Comparison

Anti-HDAC6 Rabbit mAb

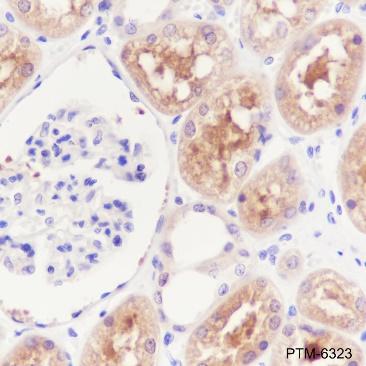
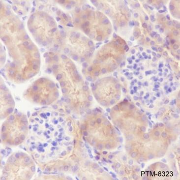
Item no. PTM-6323
Manufacturer PTM Biolabs
Amount 100 ul
Category
Type Antibody Monoclonal
Format Lyophilized powder
Applications WB, IHC-P
Clone JRMR-10770-54
Specific against Human (Homo sapiens), Mouse (Murine, Mus musculus)
Host Rabbit
Isotype IgG
Conjugate/Tag Unconjugated
ECLASS 10.1 42030590
ECLASS 11.0 42030590
UNSPSC 12352203
Alias Histone deacetylase 6,HD6,Tubulin-lysine deacetylase
Shipping Condition Room temperature
Available
Manufacturer - Type
Primary Antibodies
Manufacturer - Category
Uncategorized
Manufacturer - Targets
HDAC6
Shipping Temperature
Ambient temperature
Storage Conditions
Store at -20°C. Avoid freeze/thaw cycles.
Stability
Stable for 12 months from date of receipt/reconstitution.
Manufacturer - Research Area
Epigenetics
Product description
The protein encoded by this gene belongs to class II of the histone deacetylase/acuc/apha family. It contains an internal duplication of two catalytic domains which appear to function independently of each other. This protein possesses histone deacetylase activity and represses transcription. Diseases associated with HDAC6 include Chondrodysplasia with Platyspondyly, Distinctive Brachydactyly, Hydrocephaly, And Microphthalmia and Brachydactyly. Among its related pathways are CREB Pathway and Signaling by NOTCH1. Gene Ontology (GO) annotations related to this gene include enzyme binding and ubiquitin protein ligase binding.
Purification Method
Protein A purified
Formula
PBS, Glycerol, BSA
PTM
Unmodified
Clonality
Recombinant Monoclonal
Background
The protein encoded by this gene belongs to class II of the histone deacetylase/acuc/apha family. It contains an internal duplication of two catalytic domains which appear to function independently of each other. This protein possesses histone deacetylase activity and represses transcription. Diseases associated with HDAC6 include Chondrodysplasia with Platyspondyly, Distinctive Brachydactyly, Hydrocephaly, And Microphthalmia and Brachydactyly. Among its related pathways are CREB Pathway and Signaling by NOTCH1. Gene Ontology (GO) annotations related to this gene include enzyme binding and ubiquitin protein ligase binding.
Cellular Localization
Cytoplasm, Cytoskeleton and Cell nucleus

Note: The presented information and documents (Manual, Product Datasheet, Safety Datasheet and Certificate of Analysis) correspond to our latest update and should serve for orientational purpose only. We do not guarantee the topicality. We would kindly ask you to make a request for specific requirements, if necessary.

All products are intended for research use only (RUO). Not for human, veterinary or therapeutic use.

Amount: 100 ul
Available: In stock
available

Compare

Add to wishlist

Get an offer

Request delivery time

Ask a technical question

Submit a bulk request

Questions about this Product?
 
Close