Comparison

Anti-HDAC3 Mouse mAb

Item no. PTM-6070
Manufacturer PTM Biolabs
Amount 100 ul
Category
Type Antibody Monoclonal
Format Lyophilized powder
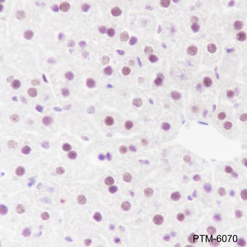
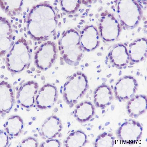
Applications WB, IHC-P
Clone 10341
Specific against Human (Homo sapiens), Mouse (Murine, Mus musculus), Rat (Rattus norvegicus)
Host Mouse
Isotype IgG2b
Conjugate/Tag Unconjugated
ECLASS 10.1 42030590
ECLASS 11.0 42030590
UNSPSC 12352203
Alias RPD3-2,SMAP45
Shipping Condition Room temperature
Available
Manufacturer - Type
Primary Antibodies
Manufacturer - Category
Uncategorized
Manufacturer - Targets
HDAC3
Shipping Temperature
Ambient temperature
Storage Conditions
Store at -20°C. Avoid freeze/thaw cycles.
Stability
Stable for 12 months from date of receipt/reconstitution.
Manufacturer - Research Area
Metabolism, Cancer
Product description
Histones are highly alkaline proteins that package and order DNA into structural units called nucleosomes, which comprise the major protein component of chromatin. The posttranslational and enzymatically mediated lysine acetylation and deacetylation of histone tails changes the local chromatin structure through altering the electrostatic attraction between the negatively charged DNA backbone and histones. HDAC3 is a Class I member of the histone deacetylase superfamily (comprising four classes based on function and DNA sequence homology) that is recruited to enhancers to modulate both the epigenome and nearby gene expression. HDAC3 is found exclusively in the cell nucleus where it is the sole endogenous histone deacetylase biochemically purified in the nuclear-receptor corepressor complex containing NCOR and SMRT (NCOR2). Thus, HDAC3 unlike other HDACs, has a unique role in modulating the transcriptional activities of nuclear receptors.
Purification Method
Protein G purified
Formula
PBS, Glycerol, BSA
PTM
Unmodified
Clonality
Recombinant Monoclonal
Background
Histones are highly alkaline proteins that package and order DNA into structural units called nucleosomes, which comprise the major protein component of chromatin. The posttranslational and enzymatically mediated lysine acetylation and deacetylation of histone tails changes the local chromatin structure through altering the electrostatic attraction between the negatively charged DNA backbone and histones. HDAC3 is a Class I member of the histone deacetylase superfamily (comprising four classes based on function and DNA sequence homology) that is recruited to enhancers to modulate both the epigenome and nearby gene expression. HDAC3 is found exclusively in the cell nucleus where it is the sole endogenous histone deacetylase biochemically purified in the nuclear-receptor corepressor complex containing NCOR and SMRT (NCOR2). Thus, HDAC3 unlike other HDACs, has a unique role in modulating the transcriptional activities of nuclear receptors.
Cellular Localization
Cytoplasm, Nucleus

Note: The presented information and documents (Manual, Product Datasheet, Safety Datasheet and Certificate of Analysis) correspond to our latest update and should serve for orientational purpose only. We do not guarantee the topicality. We would kindly ask you to make a request for specific requirements, if necessary.

All products are intended for research use only (RUO). Not for human, veterinary or therapeutic use.

Amount: 100 ul
Available: In stock
available

Compare

Add to wishlist

Get an offer

Request delivery time

Ask a technical question

Submit a bulk request

Questions about this Product?
 
Close