Comparison

Anti-ATG13 Mouse mAb

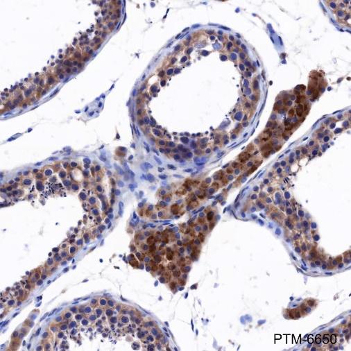
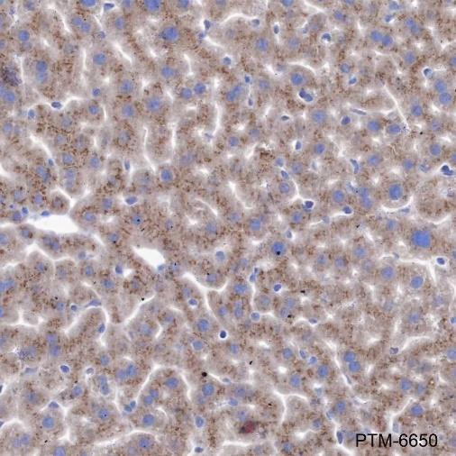
Item no. PTM-6650
Manufacturer PTM Biolabs
Amount 100 ul
Category
Type Antibody Monoclonal
Format Lyophilized powder
Applications WB, ICC, IHC-P
Clone JMMR-1769
Specific against Human (Homo sapiens), Mouse (Murine, Mus musculus), Rat (Rattus norvegicus)
Host Mouse
Isotype IgG1
Conjugate/Tag Unconjugated
ECLASS 10.1 42030590
ECLASS 11.0 42030590
UNSPSC 12352203
Alias KIAA0652
Shipping Condition Room temperature
Available
Manufacturer - Type
Primary Antibodies
Manufacturer - Applications
WB, IHC-P, ICC/IF
Manufacturer - Category
Uncategorized
Manufacturer - Targets
ATG13
Shipping Temperature
Ambient temperature
Storage Conditions
Store at -20°C. Avoid freeze/thaw cycles.
Stability
Stable for 12 months from date of receipt/reconstitution.
Manufacturer - Research Area
Cancer, Metabolism
Product description
ATG13 is a protein kinase required for autophagy. Overexpression of Atg1 suppresses the defects in autophagy observed in Atg13 mutants. Autophagy requires a direct association between Atg1 and Atg13, and is inhibited by TOR-dependent phosphorylation of Atg13 under high-nutrient conditions. Similarly, mammalian Atg13 forms a complex with the Atg1 homologues ULK1/2, along with FIP200, which localizes to autophagic isolation membranes and regulates autophagosome biogenesis. mTOR phosphorylates both Atg13 and ULK1, suppressing ULK1 kinase activity and autophagy. ULK1 can directly phosphorylate Atg13 at a yet unidentified site, presumably to promote autophagy. Additional studies suggest that Atg13 and FIP200 can function independently of ULK1 and ULK2 to induce autophagy through an unknown mechanism.
Purification Method
Protein A purified
Formula
PBS, Glycerol, BSA
PTM
Unmodified
Clonality
Recombinant Monoclonal
Background
ATG13 is a protein kinase required for autophagy. Overexpression of Atg1 suppresses the defects in autophagy observed in Atg13 mutants. Autophagy requires a direct association between Atg1 and Atg13, and is inhibited by TOR-dependent phosphorylation of Atg13 under high-nutrient conditions. Similarly, mammalian Atg13 forms a complex with the Atg1 homologues ULK1/2, along with FIP200, which localizes to autophagic isolation membranes and regulates autophagosome biogenesis. mTOR phosphorylates both Atg13 and ULK1, suppressing ULK1 kinase activity and autophagy. ULK1 can directly phosphorylate Atg13 at a yet unidentified site, presumably to promote autophagy. Additional studies suggest that Atg13 and FIP200 can function independently of ULK1 and ULK2 to induce autophagy through an unknown mechanism.
Cellular Localization
Cytoplasm

Note: The presented information and documents (Manual, Product Datasheet, Safety Datasheet and Certificate of Analysis) correspond to our latest update and should serve for orientational purpose only. We do not guarantee the topicality. We would kindly ask you to make a request for specific requirements, if necessary.

All products are intended for research use only (RUO). Not for human, veterinary or therapeutic use.

Amount: 100 ul
Available: In stock
available

Compare

Add to wishlist

Get an offer

Request delivery time

Ask a technical question

Submit a bulk request

Questions about this Product?
 
Close