Comparison

Anti-BAP29 Rabbit mAb

Item no. PTM-6266
Manufacturer PTM Biolabs
Amount 100 ul
Category
Type Antibody Monoclonal
Format Lyophilized powder
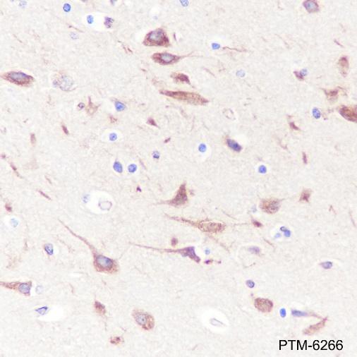
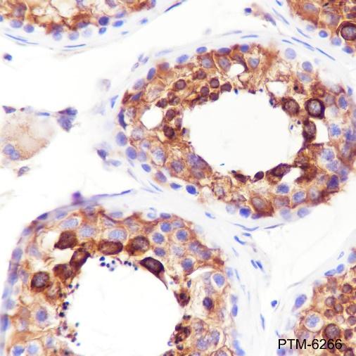
Applications WB, IP, ICC, IHC-P
Clone JRMR-10697-8
Specific against Human (Homo sapiens)
Host Rabbit
Isotype IgG
Conjugate/Tag Unconjugated
ECLASS 10.1 42030590
ECLASS 11.0 42030590
UNSPSC 12352203
Alias BCAP29,Bap29
Shipping Condition Room temperature
Available
Manufacturer - Type
Primary Antibodies
Manufacturer - Applications
WB, IHC-P, ICC/IF, IP
Manufacturer - Category
Uncategorized
Manufacturer - Targets
BAP29
Shipping Temperature
Ambient temperature
Storage Conditions
Store at -20°C. Avoid freeze/thaw cycles.
Stability
Stable for 12 months from date of receipt/reconstitution.
Manufacturer - Research Area
Immunology, Signal Transduction
Product description
This protein may play a role in anterograde transport of membrane proteins from the endoplasmic reticulum to the Golgi and be involved in CASP8-mediated apoptosis.
Purification Method
Protein A purified
Formula
PBS, Glycerol, BSA
PTM
Unmodified
Clonality
Recombinant Monoclonal
Background
This protein may play a role in anterograde transport of membrane proteins from the endoplasmic reticulum to the Golgi and be involved in CASP8-mediated apoptosis.
Cellular Localization
Endoplasmic reticulum

Note: The presented information and documents (Manual, Product Datasheet, Safety Datasheet and Certificate of Analysis) correspond to our latest update and should serve for orientational purpose only. We do not guarantee the topicality. We would kindly ask you to make a request for specific requirements, if necessary.

All products are intended for research use only (RUO). Not for human, veterinary or therapeutic use.

Amount: 100 ul
Available: In stock
available

Compare

Add to wishlist

Get an offer

Request delivery time

Ask a technical question

Submit a bulk request

Questions about this Product?
 
Close