Comparison

Anti-Valyl tRNA Synthetase Mouse mAb

Item no. PTM-6741
Manufacturer PTM Biolabs
Amount 100 ul
Category
Type Antibody Monoclonal
Format Lyophilized powder
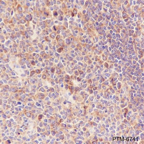
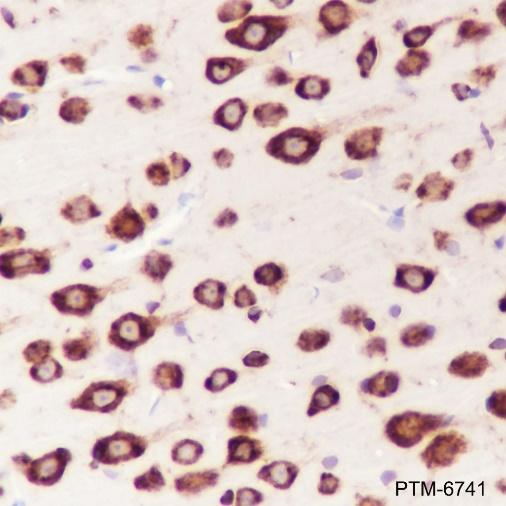
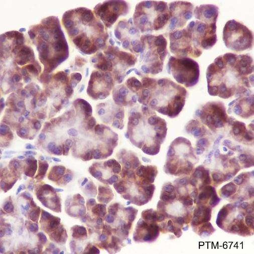
Applications WB, ICC, IHC-P
Clone JMMR-3310
Specific against Human (Homo sapiens), Mouse (Murine, Mus musculus), Rat (Rattus norvegicus)
Host Mouse
Isotype IgG2a
Conjugate/Tag Unconjugated
ECLASS 10.1 42030590
ECLASS 11.0 42030590
UNSPSC 12352203
Alias ValRS,G7A,VARS,VARS2,VARS1
Shipping Condition Room temperature
Available
Manufacturer - Type
Primary Antibodies
Manufacturer - Applications
WB, IHC-P, ICC/IF
Manufacturer - Category
Uncategorized
Manufacturer - Targets
Valyl tRNA Synthetase
Shipping Temperature
Ambient temperature
Storage Conditions
Store at -20°C. Avoid freeze/thaw cycles.
Stability
Stable for 12 months from date of receipt/reconstitution.
Manufacturer - Research Area
Epigenetics
Product description
Valyl-tRNA synthetase (ValRS), a large monomeric enzyme in a free state, forms a class-Ia subfamily, which characteristically have an α-helix bundle domain near the C-terminus to recognize the tRNA anticodon.
Purification Method
Protein A purified
Formula
PBS, Glycerol, BSA
PTM
Unmodified
Clonality
Recombinant Monoclonal
Background
Valyl-tRNA synthetase (ValRS), a large monomeric enzyme in a free state, forms a class-Ia subfamily, which characteristically have an α-helix bundle domain near the C-terminus to recognize the tRNA anticodon.
Cellular Localization
Cytosol

Note: The presented information and documents (Manual, Product Datasheet, Safety Datasheet and Certificate of Analysis) correspond to our latest update and should serve for orientational purpose only. We do not guarantee the topicality. We would kindly ask you to make a request for specific requirements, if necessary.

All products are intended for research use only (RUO). Not for human, veterinary or therapeutic use.

Amount: 100 ul
Available: In stock
available

Compare

Add to wishlist

Get an offer

Request delivery time

Ask a technical question

Submit a bulk request

Questions about this Product?
 
Close