Comparison

Anti-CYR61 Mouse mAb

Item no. PTM-6444
Manufacturer PTM Biolabs
Amount 100 ul
Category
Type Antibody Monoclonal
Format Lyophilized powder
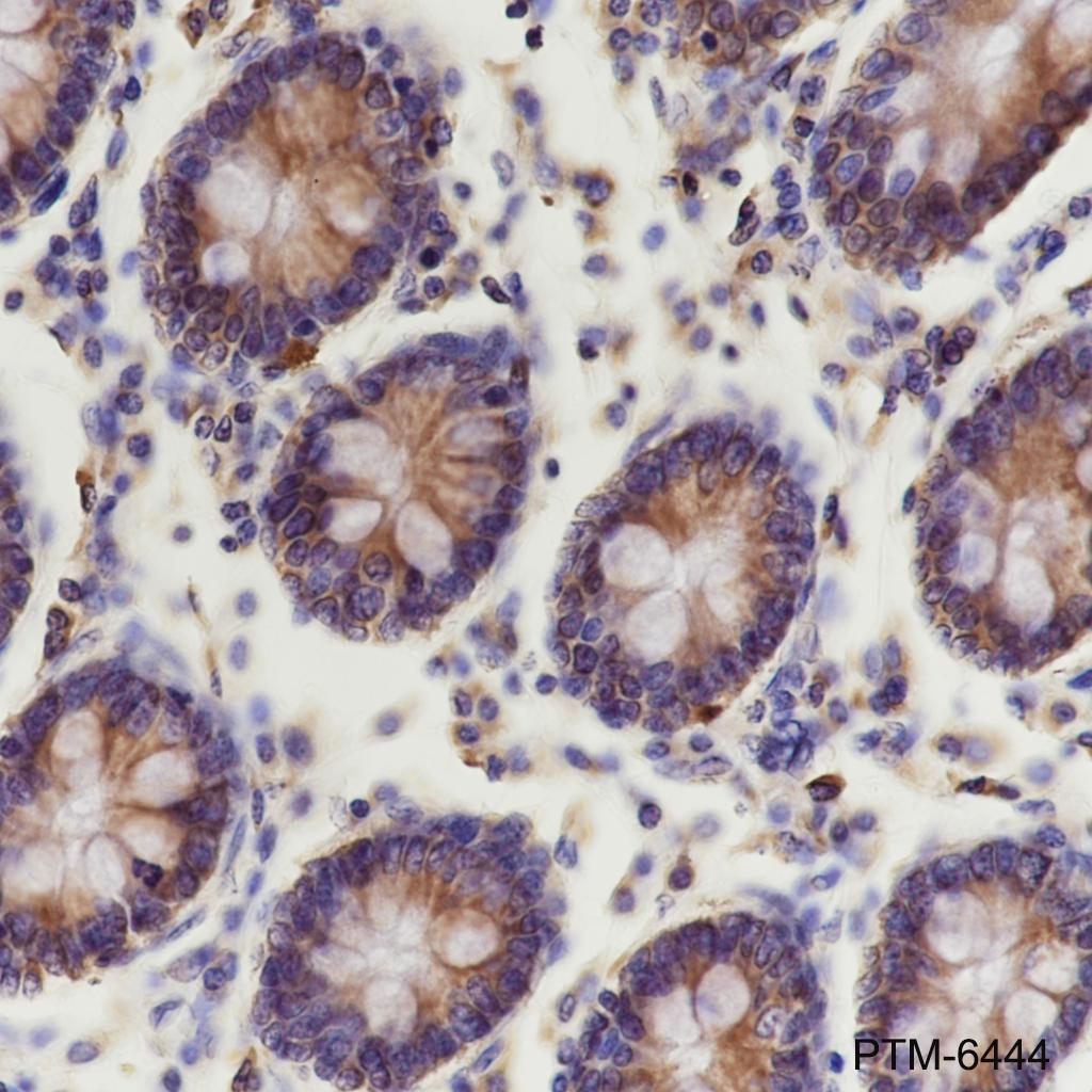
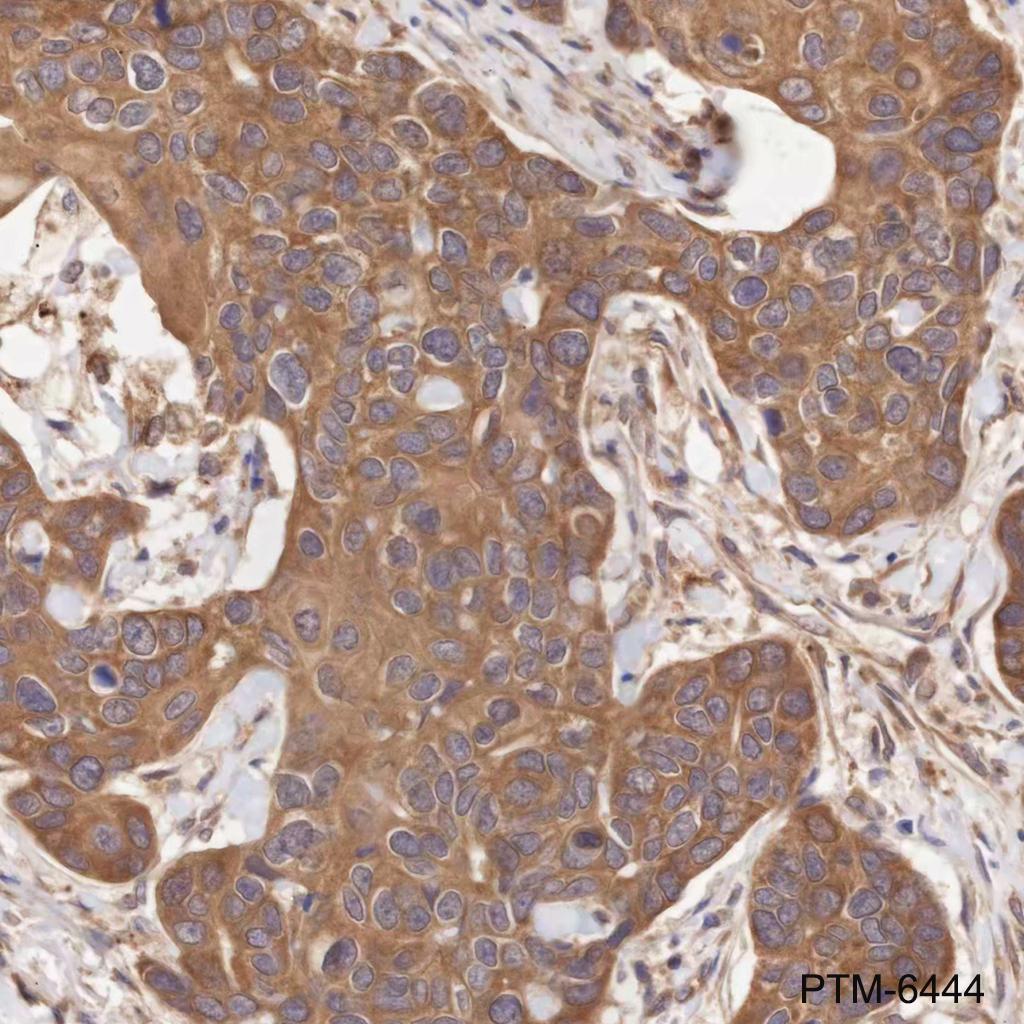
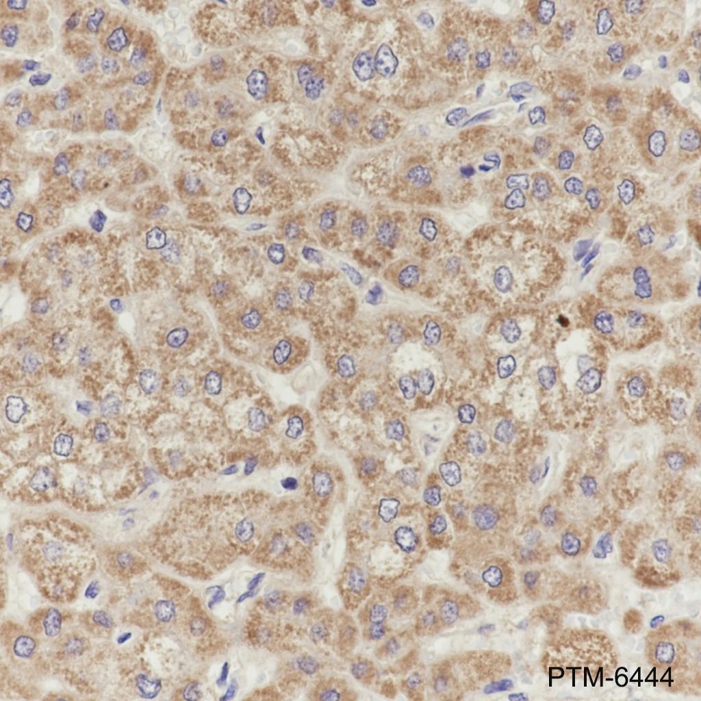
Applications WB, IHC-P
Clone JMMR-1936
Specific against Human (Homo sapiens)
Host Mouse
Isotype IgG1
Conjugate/Tag Unconjugated
ECLASS 10.1 42030590
ECLASS 11.0 42030590
UNSPSC 12352203
Alias IBP-10,GFBP-10,CCN1
Shipping Condition Room temperature
Available
Manufacturer - Type
Primary Antibodies
Manufacturer - Category
Uncategorized
Manufacturer - Targets
CYR61
Shipping Temperature
Ambient temperature
Storage Conditions
Store at -20°C. Avoid freeze/thaw cycles.
Stability
Stable for 12 months from date of receipt/reconstitution.
Manufacturer - Research Area
Cardiovascular Biology, Immunology, Stem Cells
Product description
