Comparison

Anti-FABP3 Mouse mAb

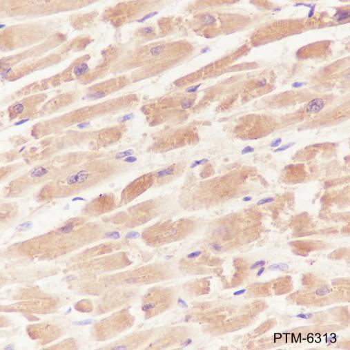
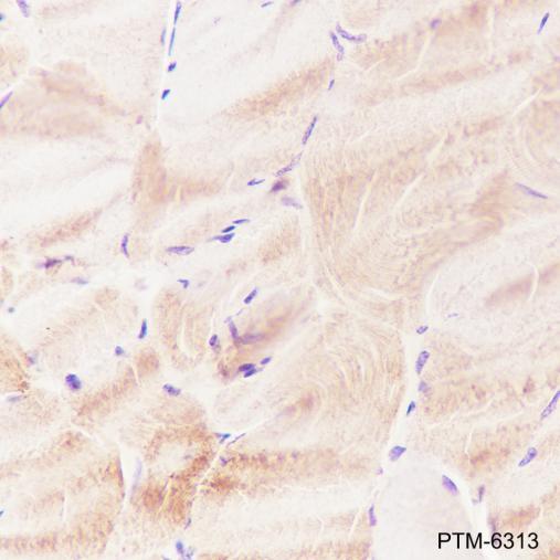
Item no. PTM-6313
Manufacturer PTM Biolabs
Amount 100 ul
Category
Type Antibody Monoclonal
Format Lyophilized powder
Applications WB, IHC-P
Clone 10225
Specific against Human (Homo sapiens), Mouse (Murine, Mus musculus)
Host Mouse
Isotype IgG1
Conjugate/Tag Unconjugated
Citations Haigang Cao, et al. Circular RNA circMYLK4 shifts energy metabolism from glycolysis to OXPHOS by binding to the calcium channel auxiliary subunit CACNA2D2. JOURNAL OF BIOLOGICAL CHEMISTRY, 2024. https://www.sciencedirect.com/science/article/pii/S0021925824019276.
ECLASS 10.1 42030590
ECLASS 11.0 42030590
UNSPSC 12352203
Alias H-FABP,MDGI,M-FABP,FABP11
Shipping Condition Room temperature
Available
Manufacturer - Type
Primary Antibodies
Manufacturer - Category
Uncategorized
Manufacturer - Targets
FABP3
Shipping Temperature
Ambient temperature
Storage Conditions
Store at -20°C. Avoid freeze/thaw cycles.
Stability
Stable for 12 months from date of receipt/reconstitution.
Manufacturer - Research Area
Cardiovascular Biology, Stem Cells, Metabolism
Product description
Heart-type fatty acid binding protein (hFABP or FABP3), also known as mammary-derived growth inhibitor is a protein that is encoded by the FABP3 gene in human. FABP3 is a small cytoplasmic protein released from cardiac myocytes following an ischemic episode. Like the nine other distinct FABPs that have been identified, H-FABP is involved in active fatty acid metabolism where it transports fatty acids from the cell membrane to mitochondria for oxidation. FABPs are divided into at least three distinct types, namely the hepatic-, intestinal- and cardiac-type. They are thought to participate in the uptake, intracellular metabolism and/or transport of long-chain fatty acids. They may also be responsible in the modulation of cell growth and proliferation.
Purification Method
Protein G purified
Formula
PBS, Glycerol, BSA
PTM
Unmodified
Clonality
Recombinant Monoclonal
Background
Heart-type fatty acid binding protein (hFABP or FABP3), also known as mammary-derived growth inhibitor is a protein that is encoded by the FABP3 gene in human. FABP3 is a small cytoplasmic protein released from cardiac myocytes following an ischemic episode. Like the nine other distinct FABPs that have been identified, H-FABP is involved in active fatty acid metabolism where it transports fatty acids from the cell membrane to mitochondria for oxidation. FABPs are divided into at least three distinct types, namely the hepatic-, intestinal- and cardiac-type. They are thought to participate in the uptake, intracellular metabolism and/or transport of long-chain fatty acids. They may also be responsible in the modulation of cell growth and proliferation.
Cellular Localization
Cytoplasm

Note: The presented information and documents (Manual, Product Datasheet, Safety Datasheet and Certificate of Analysis) correspond to our latest update and should serve for orientational purpose only. We do not guarantee the topicality. We would kindly ask you to make a request for specific requirements, if necessary.

All products are intended for research use only (RUO). Not for human, veterinary or therapeutic use.

Amount: 100 ul
Available: In stock
available

Compare

Add to wishlist

Get an offer

Request delivery time

Ask a technical question

Submit a bulk request

Questions about this Product?
 
Close