Comparison

Anti-c-Kit Rabbit mAb

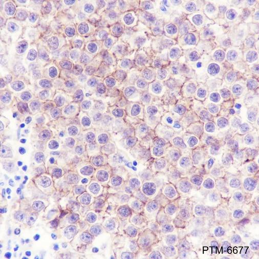
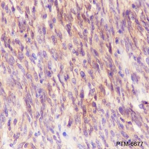
Item no. PTM-6677
Manufacturer PTM Biolabs
Amount 100 ul
Category
Type Antibody Monoclonal
Format Lyophilized powder
Applications IHC-P
Clone JRMR-10717(2)-17
Specific against Human (Homo sapiens)
Host Rabbit
Isotype IgG
Conjugate/Tag Unconjugated
ECLASS 10.1 42030590
ECLASS 11.0 42030590
UNSPSC 12352203
Alias SCFR,PBT,CD117,KIT
Shipping Condition Room temperature
Available
Manufacturer - Type
Primary Antibodies
Manufacturer - Category
Uncategorized
Manufacturer - Targets
c-Kit
Shipping Temperature
Ambient temperature
Storage Conditions
Store at -20°C. Avoid freeze/thaw cycles.
Stability
Stable for 12 months from date of receipt/reconstitution.
Manufacturer - Research Area
Immunology, Developmental Biology
Product description
c-Kit belongs to the subfamily of receptor tyrosine kinases that includes PDGF, CSF-1, and FLT3/flk-2 receptors. It plays a critical role in activation and growth in a number of cell types including hematopoietic stem cells, mast cells, melanocytes, and germ cells. Upon binding with its stem cell factor (SCF) ligand, c-Kit undergoes dimerization/oligomerization and autophosphorylation. Activation of c-Kit results in the recruitment and tyrosine phosphorylation of downstream SH2-containing signaling components including PLCγ, the p85 subunit of PI3 kinase, SHP2, and CrkL. Molecular lesions that impair the kinase activity of c-Kit are associated with a variety of developmental disorders, and mutations that constitutively activate c-Kit can lead to pathogenesis of mastocytosis and gastrointestinal stromal tumors.
Purification Method
Protein A purified
Formula
PBS, Glycerol, BSA
PTM
Unmodified
Clonality
Recombinant Monoclonal
Background
c-Kit belongs to the subfamily of receptor tyrosine kinases that includes PDGF, CSF-1, and FLT3/flk-2 receptors. It plays a critical role in activation and growth in a number of cell types including hematopoietic stem cells, mast cells, melanocytes, and germ cells. Upon binding with its stem cell factor (SCF) ligand, c-Kit undergoes dimerization/oligomerization and autophosphorylation. Activation of c-Kit results in the recruitment and tyrosine phosphorylation of downstream SH2-containing signaling components including PLCγ, the p85 subunit of PI3 kinase, SHP2, and CrkL. Molecular lesions that impair the kinase activity of c-Kit are associated with a variety of developmental disorders, and mutations that constitutively activate c-Kit can lead to pathogenesis of mastocytosis and gastrointestinal stromal tumors.
Cellular Localization
Cell membrane, Cytoplasm

Note: The presented information and documents (Manual, Product Datasheet, Safety Datasheet and Certificate of Analysis) correspond to our latest update and should serve for orientational purpose only. We do not guarantee the topicality. We would kindly ask you to make a request for specific requirements, if necessary.

All products are intended for research use only (RUO). Not for human, veterinary or therapeutic use.

Amount: 100 ul
Available: In stock
available

Compare

Add to wishlist

Get an offer

Request delivery time

Ask a technical question

Submit a bulk request

Questions about this Product?
 
Close