CYR61(Cysteine-rich protein 61) is a member of CCN family, which is characterized primarily by its high cysteine content. CYR61 regulates diverse cellular events including cell proliferation, differentiation, angiogenesis, and extracellular matrix formation. CYR61 plays a role in the development or progression of various cancers, including breast, prostate, lung, and hepatocellular carcinoma. Notably, its role in promoting cancer progression appears to be context-dependent. For example, investigators have shown that overexpression of CYR61 was positively associated with invasiveness of breast cancer cell lines, whereas in primary prostate tumors, expression levels were inversely correlated with tumor aggressiveness.
Purification Method
Protein A purified
Formula
PBS, Glycerol, BSA
PTM
Unmodified
Clonality
Recombinant Monoclonal
Background
CYR61(Cysteine-rich protein 61) is a member of CCN family, which is characterized primarily by its high cysteine content. CYR61 regulates diverse cellular events including cell proliferation, differentiation, angiogenesis, and extracellular matrix formation. CYR61 plays a role in the development or progression of various cancers, including breast, prostate, lung, and hepatocellular carcinoma. Notably, its role in promoting cancer progression appears to be context-dependent. For example, investigators have shown that overexpression of CYR61 was positively associated with invasiveness of breast cancer cell lines, whereas in primary prostate tumors, expression levels were inversely correlated with tumor aggressiveness.
Cellular Localization
Extracellular region or secreted

Note: The presented information and documents (Manual, Product Datasheet, Safety Datasheet and Certificate of Analysis) correspond to our latest update and should serve for orientational purpose only. We do not guarantee the topicality. We would kindly ask you to make a request for specific requirements, if necessary.

All products are intended for research use only (RUO). Not for human, veterinary or therapeutic use.

Amount: 100 ul
Available: In stock
available

Compare

Add to wishlist

Get an offer

Request delivery time

Ask a technical question

Submit a bulk request

Questions about this Product?
 
Close