Comparison

Anti-Acetyl-alpha Tubulin (Lys40) Rabbit mAb

Item no. PTM-6472
Manufacturer PTM Biolabs
Amount 100 ul
Category
Type Antibody Monoclonal
Format Lyophilized powder
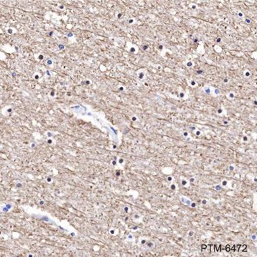
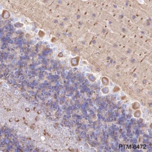
Applications WB, ICC, IHC-P
Clone JRMR-10942-32
Specific against Human (Homo sapiens), Mouse (Murine, Mus musculus), Rat (Rattus norvegicus)
Host Rabbit
Isotype IgG
Conjugate/Tag Unconjugated
Citations Yuanyuan Li, et al. TiO2-Nanoparticle–Enhanced Sonodynamic Therapy for Prevention of Posterior Capsular Opacification and Ferroptosis Exploration of Its Mechanism. INVESTIGATIVE OPHTHALMOLOGY & VISUAL SCIENCE, 2024. https://iovs.arvojournals.org/article.aspx?articleid=2802145.
ECLASS 10.1 42030590
ECLASS 11.0 42030590
UNSPSC 12352203
Alias TUBA1B
Shipping Condition Room temperature
Available
Manufacturer - Type
Primary Antibodies
Manufacturer - Applications
WB, IHC-P, ICC/IF
Manufacturer - Category
Uncategorized
Manufacturer - Targets
alpha Tubulin
Shipping Temperature
Ambient temperature
Storage Conditions
Store at -20°C. Avoid freeze/thaw cycles.
Stability
Stable for 12 months from date of receipt/reconstitution.
Manufacturer - Research Area
Cell Biology, Signal Transduction
Product description
Tubulin is the major constituent of microtubules. It binds two moles of GTP, one at an exchangeable site on the beta chain and one at a non-exchangeable site on the alpha chain. Acetylation of alpha chains at Lys-40 is located inside the microtubule lumen. This modification has been correlated with increased microtubule stability, intracellular transport and ciliary assembly.
Purification Method
Protein A purified
Formula
PBS, Glycerol, BSA
PTM
Acetyl
Modification Site
Lys40
Clonality
Recombinant Monoclonal
Background
Tubulin is the major constituent of microtubules. It binds two moles of GTP, one at an exchangeable site on the beta chain and one at a non-exchangeable site on the alpha chain. Acetylation of alpha chains at Lys-40 is located inside the microtubule lumen. This modification has been correlated with increased microtubule stability, intracellular transport and ciliary assembly.
Cellular Localization
Cytoplasm, Cytoskeleton

Note: The presented information and documents (Manual, Product Datasheet, Safety Datasheet and Certificate of Analysis) correspond to our latest update and should serve for orientational purpose only. We do not guarantee the topicality. We would kindly ask you to make a request for specific requirements, if necessary.

All products are intended for research use only (RUO). Not for human, veterinary or therapeutic use.

Amount: 100 ul
Available: In stock
available

Compare

Add to wishlist

Get an offer

Request delivery time

Ask a technical question

Submit a bulk request

Questions about this Product?
 
Close