Comparison

Anti-LRP1 Rabbit mAb

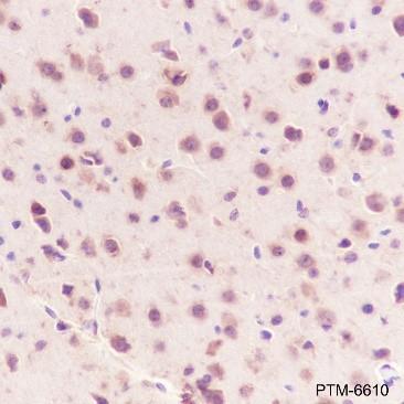
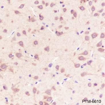
Item no. PTM-6610
Manufacturer PTM Biolabs
Amount 100 ul
Category
Type Antibody Monoclonal
Format Lyophilized powder
Applications WB, ICC, IHC-P
Clone JRMR-10840-23
Specific against Human (Homo sapiens), Mouse (Murine, Mus musculus), Rat (Rattus norvegicus)
Host Rabbit
Isotype IgG
Conjugate/Tag Unconjugated
ECLASS 10.1 42030590
ECLASS 11.0 42030590
UNSPSC 12352203
Alias A2MR,APOER,CD91,A2MR,APR
Shipping Condition Room temperature
Available
Manufacturer - Type
Primary Antibodies
Manufacturer - Applications
WB, IHC-P, ICC/IF
Manufacturer - Category
Uncategorized
Manufacturer - Targets
LRP1
Shipping Temperature
Ambient temperature
Storage Conditions
Store at -20°C. Avoid freeze/thaw cycles.
Stability
Stable for 12 months from date of receipt/reconstitution.
Manufacturer - Research Area
Neuroscience, Signal Transduction, Cell Biology, Cancer, Cardiovascular Biology, Metabolism
Product description
LRP1 is a type I transmembrane receptor that mediates the endocytosis of various ligands. LRP1 plays important roles in lipid homeostasis, signaling transduction, embryonic development, and glucose metabolism. In addition, LRP1 regulates APP processing and facilitates the clearance of beta-amyloid. This finding makes LRP1 a potential therapeutic target for Alzheimer’s disease. LRP1 preprotein is proteolytically processed by furin to generate a 515 kDa extracellular α subunit and a membrane-anchored 85 kDa β subunit, which together form the mature receptor.
Purification Method
Protein A purified
Formula
PBS, Glycerol, BSA
PTM
Unmodified
Clonality
Recombinant Monoclonal
Background
LRP1 is a type I transmembrane receptor that mediates the endocytosis of various ligands. LRP1 plays important roles in lipid homeostasis, signaling transduction, embryonic development, and glucose metabolism. In addition, LRP1 regulates APP processing and facilitates the clearance of beta-amyloid. This finding makes LRP1 a potential therapeutic target for Alzheimer’s disease. LRP1 preprotein is proteolytically processed by furin to generate a 515 kDa extracellular α subunit and a membrane-anchored 85 kDa β subunit, which together form the mature receptor.
Cellular Localization
Cytoplasm, Membrane

Note: The presented information and documents (Manual, Product Datasheet, Safety Datasheet and Certificate of Analysis) correspond to our latest update and should serve for orientational purpose only. We do not guarantee the topicality. We would kindly ask you to make a request for specific requirements, if necessary.

All products are intended for research use only (RUO). Not for human, veterinary or therapeutic use.

Amount: 100 ul
Available: In stock
available

Compare

Add to wishlist

Get an offer

Request delivery time

Ask a technical question

Submit a bulk request

Questions about this Product?
 
Close