Comparison

Anti-IL-1RA Rabbit mAb

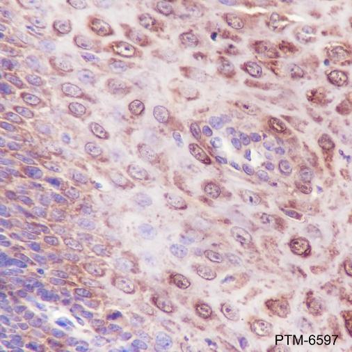
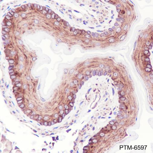
Item no. PTM-6597
Manufacturer PTM Biolabs
Amount 100 ul
Category
Type Antibody Monoclonal
Format Lyophilized powder
Applications WB, ICC, IHC-P
Clone JMMR-1860B
Specific against Human (Homo sapiens), Mouse (Murine, Mus musculus)
Host Rabbit
Isotype IgG
Conjugate/Tag Unconjugated
ECLASS 10.1 42030590
ECLASS 11.0 42030590
UNSPSC 12352203
Alias IL-1RN,IRAP,ICIL-1RA,IL1F3
Shipping Condition Room temperature
Available
Manufacturer - Type
Primary Antibodies
Manufacturer - Applications
WB, IHC-P, ICC/IF
Manufacturer - Category
Uncategorized
Manufacturer - Targets
IL-1RA
Shipping Temperature
Ambient temperature
Storage Conditions
Store at -20°C. Avoid freeze/thaw cycles.
Stability
Stable for 12 months from date of receipt/reconstitution.
Manufacturer - Research Area
Immunology
Product description
The founding members of the interleukin-1 (IL-1) superfamily include pro-inflammatory cytokines IL-1α, IL-1β and IL-1 receptor antagonist (IL-1RA). At least six similar proteins have been recently identified, including a homolog of IL-1RA (IL1F5). IL-1a, IL-1b and IL-1RA are mainly expressed in macrophages, monocytes, and dendritic cells. IL-1RA acts as an anti-inflammatory cytokine, binding the IL-1 receptor to limit the response to inflammation. Because it plays a key role in regulating the inflammatory response, recombinant IL-1RA is a therapeutic agent used in the treatment of diseases such as rheumatoid arthritis. Alternatively, mutation of the corresponding IL-1RA gene may be associated with susceptibility to the development of specific cancers.
Purification Method
Protein A purified
Formula
PBS, Glycerol, BSA
PTM
Unmodified
Clonality
Recombinant Monoclonal
Background
The founding members of the interleukin-1 (IL-1) superfamily include pro-inflammatory cytokines IL-1α, IL-1β and IL-1 receptor antagonist (IL-1RA). At least six similar proteins have been recently identified, including a homolog of IL-1RA (IL1F5). IL-1a, IL-1b and IL-1RA are mainly expressed in macrophages, monocytes, and dendritic cells. IL-1RA acts as an anti-inflammatory cytokine, binding the IL-1 receptor to limit the response to inflammation. Because it plays a key role in regulating the inflammatory response, recombinant IL-1RA is a therapeutic agent used in the treatment of diseases such as rheumatoid arthritis. Alternatively, mutation of the corresponding IL-1RA gene may be associated with susceptibility to the development of specific cancers.
Cellular Localization
Cytoplasm, Secreted

Note: The presented information and documents (Manual, Product Datasheet, Safety Datasheet and Certificate of Analysis) correspond to our latest update and should serve for orientational purpose only. We do not guarantee the topicality. We would kindly ask you to make a request for specific requirements, if necessary.

All products are intended for research use only (RUO). Not for human, veterinary or therapeutic use.

Amount: 100 ul
Available: In stock
available

Compare

Add to wishlist

Get an offer

Request delivery time

Ask a technical question

Submit a bulk request

Questions about this Product?
 
Close