Comparison

Anti-Arc Mouse mAb

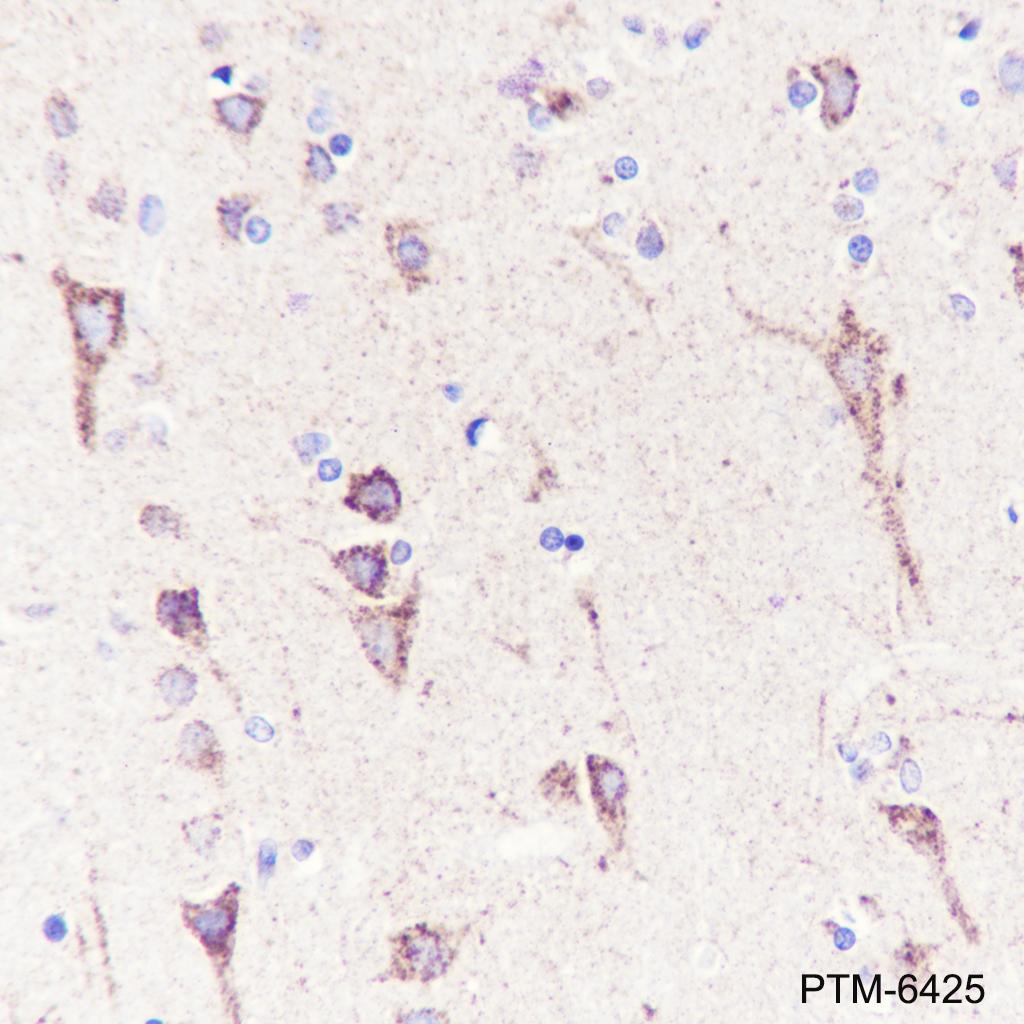
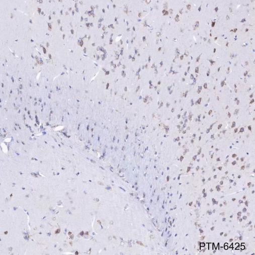
Item no. PTM-6425
Manufacturer PTM Biolabs
Amount 100 ul
Category
Type Antibody Monoclonal
Format Lyophilized powder
Applications WB, ICC, IHC-P
Clone JMMR-1983
Specific against Human (Homo sapiens), Mouse (Murine, Mus musculus), Rat (Rattus norvegicus)
Host Mouse
Isotype IgG1
Conjugate/Tag Unconjugated
ECLASS 10.1 42030590
ECLASS 11.0 42030590
UNSPSC 12352203
Alias hArc,Arg3.1
Shipping Condition Room temperature
Available
Manufacturer - Type
Primary Antibodies
Manufacturer - Applications
WB, IHC-P, ICC/IF
Manufacturer - Category
Uncategorized
Manufacturer - Targets
Arc
Shipping Temperature
Ambient temperature
Storage Conditions
Store at -20°C. Avoid freeze/thaw cycles.
Stability
Stable for 12 months from date of receipt/reconstitution.
Manufacturer - Research Area
Neuroscience
Product description
Activity-regulated cytoskeleton-associated (Arc) protein is a plasticity protein that is encoded by the ARC gene in human. ARC mRNA is localized to activated synaptic sites in an NMDA receptor-dependent manner, it is believed to play a critical role in learning and memory-related molecular processes. Arc protein is widely considered to be important in neurobiology. Dysfunction in the production of Arc protein has been implicated as an important factor in understanding various neurological conditions, including amnesia, Alzheimer's disease, Autism spectrum disorders, and Fragile X syndrome.
Purification Method
Protein A purified
Formula
PBS, Glycerol, BSA
PTM
Unmodified
Clonality
Recombinant Monoclonal
Background
Activity-regulated cytoskeleton-associated (Arc) protein is a plasticity protein that is encoded by the ARC gene in human. ARC mRNA is localized to activated synaptic sites in an NMDA receptor-dependent manner, it is believed to play a critical role in learning and memory-related molecular processes. Arc protein is widely considered to be important in neurobiology. Dysfunction in the production of Arc protein has been implicated as an important factor in understanding various neurological conditions, including amnesia, Alzheimer's disease, Autism spectrum disorders, and Fragile X syndrome.
Cellular Localization
Cell junction, Membrane, Cytoplasm

Note: The presented information and documents (Manual, Product Datasheet, Safety Datasheet and Certificate of Analysis) correspond to our latest update and should serve for orientational purpose only. We do not guarantee the topicality. We would kindly ask you to make a request for specific requirements, if necessary.

All products are intended for research use only (RUO). Not for human, veterinary or therapeutic use.

Amount: 100 ul
Available: In stock
available

Compare

Add to wishlist

Get an offer

Request delivery time

Ask a technical question

Submit a bulk request

Questions about this Product?
 
Close