Comparison

Anti-GST3/GSTP1 Rabbit pAb

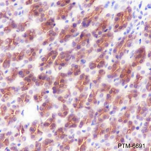
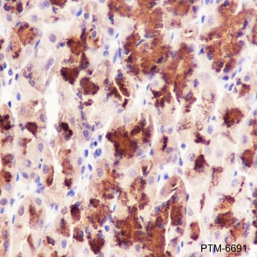
Item no. PTM-6691
Manufacturer PTM Biolabs
Amount 100 ul
Category
Type Antibody Polyclonal
Format Lyophilized powder
Applications WB, ICC, IHC-P
Specific against Human (Homo sapiens), Rat (Rattus norvegicus)
Host Rabbit
Isotype IgG
Conjugate/Tag Unconjugated
ECLASS 10.1 32160702
ECLASS 11.0 32160702
UNSPSC 12352203
Alias GSTP1-1,FAEES3,GST class-pi,GST-π,Glutathione S-Transferase Pi,GST-Pi
Shipping Condition Room temperature
Available
Manufacturer - Type
Primary Antibodies
Manufacturer - Applications
WB, IHC-P, ICC/IF
Manufacturer - Category
Uncategorized
Manufacturer - Targets
GST3/GSTP1
Shipping Temperature
Ambient temperature
Storage Conditions
Store at -20°C. Avoid freeze/thaw cycles.
Stability
Stable for 12 months from date of receipt/reconstitution.
Manufacturer - Research Area
Cardiovascular Biology, Neuroscience, Metabolism
Product description
Glutathione S-transferases (GSTs) are a family of isoenzymes that detoxify electrophiles through conjugation to thiol-reduced glutathione (GSH). Thus, they are critical in protecting cells from toxins (drugs, pesticides, carcinogens) and oxidative stress. Eight isoforms of cytosolic-soluble GSTs (α, κ, μ, π, σ, θ, ζ, and ω) are identified, while only GST-α, -μ, and -π are described in the central nervous system. GSTP1 (GSTπ) is overexpressed in early stages of carcinogenesis and can be used as a neoplastic marker in tumor tissues. GSTP1 directly inhibits TRAF2 and JNK but not NF-κB. Corresponding GSTP1 gene polymorphisms affect substrate selectivity and stability, and the oxidative milieu in dopaminergic neurons, which increases the susceptibility to Parkinson’s disease.
Purification Method
Protein A purified
Formula
PBS, Glycerol, BSA
PTM
Unmodified
Clonality
Polyclonal
Background
Glutathione S-transferases (GSTs) are a family of isoenzymes that detoxify electrophiles through conjugation to thiol-reduced glutathione (GSH). Thus, they are critical in protecting cells from toxins (drugs, pesticides, carcinogens) and oxidative stress. Eight isoforms of cytosolic-soluble GSTs (α, κ, μ, π, σ, θ, ζ, and ω) are identified, while only GST-α, -μ, and -π are described in the central nervous system. GSTP1 (GSTπ) is overexpressed in early stages of carcinogenesis and can be used as a neoplastic marker in tumor tissues. GSTP1 directly inhibits TRAF2 and JNK but not NF-κB. Corresponding GSTP1 gene polymorphisms affect substrate selectivity and stability, and the oxidative milieu in dopaminergic neurons, which increases the susceptibility to Parkinson’s disease.
Cellular Localization
Nucleus, cytoplasm, mitochondrion

Note: The presented information and documents (Manual, Product Datasheet, Safety Datasheet and Certificate of Analysis) correspond to our latest update and should serve for orientational purpose only. We do not guarantee the topicality. We would kindly ask you to make a request for specific requirements, if necessary.

All products are intended for research use only (RUO). Not for human, veterinary or therapeutic use.

Amount: 100 ul
Available: In stock
available

Compare

Add to wishlist

Get an offer

Request delivery time

Ask a technical question

Submit a bulk request

Questions about this Product?
 
Close