Comparison

Anti-Aldolase B Rabbit pAb

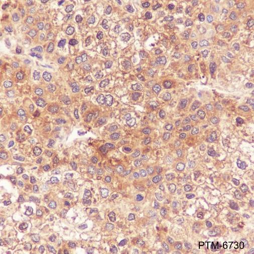
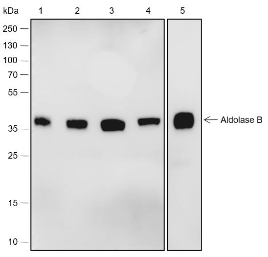
Item no. PTM-6730
Manufacturer PTM Biolabs
Amount 100 ul
Category
Type Antibody Polyclonal
Format Lyophilized powder
Applications WB, ICC, IHC-P
Specific against Human (Homo sapiens), Rat (Rattus norvegicus)
Host Rabbit
Isotype IgG
Conjugate/Tag Unconjugated
ECLASS 10.1 32160702
ECLASS 11.0 32160702
UNSPSC 12352203
Alias Fructose-bisphosphate aldolase B,Liver-type aldolase,ALDOB
Shipping Condition Room temperature
Available
Manufacturer - Type
Primary Antibodies
Manufacturer - Applications
WB, IHC-P, ICC/IF
Manufacturer - Category
Uncategorized
Manufacturer - Targets
Aldolase B
Shipping Temperature
Ambient temperature
Storage Conditions
Store at -20°C. Avoid freeze/thaw cycles.
Stability
Stable for 12 months from date of receipt/reconstitution.
Manufacturer - Research Area
Signal Transduction, Cancer, Metabolism
Product description
Fructose-1, 6-bisphosphate aldolase is a glycolytic enzyme that catalyzes the reversible conversion of fructose-1, 6-bisphosphate to glyceraldehyde 3-phosphate and dihydroxyacetone phosphate. Vertebrates have 3 aldolase isozymes, aldolase A, aldolase B, and aldolase C. Deficiency of aldolase B causes an accumulation of fructose-1-phosphate after fructose intake, which results in toxic symptoms like vomiting, hypoglycemia, jaundice, elevated liver enzymes and hepatomegaly.
Purification Method
Protein A purified
Formula
PBS, Glycerol, BSA
PTM
Unmodified
Clonality
Polyclonal
Background
Fructose-1, 6-bisphosphate aldolase is a glycolytic enzyme that catalyzes the reversible conversion of fructose-1, 6-bisphosphate to glyceraldehyde 3-phosphate and dihydroxyacetone phosphate. Vertebrates have 3 aldolase isozymes, aldolase A , aldolase B, and aldolase C. Deficiency of aldolase B causes an accumulation of fructose-1-phosphate after fructose intake, which results in toxic symptoms like vomiting, hypoglycemia, jaundice, elevated liver enzymes and hepatomegaly.
Cellular Localization
Cytoplasm

Note: The presented information and documents (Manual, Product Datasheet, Safety Datasheet and Certificate of Analysis) correspond to our latest update and should serve for orientational purpose only. We do not guarantee the topicality. We would kindly ask you to make a request for specific requirements, if necessary.

All products are intended for research use only (RUO). Not for human, veterinary or therapeutic use.

Amount: 100 ul
Available: In stock
available

Compare

Add to wishlist

Get an offer

Request delivery time

Ask a technical question

Submit a bulk request

Questions about this Product?
 
Close