Type
Primary Antibodies
Manufacturer - Category
Uncategorized
Manufacturer - Targets
MTA2
Shipping Temperature
Ambient temperature
Storage Conditions
Store at -20°C. Avoid freeze/thaw cycles.
Stability
Stable for 12 months from date of receipt/reconstitution.
Manufacturer - Research Area
Epigenetics
Product description
Metastasis-associated protein MTA2 is a protein that in humans is encoded by the MTA2 gene. MTA2 is the second member of the MTA family of genes. MTA2 protein localizes in the nucleus and is a component of the nucleosome remodeling and the deacetylation complex (NuRD). Similar to the founding family member MTA1, MTA2 functions as a chromatin remodeling factor and regulates gene expression. MTA2 is overexpressed in human cancer and its dysregulated level correlates well with cancer invasiveness and aggressive phenotypes.
Purification Method
Protein G purified
Formula
PBS, Glycerol, BSA
PTM
Unmodified
Clonality
Recombinant Monoclonal
Background
Metastasis-associated protein MTA2 is a protein that in humans is encoded by the MTA2 gene. MTA2 is the second member of the MTA family of genes. MTA2 protein localizes in the nucleus and is a component of the nucleosome remodeling and the deacetylation complex (NuRD). Similar to the founding family member MTA1, MTA2 functions as a chromatin remodeling factor and regulates gene expression. MTA2 is overexpressed in human cancer and its dysregulated level correlates well with cancer invasiveness and aggressive phenotypes.
Cellular Localization
Nucleus

Note: The presented information and documents (Manual, Product Datasheet, Safety Datasheet and Certificate of Analysis) correspond to our latest update and should serve for orientational purpose only. We do not guarantee the topicality. We would kindly ask you to make a request for specific requirements, if necessary.

All products are intended for research use only (RUO). Not for human, veterinary or therapeutic use.

Amount: 100 ul
Available: In stock
available

Compare

Add to wishlist

Get an offer

Request delivery time

Ask a technical question

Submit a bulk request

Questions about this Product?
 
Close