Comparison

Anti-SF3B3 Rabbit mAb

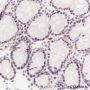
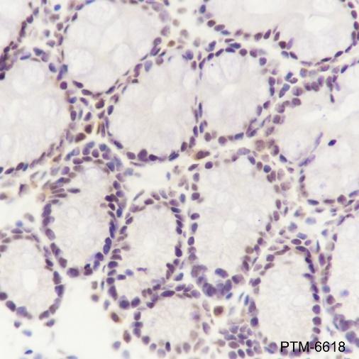
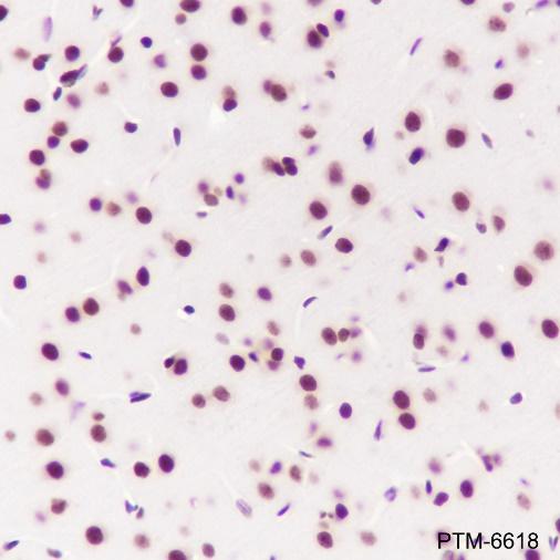
Item no. PTM-6618
Manufacturer PTM Biolabs
Amount 100 ul
Category
Type Antibody Monoclonal
Format Lyophilized powder
Applications WB, IP, IHC-P
Clone JRMR-11023-67
Specific against Human (Homo sapiens), Mouse (Murine, Mus musculus), Rat (Rattus norvegicus)
Host Rabbit
Isotype IgG
Conjugate/Tag Unconjugated
ECLASS 10.1 42030590
ECLASS 11.0 42030590
UNSPSC 12352203
Alias SF3b130,SAP130
Shipping Condition Room temperature
Available
Manufacturer - Type
Primary Antibodies
Manufacturer - Category
Uncategorized
Manufacturer - Targets
SF3B3
Shipping Temperature
Ambient temperature
Storage Conditions
Store at -20°C. Avoid freeze/thaw cycles.
Stability
Stable for 12 months from date of receipt/reconstitution.
Manufacturer - Research Area
Epigenetics
Product description
SF3B3 is one of four proteins for SF3B, which is involved in RNA splicing. Introns are removed from nuclear pre-mRNA in 2-step transesterification reactions. Splicing occurred in a large ribonucleoprotein particle, called the spliceosome. Spliceosomal intermediate complexes form on pre-mRNA in the order E, A, B, and C, with the catalytic reactions occurring in complex C. U2 small nuclear ribonucleoproteins are one of the proteins essential for spliceosome assembly and mRNA splicing. Functional U2 snRNP is composed of a 12S unit and 2 splicing factors, SF3A, which is composed of 3 proteins, and SF3B, which composed of 4 proteins. SF3B3 is required for 'A' complex assembly formed by the stable binding of U2 snRNP to the branchpoint sequence(BPS) in pre-mRNA.
Purification Method
Protein A purified
Formula
PBS, Glycerol, BSA
PTM
Unmodified
Clonality
Recombinant Monoclonal
Background
SF3B3 is one of four proteins for SF3B, which is involved in RNA splicing. Introns are removed from nuclear pre-mRNA in 2-step transesterification reactions. Splicing occurred in a large ribonucleoprotein particle, called the spliceosome. Spliceosomal intermediate complexes form on pre-mRNA in the order E, A, B, and C, with the catalytic reactions occurring in complex C. U2 small nuclear ribonucleoproteins are one of the proteins essential for spliceosome assembly and mRNA splicing. Functional U2 snRNP is composed of a 12S unit and 2 splicing factors, SF3A, which is composed of 3 proteins, and SF3B, which composed of 4 proteins. SF3B3 is required for 'A' complex assembly formed by the stable binding of U2 snRNP to the branchpoint sequence(BPS) in pre-mRNA.
Cellular Localization
Nucleus

Note: The presented information and documents (Manual, Product Datasheet, Safety Datasheet and Certificate of Analysis) correspond to our latest update and should serve for orientational purpose only. We do not guarantee the topicality. We would kindly ask you to make a request for specific requirements, if necessary.

All products are intended for research use only (RUO). Not for human, veterinary or therapeutic use.

Amount: 100 ul
Available: In stock
available

Compare

Add to wishlist

Get an offer

Request delivery time

Ask a technical question

Submit a bulk request

Questions about this Product?
 
Close