Comparison

Anti-Phospho-SIRT1 (Ser47) Rabbit mAb

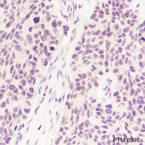
Item no. PTM-6595
Manufacturer PTM Biolabs
Amount 100 ul
Category
Type Antibody Monoclonal
Format Lyophilized powder
Applications WB, IHC-P
Clone JMMR-2631
Specific against Human (Homo sapiens)
Host Rabbit
Isotype IgG
Conjugate/Tag Unconjugated
ECLASS 10.1 42030590
ECLASS 11.0 42030590
UNSPSC 12352203
Alias NAD-dependent protein deacetylase sirtuin-1,hSIRT1,NAD-dependent protein deacylase sirtuin-1,Regulatory protein SIR2 homolog 1,SIR2-like protein 1 (hSIR2),SIR2L1
Shipping Condition Room temperature
Available
Manufacturer - Type
Primary Antibodies
Manufacturer - Category
Uncategorized
Manufacturer - Targets
SIRT1
Shipping Temperature
Ambient temperature
Storage Conditions
Store at -20°C. Avoid freeze/thaw cycles.
Stability
Stable for 12 months from date of receipt/reconstitution.
Manufacturer - Research Area
Cell Biology, Metabolism, Microbiology
Product description
SIRT1, the mammalian ortholog of Sir2, is a nuclear protein implicated in the regulation of many cellular processes, including apoptosis, cellular senescence, endocrine signaling, glucose homeostasis, aging, and longevity. Targets of SirT1 include acetylated p53, p300, Ku70, forkhead (FoxO) transcription factors, PPARγ, and the PPARγ coactivator-1α (PGC-1α) protein. Deacetylation of p53 and FoxO transcription factors represses apoptosis and increases cell survival. Deacetylation of PPARγ and PGC-1α regulates the gluconeogenic/glycolytic pathways in the liver and fat mobilization in white adipocytes in response to fasting. SirT1 deacetylase activity is inhibited by nicotinamide and activated by resveratrol. In addition, SirT1 activity may be regulated by phosphorylation, as it is phosphorylated at Ser27 and Ser47 in vivo; however, the function of these phosphorylation sites has not yet been determined.
Purification Method
Protein A purified
Formula
PBS, Glycerol, BSA
PTM
Phospho
Modification Site
Ser47
Clonality
Recombinant Monoclonal
Background
SIRT1, the mammalian ortholog of Sir2, is a nuclear protein implicated in the regulation of many cellular processes, including apoptosis, cellular senescence, endocrine signaling, glucose homeostasis, aging, and longevity. Targets of SirT1 include acetylated p53, p300, Ku70, forkhead (FoxO) transcription factors, PPARγ, and the PPARγ coactivator-1α (PGC-1α) protein. Deacetylation of p53 and FoxO transcription factors represses apoptosis and increases cell survival. Deacetylation of PPARγ and PGC-1α regulates the gluconeogenic/glycolytic pathways in the liver and fat mobilization in white adipocytes in response to fasting. SirT1 deacetylase activity is inhibited by nicotinamide and activated by resveratrol. In addition, SirT1 activity may be regulated by phosphorylation, as it is phosphorylated at Ser27 and Ser47 in vivo; however, the function of these phosphorylation sites has not yet been determined.
Cellular Localization
Cytoplasm, Nucleus

Note: The presented information and documents (Manual, Product Datasheet, Safety Datasheet and Certificate of Analysis) correspond to our latest update and should serve for orientational purpose only. We do not guarantee the topicality. We would kindly ask you to make a request for specific requirements, if necessary.

All products are intended for research use only (RUO). Not for human, veterinary or therapeutic use.

Amount: 100 ul
Available: In stock
available

Compare

Add to wishlist

Get an offer

Request delivery time

Ask a technical question

Submit a bulk request

Questions about this Product?
 
Close