Comparison

Anti-CENP-A Rabbit mAb

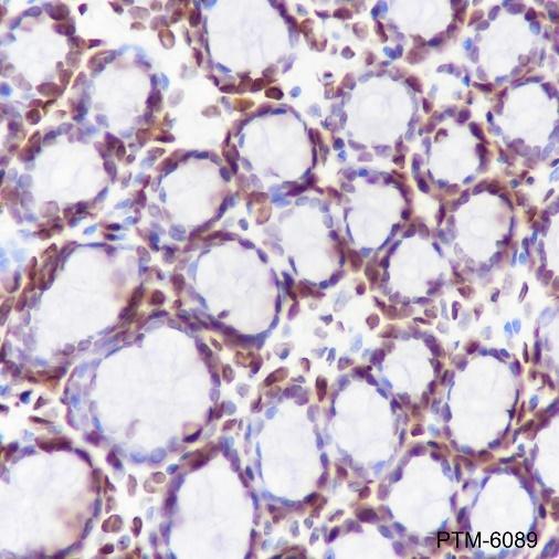
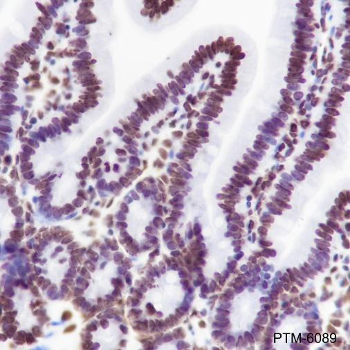
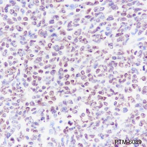
Item no. PTM-6089
Manufacturer PTM Biolabs
Amount 100 ul
Category
Type Antibody Monoclonal
Format Lyophilized powder
Applications WB, FC, ICC, IHC-P
Clone JRMR-10527-48
Specific against Human (Homo sapiens), Mouse (Murine, Mus musculus), Rat (Rattus norvegicus)
Host Rabbit
Isotype IgG
Conjugate/Tag Unconjugated
ECLASS 10.1 42030590
ECLASS 11.0 42030590
UNSPSC 12352203
Alias CENPA
Shipping Condition Room temperature
Available
Manufacturer - Type
Primary Antibodies
Manufacturer - Applications
WB, IHC-P, ICC/IF, FC
Manufacturer - Category
Uncategorized
Manufacturer - Targets
CENP-A
Shipping Temperature
Ambient temperature
Storage Conditions
Store at -20°C. Avoid freeze/thaw cycles.
Stability
Stable for 12 months from date of receipt/reconstitution.
Manufacturer - Research Area
Epigenetics
Product description
Histone H3-like nucleosomal protein that is specifically found in centromeric nucleosomes. Replaces conventional H3 in the nucleosome core of centromeric chromatin at the inner plate of the kinetochore .The presence of CENPA subtly modifies the nucleosome structure and the way DNA is wrapped around the nucleosome and gives rise to protruding DNA ends that are less well-ordered and rigid compared to nucleosomes containing histone H3.May serve as an epigenetic mark that propagates centromere identity through replication and cell division.Required for recruitment and assembly of kinetochore proteins, and as a consequence required for progress through mitosis, chromosome segregation and cytokinesis.
Purification Method
Protein A purified
Formula
PBS, Glycerol, BSA
PTM
Unmodified
Clonality
Recombinant Monoclonal
Background
Histone H3-like nucleosomal protein that is specifically found in centromeric nucleosomes. Replaces conventional H3 in the nucleosome core of centromeric chromatin at the inner plate of the kinetochore .The presence of CENPA subtly modifies the nucleosome structure and the way DNA is wrapped around the nucleosome and gives rise to protruding DNA ends that are less well-ordered and rigid compared to nucleosomes containing histone H3.May serve as an epigenetic mark that propagates centromere identity through replication and cell division.Required for recruitment and assembly of kinetochore proteins, and as a consequence required for progress through mitosis, chromosome segregation and cytokinesis.
Cellular Localization
Nucleus

Note: The presented information and documents (Manual, Product Datasheet, Safety Datasheet and Certificate of Analysis) correspond to our latest update and should serve for orientational purpose only. We do not guarantee the topicality. We would kindly ask you to make a request for specific requirements, if necessary.

All products are intended for research use only (RUO). Not for human, veterinary or therapeutic use.

Amount: 100 ul
Available: In stock
available

Compare

Add to wishlist

Get an offer

Request delivery time

Ask a technical question

Submit a bulk request

Questions about this Product?
 
Close