Comparison

Anti-APE1 Rabbit mAb

Item no. PTM-6430
Manufacturer PTM Biolabs
Amount 100 ul
Category
Type Antibody Monoclonal
Format Lyophilized powder
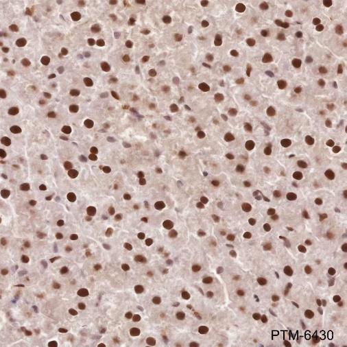
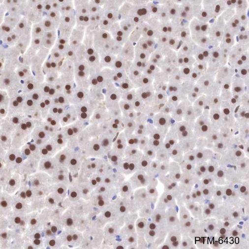
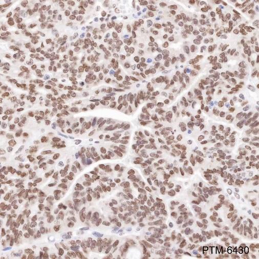
Applications WB, IP, IHC-P
Clone JRMR-10907-27
Specific against Human (Homo sapiens), Mouse (Murine, Mus musculus), Rat (Rattus norvegicus)
Host Rabbit
Isotype IgG
Conjugate/Tag Unconjugated
ECLASS 10.1 42030590
ECLASS 11.0 42030590
UNSPSC 12352203
Alias Ape, Apex, Ref1
Shipping Condition Room temperature
Available
Manufacturer - Type
Primary Antibodies
Manufacturer - Category
Uncategorized
Manufacturer - Targets
APE1
Shipping Temperature
Ambient temperature
Storage Conditions
Store at -20°C. Avoid freeze/thaw cycles.
Molecular Weight
37
Stability
Stable for 12 months from date of receipt/reconstitution.
Manufacturer - Research Area
Epigenetics
Product description
APEX encodes the major AP endonuclease in human cells. It encodes the APEX endonuclease, a DNA repair enzyme with apurinic/apyrimidinic (AP) activity. Such AP activity sites occur frequently in DNA molecules by spontaneous hydrolysis, by DNA damaging agents or by DNA glycosylases that remove specific abnormal bases.
Purification Method
Protein A purified
Manufacturer - Specificity
Anti-APE1 Rabbit mAb recognizes endogeneous level of APE1 protein.
Formula
PBS, Glycerol, BSA
PTM
Unmodified
Immunogen
Recombinant human APE1 fragment
Clonality
Recombinant Monoclonal
Background
APEX encodes the major AP endonuclease in human cells. It encodes the APEX endonuclease, a DNA repair enzyme with apurinic/apyrimidinic (AP) activity. Such AP activity sites occur frequently in DNA molecules by spontaneous hydrolysis, by DNA damaging agents or by DNA glycosylases that remove specific abnormal bases.
Cellular Localization
Cytoplasm, Nucleus

Note: The presented information and documents (Manual, Product Datasheet, Safety Datasheet and Certificate of Analysis) correspond to our latest update and should serve for orientational purpose only. We do not guarantee the topicality. We would kindly ask you to make a request for specific requirements, if necessary.

All products are intended for research use only (RUO). Not for human, veterinary or therapeutic use.

Amount: 100 ul
Available: In stock
available

Compare

Add to wishlist

Get an offer

Request delivery time

Ask a technical question

Submit a bulk request

Questions about this Product?
 
Close