Comparison

Anti-SHP2 Mouse mAb

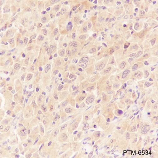
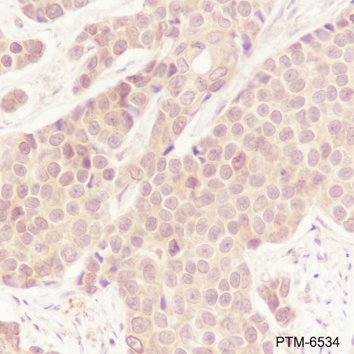
Item no. PTM-6534
Manufacturer PTM Biolabs
Amount 100 ul
Category
Type Antibody Monoclonal
Format Lyophilized powder
Applications WB, FC, ICC, IHC-P
Clone JMMR-1703
Specific against Human (Homo sapiens), Mouse (Murine, Mus musculus), Rat (Rattus norvegicus)
Host Mouse
Isotype IgG1
Conjugate/Tag Unconjugated
ECLASS 10.1 42030590
ECLASS 11.0 42030590
UNSPSC 12352203
Alias PTPN11,PTP-1D,SH-PTP3
Shipping Condition Room temperature
Available
Manufacturer - Type
Primary Antibodies
Manufacturer - Applications
WB, IHC-P, ICC/IF, FC
Manufacturer - Category
Uncategorized
Manufacturer - Targets
SHP2
Shipping Temperature
Ambient temperature
Storage Conditions
Store at -20°C. Avoid freeze/thaw cycles.
Stability
Stable for 12 months from date of receipt/reconstitution.
Manufacturer - Research Area
Signal Transduction, Neuroscience
Product description
SHP-2 (PTPN11) is a ubiquitously expressed, nonreceptor protein tyrosine phosphatase (PTP). It participates in signaling events downstream of receptors for growth factors, cytokines, hormones, antigens, and extracellular matrices in the control of cell growth, differentiation, migration, and death. Activation of SHP-2 and its association with Gab1 is critical for sustained Erk activation downstream of several growth factor receptors and cytokines. In addition to its role in Gab1-mediated Erk activation, SHP-2 attenuates EGF-dependent PI3 kinase activation by dephosphorylating Gab1 at p85 binding sites.
Purification Method
Protein A purified
Formula
PBS, Glycerol, BSA
PTM
Unmodified
Clonality
Recombinant Monoclonal
Background
SHP-2 (PTPN11) is a ubiquitously expressed, nonreceptor protein tyrosine phosphatase (PTP). It participates in signaling events downstream of receptors for growth factors, cytokines, hormones, antigens, and extracellular matrices in the control of cell growth, differentiation, migration, and death. Activation of SHP-2 and its association with Gab1 is critical for sustained Erk activation downstream of several growth factor receptors and cytokines. In addition to its role in Gab1-mediated Erk activation, SHP-2 attenuates EGF-dependent PI3 kinase activation by dephosphorylating Gab1 at p85 binding sites.
Cellular Localization
Cytoplasm, Nucleus

Note: The presented information and documents (Manual, Product Datasheet, Safety Datasheet and Certificate of Analysis) correspond to our latest update and should serve for orientational purpose only. We do not guarantee the topicality. We would kindly ask you to make a request for specific requirements, if necessary.

All products are intended for research use only (RUO). Not for human, veterinary or therapeutic use.

Amount: 100 ul
Available: In stock
available

Compare

Add to wishlist

Get an offer

Request delivery time

Ask a technical question

Submit a bulk request

Questions about this Product?
 
Close