Comparison

Anti-CD68 Mouse mAb

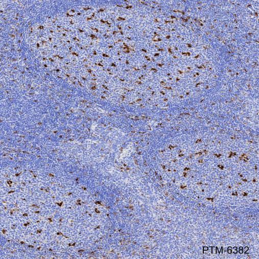
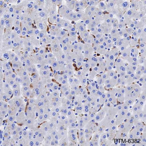
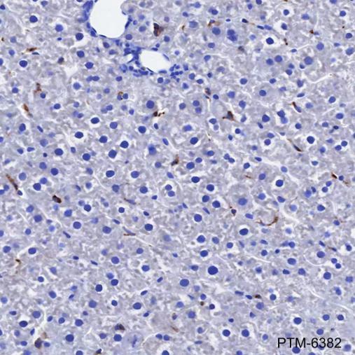
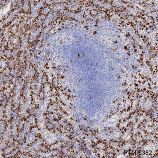
Item no. PTM-6382
Manufacturer PTM Biolabs
Amount 100 ul
Category
Type Antibody Monoclonal
Format Lyophilized powder
Applications ICC, IHC-P
Clone JMMR-2659
Specific against Human (Homo sapiens), Rat (Rattus norvegicus)
Host Mouse
Isotype IgG1
Conjugate/Tag Unconjugated
ECLASS 10.1 42030590
ECLASS 11.0 42030590
UNSPSC 12352203
Alias Gp110,Macrosialin
Shipping Condition Room temperature
Available
Manufacturer - Type
Primary Antibodies
Manufacturer - Applications
IHC-P, ICC/IF
Manufacturer - Category
Uncategorized
Manufacturer - Targets
CD68
Shipping Temperature
Ambient temperature
Storage Conditions
Store at -20°C. Avoid freeze/thaw cycles.
Stability
Stable for 12 months from date of receipt/reconstitution.
Manufacturer - Research Area
Immunology, Microbiology
Product description
CD68 is a protein highly expressed by cells in the monocyte lineage (e.g., monocytic phagocytes, osteoclasts), by circulating macrophages, and by tissue macrophages. CD68 is a transmembrane glycoprotein, heavily glycosylated in its extracellular domain. CD68 could play a role in phagocytic activities of tissue macrophages, both in intracellular lysosomal metabolism and extracellular cell-cell and cell-pathogen interactions. It binds to tissue- and organ-specific lectins or selectins, allowing homing of macrophage subsets to particular sites. Rapid recirculation of CD68 from endosomes and lysosomes to the plasma membrane may allow macrophages to crawl over selectin-bearing substrates or other cells.
Purification Method
Protein A purified
Formula
PBS, Glycerol, BSA
PTM
Unmodified
Clonality
Recombinant Monoclonal
Background
CD68 is a protein highly expressed by cells in the monocyte lineage (e.g., monocytic phagocytes, osteoclasts), by circulating macrophages, and by tissue macrophages. CD68 is a transmembrane glycoprotein, heavily glycosylated in its extracellular domain. CD68 could play a role in phagocytic activities of tissue macrophages, both in intracellular lysosomal metabolism and extracellular cell-cell and cell-pathogen interactions. It binds to tissue- and organ-specific lectins or selectins, allowing homing of macrophage subsets to particular sites. Rapid recirculation of CD68 from endosomes and lysosomes to the plasma membrane may allow macrophages to crawl over selectin-bearing substrates or other cells.
Cellular Localization
Membrane, Lysosome

Note: The presented information and documents (Manual, Product Datasheet, Safety Datasheet and Certificate of Analysis) correspond to our latest update and should serve for orientational purpose only. We do not guarantee the topicality. We would kindly ask you to make a request for specific requirements, if necessary.

All products are intended for research use only (RUO). Not for human, veterinary or therapeutic use.

Amount: 100 ul
Available: In stock
available

Compare

Add to wishlist

Get an offer

Request delivery time

Ask a technical question

Submit a bulk request

Questions about this Product?
 
Close