Comparison

Anti-Smac/Diablo Rabbit mAb

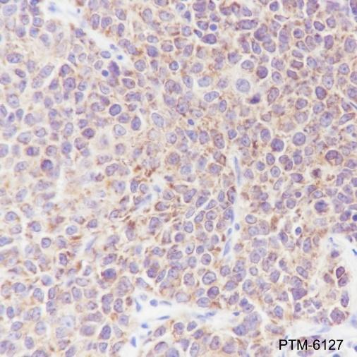
Item no. PTM-6127
Manufacturer PTM Biolabs
Amount 100 ul
Category
Type Antibody Monoclonal
Format Lyophilized powder
Applications WB, FC, IP, ICC, IHC-P
Clone JRMR-10549-60
Specific against Human (Homo sapiens), Mouse (Murine, Mus musculus), Rat (Rattus norvegicus)
Host Rabbit
Isotype IgG
Conjugate/Tag Unconjugated
ECLASS 10.1 42030590
ECLASS 11.0 42030590
UNSPSC 12352203
Alias Diablo IAP-binding mitochondrial protein,Direct IAP-binding protein with low pI,Second mitochondria-derived activator of caspases (SMAC),DIABLO,SMAC
Shipping Condition Room temperature
Available
Manufacturer - Type
Primary Antibodies
Manufacturer - Applications
WB, IHC-P, ICC/IF, FC, IP
Manufacturer - Category
Uncategorized
Manufacturer - Targets
Smac/Diablo
Shipping Temperature
Ambient temperature
Storage Conditions
Store at -20°C. Avoid freeze/thaw cycles.
Stability
Stable for 12 months from date of receipt/reconstitution.
Manufacturer - Research Area
Cell Biology, Cancer, Metabolism
Product description
Promotes apoptosis by activating caspases in the cytochrome c/Apaf-1/caspase-9 pathway. Acts by opposing the inhibitory activity of inhibitor of apoptosis proteins (IAP). Inhibits the activity of BIRC6/bruce by inhibiting its binding to caspases. Isoform 3 attenuates the stability and apoptosis-inhibiting activity of XIAP/BIRC4 by promoting XIAP/BIRC4 ubiquitination and degradation through the ubiquitin-proteasome pathway. Isoform 3 also disrupts XIAP/BIRC4 interacting with processed caspase-9 and promotes caspase-3 activation. Isoform 1 is defective in the capacity to down-regulate the XIAP/BIRC4 abundance.
Purification Method
Protein A purified
Formula
PBS, Glycerol, BSA
PTM
Unmodified
Clonality
Recombinant Monoclonal
Background
Promotes apoptosis by activating caspases in the cytochrome c/Apaf-1/caspase-9 pathway. Acts by opposing the inhibitory activity of inhibitor of apoptosis proteins (IAP). Inhibits the activity of BIRC6/bruce by inhibiting its binding to caspases. Isoform 3 attenuates the stability and apoptosis-inhibiting activity of XIAP/BIRC4 by promoting XIAP/BIRC4 ubiquitination and degradation through the ubiquitin-proteasome pathway. Isoform 3 also disrupts XIAP/BIRC4 interacting with processed caspase-9 and promotes caspase-3 activation. Isoform 1 is defective in the capacity to down-regulate the XIAP/BIRC4 abundance.
Cellular Localization
Mitochondrion

Note: The presented information and documents (Manual, Product Datasheet, Safety Datasheet and Certificate of Analysis) correspond to our latest update and should serve for orientational purpose only. We do not guarantee the topicality. We would kindly ask you to make a request for specific requirements, if necessary.

All products are intended for research use only (RUO). Not for human, veterinary or therapeutic use.

Amount: 100 ul
Available: In stock
available

Compare

Add to wishlist

Get an offer

Request delivery time

Ask a technical question

Submit a bulk request

Questions about this Product?
 
Close